CAD 抗体
Our Local Distributor
北京 101111
Quick Overview for CAD 抗体 (ABIN3025773)
抗原
See all CAD 抗体适用
宿主
克隆类型
标记
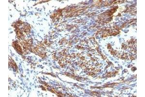
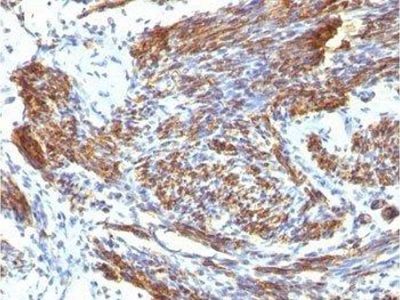
应用范围
克隆位点
-
-
无交叉反应
- 大鼠
-
纯化方法
- Protein G affinity chromatography
-
免疫原
- Recombinant full-length human protein was used as the immunogen for the CAD antibody.
-
亚型
- IgG1 kappa
-
-
-
-
应用备注
-
Optimal dilution of the CAD antibody should be determined by the researcher.
1. Staining of formalin-fixed tissues requires boiling tissue sections in 10 mM Tris with 1 mM EDTA, pH 9.0, for 10-20 min followed by cooling at RT for 20 min.
2. The prediluted format is supplied in a dropper bottle and is optimized for use in IHC. After epitope retrieval step (if required), drip mAb solution onto the tissue section and incubate at RT for 30 min.\. Flow Cytometry: 0.5-1 μg/million cells in 0.1ml,Immunofluorescence: 1-2 μg/mL,Immunohistochemistry (FFPE): 0.5-1 μg/mL for 30 min at RT (1),Prediluted format: incubate for 30 min at RT (2) -
限制
- 仅限研究用
-
-
-
浓度
- 0.2 mg/mL
-
缓冲液
- 0.2 mg/mL in 1X PBS with 0.1 mg/mL BSA (US sourced) and 0.05 % sodium azide
-
储存液
- Sodium azide
-
注意事项
- This product contains Sodium azide: a POISONOUS AND HAZARDOUS SUBSTANCE which should be handled by trained staff only.
-
储存条件
- 4 °C,-20 °C
-
储存方法
- Store the CAD antibody at 2-8°C (with azide) or aliquot and store at -20°C or colder (without azide).
-
-
- CAD (Carbamoyl-Phosphate Synthetase 2, Aspartate Transcarbamylase, and Dihydroorotase (CAD))
-
别名
- CAD
-
背景
- Recognizes a protein of 150 kDa, which is identified as the high molecular weight variant of Caldesmon. Two closely related variants of human caldesmon have been identified which are different in their electrophoretic mobility and cellular distribution. The h-caldesmon variant (120-150 kDa) is predominantly expressed in smooth muscle whereas l-caldesmon (70-80 kDa) is found in non- muscle tissue and cells. Neither of the two variants has been detected in skeletal muscle. This mAb recognizes only the 150 kDa variant (h-caldesmon) in Western blots of human aortic media extracts and is unreactive with fibroblast extracts from cultivated human foreskin. Caldesmon is a developmentally regulated protein involved in smooth muscle and non-muscle contraction.
-
途径
- Production of Molecular Mediator of Immune Response, Ribonucleoside Biosynthetic Process
抗原
-