电话:
+86 (0512) 65829739
传真:
+86 (010) 6788 5057
电子邮件:
orders@antibodies-online.cn

Transgelin 抗体

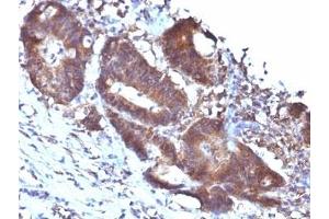
The 小鼠 单克隆 anti-Transgelin antibody (Clone TAGLN-247) (ABIN3027031) specifically detects Transgelin in FACS, IF 和 IHC (p). The antibody is reactive with 人, 小鼠, 兔, Cow 和 Pig samples.
产品编号 ABIN3027031
发货至: 中国
Contact our Customer Service for availability and price in your country. Contact Info

Our Local Distributor

中国
北京 101111
No. 88 KeChuang 6th Street
Beijing Economic Technological Development Area
Room 801-803
4A Biotech Co.,Ltd.
Tel +86 (0512) 65829739 传真 +86 (010) 6788 5057

Quick Overview for Transgelin 抗体 (ABIN3027031)

抗原

See all Transgelin (TAGLN) 抗体
Transgelin (TAGLN)

适用

  • 90
  • 24
  • 14
  • 13
  • 12
  • 11
  • 2
  • 2
  • 2
  • 1
  • 1
人, 小鼠, 兔, Cow, Pig

宿主

  • 65
  • 25
  • 3
  • 1
小鼠

克隆类型

  • 58
  • 36
单克隆

标记

  • 46
  • 6
  • 5
  • 4
  • 2
  • 2
  • 2
  • 2
  • 2
  • 2
  • 1
  • 1
  • 1
  • 1
  • 1
  • 1
  • 1
  • 1
  • 1
  • 1
  • 1
  • 1
  • 1
  • 1
  • 1
  • 1
  • 1
  • 1
  • 1
  • 1
  • 1
This Transgelin antibody is un-conjugated

应用范围

  • 52
  • 41
  • 32
  • 32
  • 18
  • 14
  • 13
  • 13
  • 9
  • 5
  • 3
  • 2
  • 2
  • 1
  • 1
  • 1
  • 1
  • 1
  • 1
Flow Cytometry (FACS), Immunofluorescence (IF), Immunohistochemistry (Paraffin-embedded Sections) (IHC (p))

克隆位点

TAGLN-247
  • 产品特性

    This mAb recognizes a 22 kDa protein, identified as Transgelin, also designated SM22-alpha. It may cross-react with SM22-beta. Transgelin is expressed abundantly in smooth muscle cells. The human transgelin gene encodes a 201 amino acid protein that contains nuclear factor-binding motifs known to regulate transcription in smooth muscle. During embryogenesis, transgelin is expressed in smooth, cardiac and skeletal muscle, but is restricted during late fetal development and adulthood to all vascular and visceral smooth muscle cells and low levels of expression in heart. Transgelin is down regulated in several transformed cell lines, indicating that a reduction of transgelin expression may be an early indicator of the onset of transformation. Transgelin also binds Actin, causing Actin fibers to gel within minutes of binding. Binding of transgelin to Actin occurs at a ratio of 1:6 Actin monomers.

    纯化方法

    Protein G affinity chromatography

    免疫原

    Recombinant full-length human protein was used as the immunogen for the SM22 antibody.

    亚型

    IgG1 kappa
  • 应用备注

    Optimal dilution of the SM22 antibody should be determined by the researcher.

    1. Staining of formalin-fixed tissues requires boiling tissue sections in 10  mM Tris with 1  mM EDTA,  pH 9.0, for 10-20 min followed by cooling at RT for 20 min.
    2. The prediluted format is supplied in a dropper bottle and is optimized for use in IHC. After epitope retrieval step (if required), drip mAb solution onto the tissue section and incubate at RT for 30 min.\. Flow Cytometry: 0.5-1 μg/million cells in 0.1ml,Immunofluorescence: 1-2 μg/mL,Immunohistochemistry (FFPE): 0.5-1 μg/mL for 30 min at RT (1),Prediluted format: incubate for 30 min at RT (2)

    限制

    仅限研究用
  • 浓度

    1 mg/mL

    缓冲液

    1 mg/mL in 1X PBS, BSA free, sodium azide free

    储存液

    Azide free

    储存条件

    4 °C,-20 °C

    储存方法

    Store the SM22 antibody at 2-8°C (with azide) or aliquot and store at -20°C or colder (without azide).
  • 抗原

    Transgelin (TAGLN)

    别名

    SM22

    背景

    This mAb recognizes a 22  kDa protein, identified as Transgelin, also designated SM22-alpha. It may cross-react with SM22-beta. Transgelin is expressed abundantly in smooth muscle cells. The human transgelin gene encodes a 201 amino acid protein that contains nuclear factor-binding motifs known to regulate transcription in smooth muscle. During embryogenesis, transgelin is expressed in smooth, cardiac and skeletal muscle, but is restricted during late fetal development and adulthood to all vascular and visceral smooth muscle cells and low levels of expression in heart. Transgelin is down regulated in several transformed cell lines, indicating that a reduction of transgelin expression may be an early indicator of the onset of transformation. Transgelin also binds Actin, causing Actin fibers to gel within minutes of binding. Binding of transgelin to Actin occurs at a ratio of 1:6 Actin monomers.
You are here: