电话:
+86 (0512) 65829739
传真:
+86 (010) 6788 5057
电子邮件:
orders@antibodies-online.cn

Granulocytes 抗体

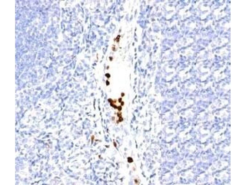
The 小鼠 单克隆 anti-Granulocytes antibody (Clone SPM250) (ABIN3026077) specifically detects Granulocytes in FACS, IHC (p) 和 IF. The antibody is reactive with 人 和 Macaque samples.
产品编号 ABIN3026077
发货至: 中国
Contact our Customer Service for availability and price in your country. Contact Info

Our Local Distributor

中国
北京 101111
No. 88 KeChuang 6th Street
Beijing Economic Technological Development Area
Room 801-803
4A Biotech Co.,Ltd.
Tel +86 (0512) 65829739 传真 +86 (010) 6788 5057

Quick Overview for Granulocytes 抗体 (ABIN3026077)

抗原

Granulocytes

适用

  • 9
  • 5
  • 5
  • 3
人, Macaque

宿主

  • 19
小鼠

克隆类型

  • 19
单克隆

标记

  • 9
  • 5
  • 4
  • 1
非结合性

应用范围

  • 18
  • 5
  • 4
  • 4
  • 3
  • 3
  • 1
  • 1
  • 1
Flow Cytometry (FACS), Immunohistochemistry (Paraffin-embedded Sections) (IHC (p)), Immunofluorescence (IF)

克隆位点

SPM250
  • 纯化方法

    Protein G affinity chromatography

    免疫原

    Nuclei from pokeweed mitogen stimulated human peripheral blood lymphocytes were used as the immunogen for this Granulocyte antibody.

    亚型

    IgG1
  • 应用备注

    The optimal dilution of the Granulocyte antibody for each application should be determined by the researcher.

    1. Staining of formalin-fixed tissues requires boiling tissue sections in 10  mM citrate buffer,  pH 6.0, for 10-20 min followed by cooling at RT for 20 minutes.
    2. The prediluted format is supplied in a dropper bottle and is optimized for use in IHC. After epitope retrieval step (if required), drip mAb solution onto the tissue section and incubate at RT for 30 min.\. Flow Cytometry: 0.5-1 μg/million cells in 0.1ml,Immunofluorescence: 1-2 μg/mL,Immunohistochemistry (FFPE): 0.5-1 μg/mL for 30 minutes at RT (1),Prediluted format: incubate for 30 min at RT (2)

    限制

    仅限研究用
  • 浓度

    1 mg/mL

    缓冲液

    1 mg/mL in 1X PBS, BSA free, sodium azide free

    储存液

    Azide free

    储存条件

    4 °C,-20 °C

    储存方法

    Store the Granulocyte antibody at 2-8°C (with azide) or aliquot and store at -20°C or colder (without azide).
  • 抗原

    Granulocytes

    别名

    Granulocyte

    背景

    Recognizes an unidentified antigen in the cytoplasm of mature granulocytes. It shows no reactivity with any other cell type in human tissues. Markers of myeloid cells are useful in the identification of different levels of cellular differentiation. SPM250 Ab reacts with early precursor and mature forms of human myeloid cells. This mAb is useful for the detection of myeloid leukemias and granulocytic sarcomas. It can be used as a marker of granulocytes in normal tissues or inflammatory processes.
You are here: