电话:
+86 (0512) 65829739
传真:
+86 (010) 6788 5057
电子邮件:
orders@antibodies-online.cn

Melanoma 抗体

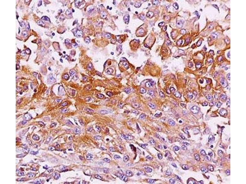
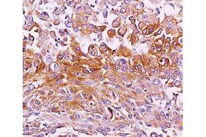
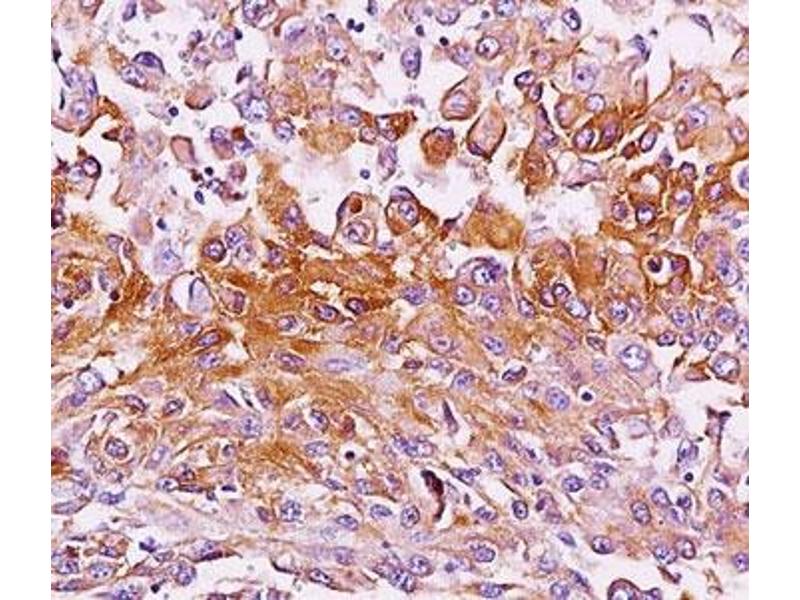
The 小鼠 单克隆 anti-Melanoma antibody (Clone NKI-beteb) (ABIN3024241) specifically detects Melanoma in IHC (p), IF 和 FACS. The antibody is reactive with 人 和 马 samples.
产品编号 ABIN3024241
发货至: 中国
Contact our Customer Service for availability and price in your country. Contact Info

Our Local Distributor

中国
北京 101111
No. 88 KeChuang 6th Street
Beijing Economic Technological Development Area
Room 801-803
4A Biotech Co.,Ltd.
Tel +86 (0512) 65829739 传真 +86 (010) 6788 5057

Quick Overview for Melanoma 抗体 (ABIN3024241)

抗原

Melanoma

适用

  • 4
  • 2
  • 2
  • 1
人, 马

宿主

  • 4
小鼠

克隆类型

  • 4
单克隆

标记

  • 4
This Melanoma antibody is un-conjugated

应用范围

  • 3
  • 3
  • 1
  • 1
  • 1
Immunohistochemistry (Paraffin-embedded Sections) (IHC (p)), Immunofluorescence (IF), Flow Cytometry (FACS)

克隆位点

NKI-beteb
  • 无交叉反应

    大鼠

    纯化方法

    Protein G affinity chromatography

    免疫原

    Membranes from a human melanoma metastasis were used as the immunogen for this Melanoma antibody (gp100).

    亚型

    IgG2b kappa
  • 应用备注

    Differences in protocols and secondaries may require the gp100 antibody to be titered up or down for optimal performance.

    1. Staining of formalin-fixed tissues requires boiling tissue sections in 10  mM citrate buffer,  pH 6.0, for 10-20 min followed by cooling at RT for 20 minutes.\. FACS: 0.5-1 μg/million cells,IF: 1-2 μg/mL,IHC (FFPE): 1-2 μg/mL for 30 minutes at RT (1)

    限制

    仅限研究用
  • 浓度

    1 mg/mL

    缓冲液

    1 mg/mL in 1X PBS, BSA free, sodium azide free

    储存液

    Azide free

    储存条件

    4 °C,-20 °C

    储存方法

    Store the Melanoma antibody at 2-8°C (with azide) or aliquot and store at -20°C or colder (without azide).
  • 抗原

    Melanoma

    背景

    By immunohistochemistry, this melanoma gp100 antibody specifically recognizes a protein in melanocytes and melanomas. It reacts with junctional and blue nevus cells and variably with fetal and neonatal melanocytes. Intradermal nevi, normal adult melanocytes, and non-melanocytic cells are negative. It does not stain tumor cells of epithelial, lymphoid, glial, or mesenchymal origin. The melanoma antibody labels formalin/paraffin melanomas and other tumors showing melanocytic differentiation.

    基因ID

    6490
You are here: