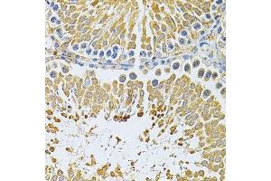
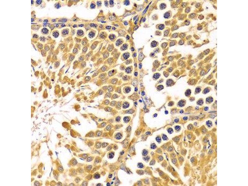
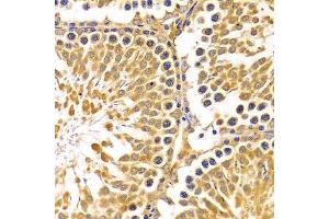
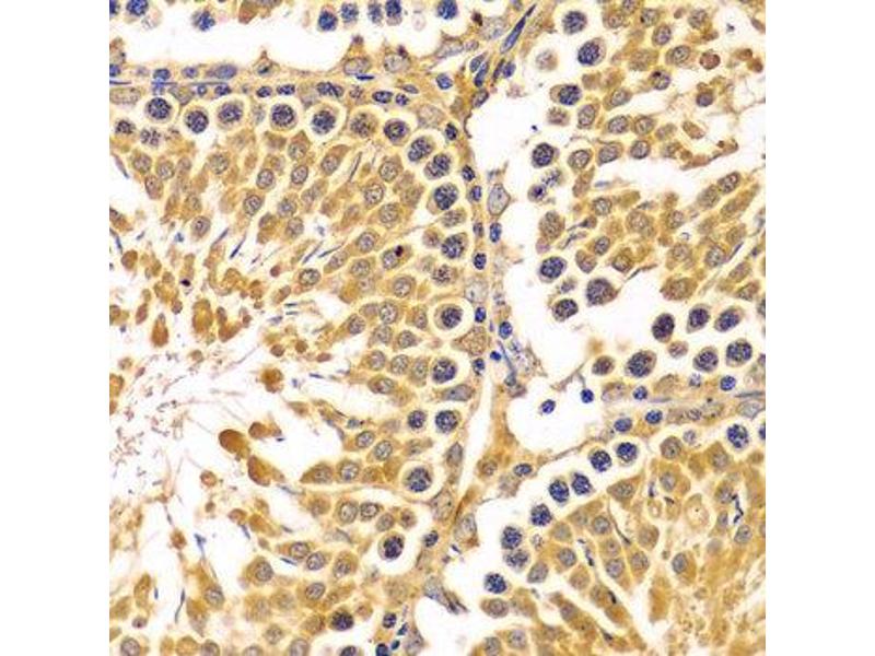
PIBF1 抗体
Our Local Distributor
北京 101111
Quick Overview for PIBF1 抗体 (ABIN3023472)
抗原
See all PIBF1 抗体适用
宿主
克隆类型
标记
应用范围
-
-
交叉反应
- 人, 小鼠, 大鼠
-
产品特性
- Polyclonal Antibodies
-
免疫原
- A synthetic peptide of human PIBF1
-
亚型
- IgG
-
-
-
-
应用备注
- WB,1:500 - 1:1000,IHC,1:50 - 1:100
-
限制
- 仅限研究用
-
-
-
缓冲液
- PBS with 0.02 % sodium azide,50 % glycerol, pH 7.3.
-
储存液
- Sodium azide
-
注意事项
- This product contains Sodium azide: a POISONOUS AND HAZARDOUS SUBSTANCE which should be handled by trained staff only.
-
储存条件
- -20 °C
-
储存方法
- Store at -20°C. Avoid freeze / thaw cycles.
-
-
- PIBF1 (Progesterone Immunomodulatory Binding Factor 1 (PIBF1))
-
别名
- PIBF1
-
背景
- This gene encodes a protein that is induced by the steroid hormone progesterone and plays a role in the maintenance of pregnancy. The encoded protein regulates multiple facets of the immune system to promote normal pregnancy including cytokine synthesis, natural killer (NK) cell activity, and arachidonic acid metabolism. Low serum levels of this protein have been associated with spontaneous pre-term labor in humans. This protein may promote the proliferation, migration and invasion of glioma. [provided by RefSeq, Mar 2017],PIBF1,C13orf24,CEP90,PIBF,Signal Transduction,Cell Biology & Developmental Biology,Cell Cycle,Centrosome,Growth factor,PIBF1
-
分子量
- 12 kDa/25 kDa/35 kDa/89 kDa
-
基因ID
- 10464
-
UniProt
- Q8WXW3
抗原
-