电话:
+86 (0512) 65829739
传真:
+86 (010) 6788 5057
电子邮件:
orders@antibodies-online.cn

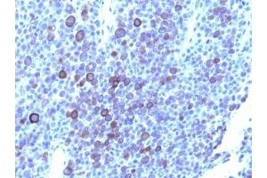
Glypican 3 抗体 (AA 511-580)

This 小鼠 单克隆 antibody specifically detects Glypican 3 in FACS, IF 和 IHC (p). It exhibits reactivity toward 人.
产品编号 ABIN3024884
发货至: 中国
Contact our Customer Service for availability and price in your country. Contact Info

Our Local Distributor

中国
北京 101111
No. 88 KeChuang 6th Street
Beijing Economic Technological Development Area
Room 801-803
4A Biotech Co.,Ltd.
Tel +86 (0512) 65829739 传真 +86 (010) 6788 5057

Quick Overview for Glypican 3 抗体 (AA 511-580) (ABIN3024884)

抗原

See all Glypican 3 (GPC3) 抗体
Glypican 3 (GPC3)

适用

  • 205
  • 63
  • 53
  • 4
  • 2
  • 2
  • 2
  • 2
  • 1
  • 1
  • 1

宿主

  • 118
  • 68
  • 17
  • 3
  • 3
  • 1
  • 1
小鼠

克隆类型

  • 118
  • 84
  • 5
单克隆

标记

  • 90
  • 17
  • 9
  • 7
  • 7
  • 6
  • 6
  • 6
  • 6
  • 6
  • 6
  • 6
  • 6
  • 2
  • 2
  • 2
  • 2
  • 2
  • 2
  • 2
  • 1
  • 1
  • 1
  • 1
  • 1
  • 1
  • 1
  • 1
  • 1
  • 1
  • 1
  • 1
  • 1
  • 1
  • 1
This Glypican 3 antibody is un-conjugated

应用范围

  • 110
  • 90
  • 87
  • 60
  • 60
  • 26
  • 19
  • 16
  • 13
  • 6
  • 6
  • 2
  • 1
  • 1
  • 1
Flow Cytometry (FACS), Immunofluorescence (IF), Immunohistochemistry (Paraffin-embedded Sections) (IHC (p))

克隆位点

1G12-GPC3-863
  • 抗原表位

    • 21
    • 16
    • 12
    • 7
    • 7
    • 6
    • 4
    • 4
    • 2
    • 2
    • 2
    • 2
    • 2
    • 2
    • 2
    • 2
    • 2
    • 1
    • 1
    • 1
    • 1
    • 1
    • 1
    • 1
    • 1
    AA 511-580

    纯化方法

    Protein G affinity chromatography

    免疫原

    A recombinant fragment containing amino acids 511-580 of human GPC3 (1G12) and recombinant full-length protein (GPC3/863) were used as the immunogen for the Glypican-3 antibody cocktail.

    亚型

    IgG
  • 应用备注

    Optimal dilution of the Glypican-3 antibody cocktail should be determined by the researcher.

    1. Staining of formalin-fixed tissues requires boiling tissue sections in 10  mM Tris with 1  mM EDTA,  pH 9.0, for 10-20 min followed by cooling at RT for 20 min
    2. The prediluted format is supplied in a dropper bottle and is optimized for use in IHC. After epitope retrieval step (if required), drip mAb solution onto the tissue section and incubate at RT for 30 min.\. Flow Cytometry: 0.5-1 μg/million cells in 0.1ml,Immunofluorescence: 0.5-1 μg/mL,Immunohistochemistry (FFPE): 0.5-1 μg/mL for 30 min at RT (1),Prediluted format : incubate for 30 min at RT (2)

    限制

    仅限研究用
  • 浓度

    0.2 mg/mL

    缓冲液

    0.2 mg/mL in 1X PBS with 0.1 mg/mL BSA (US sourced) and 0.05 % sodium azide

    储存液

    Sodium azide

    注意事项

    This product contains Sodium azide: a POISONOUS AND HAZARDOUS SUBSTANCE which should be handled by trained staff only.

    储存条件

    4 °C,-20 °C

    储存方法

    Store the Glypican-3 antibody cocktail at 2-8°C (with azide) or aliquot and store at -20°C or colder (without azide).
  • 抗原

    Glypican 3 (GPC3)

    别名

    Glypican-3

    背景

    Glypican-3 (GPC3) is an integral membrane protein that is mutated in the Simpson-Golabi-Behmel syndrome (SGBS). SGBS is characterized by pre- and post-natal overgrowth and is a recessive X-linked condition. GPC3 may also be found in a secreted form. Anti-GPC3 has been identified as a useful tumor marker for the diagnosis of hepatocellular carcinoma (HCC), hepatoblastoma, melanoma, testicular germ cell tumors, and Wilm s tumor. In patients with HCC, GPC3 is overexpressed in neoplastic liver tissue and elevated in serum, but is undetectable in normal liver, benign liver, and the serum of healthy donors. GPC3 expression is also found to be higher in HCC liver tissue than in cirrhotic liver or liver with focal lesions such as dysplastic nodules and areas of hepatic adenoma (HA) with malignant transformation. In the context of testicular germ cell tumors, GPC3 expression is up regulated in certain histologic subtypes, specifically yolk sac tumors and choriocarcinoma. A high level of GPC3 expression has also been found in some types of embryonal tumors, such as Wilm s tumor and hepatoblastoma, with a low or undetectable expression in normal adjacent tissue. In patients with thyroid cancer, expression of GPC3 is dramatically enhanced in certain types of cancers: 100 % in follicular carcinoma and 70 % in papillary carcinoma. Expression of GPC3 in follicular carcinoma was significantly higher than that of follicular adenoma. In contrast, GPC 3 is not expressed in anaplastic carcinoma.

    途径

    Glycosaminoglycan Metabolic Process
You are here: