电话:
+86 (0512) 65829739
传真:
+86 (010) 6788 5057
电子邮件:
orders@antibodies-online.cn

MRGPRX2 抗体 (C-Term)

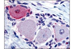
The 兔 多克隆 anti-MRGPRX2 antibody (ABIN302505) specifically detects MRGPRX2 in IHC (p). The antibody is reactive with 人 samples.
产品编号 ABIN302505
发货至: 中国
Contact our Customer Service for availability and price in your country. Contact Info

Our Local Distributor

中国
北京 101111
No. 88 KeChuang 6th Street
Beijing Economic Technological Development Area
Room 801-803
4A Biotech Co.,Ltd.
Tel +86 (0512) 65829739 传真 +86 (010) 6788 5057

Quick Overview for MRGPRX2 抗体 (C-Term) (ABIN302505)

抗原

See all MRGPRX2 抗体
MRGPRX2 (G Protein-Coupled Receptor MRGX2 (MRGPRX2))

适用

  • 26
  • 4
  • 1

宿主

  • 22
  • 4

克隆类型

  • 24
  • 2
多克隆

标记

  • 20
  • 2
  • 1
  • 1
  • 1
  • 1
This MRGPRX2 antibody is un-conjugated

应用范围

  • 14
  • 11
  • 7
  • 3
  • 3
  • 1
  • 1
  • 1
  • 1
Immunohistochemistry (Paraffin-embedded Sections) (IHC (p))
  • 抗原表位

    • 6
    • 6
    • 4
    • 2
    • 2
    • 2
    • 2
    • 2
    • 1
    • 1
    • 1
    C-Term

    特异性

    This antibody detects G Protein-Coupled Receptor MRGX2 (MRGPRX2) at C-terminal cytoplasmic domain.

    纯化方法

    Immunoaffinity chromatography

    免疫原

    MRGPRX2 antibody was raised against synthetic peptide from C-terminal cytoplasmic domain of human MRGPRX2 / MRGX2.
  • 应用备注

    Immunohistochemistry on paraffin sections (20 μg/mL). Antigen retrieval: Steam slides in 0.01 M sodium citrate buffer, pH 6.0, at 99-100C for 20 min. Remove from heat and let stand at room temperature in buffer for 20 min. Rinse in 1xTBS with Tween (TBST) for 1 min. at room temperature.
    Other applications not tested.
    Optimal dilutions are dependent on conditions and should be determined by the user.

    限制

    仅限研究用
  • 浓度

    0.9 mg/mL

    缓冲液

    PBS containing 0.09 % sodium azide as preservative

    储存液

    Sodium azide

    注意事项

    This product contains sodium azide: a POISONOUS AND HAZARDOUS SUBSTANCE which should be handled by trained staff only.

    注意事项

    Avoid repeated freezing and thawing.

    储存条件

    4 °C/-20 °C

    储存方法

    Store the antibody undiluted at 2-8 °C for one month or (in aliquots) at -20 °C to -70 °C for longer.
  • 抗原

    MRGPRX2 (G Protein-Coupled Receptor MRGX2 (MRGPRX2))

    别名

    MRGPRX2

    背景

    MRGX2 is highly similar to other MRG receptors. Recently it has been shown that MrgX2 is a high potency cortistatin receptor expressed in dorsal root ganglion.Synonyms: MRGX2, Mas-related G-protein coupled receptor member X2

    基因ID

    117194

    NCBI登录号

    NP_473371

    UniProt

    Q96LB1
You are here: