电话:
+86 (0512) 65829739
传真:
+86 (010) 6788 5057
电子邮件:
orders@antibodies-online.cn

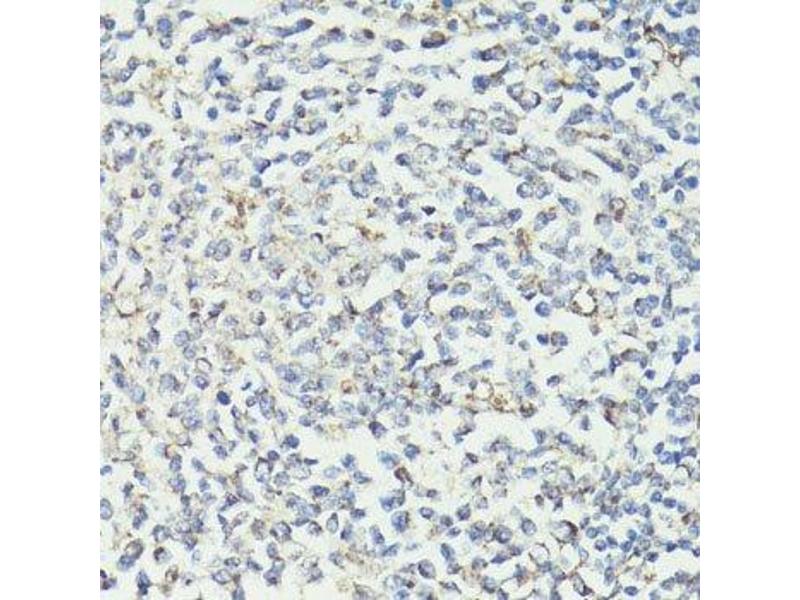
CD33 抗体 (AA 49-259)

This 兔 多克隆 antibody specifically detects CD33 in WB, IF 和 IHC. It exhibits reactivity toward 人.
产品编号 ABIN3022816
发货至: 中国
Contact our Customer Service for availability and price in your country. Contact Info

Our Local Distributor

中国
北京 101111
No. 88 KeChuang 6th Street
Beijing Economic Technological Development Area
Room 801-803
4A Biotech Co.,Ltd.
Tel +86 (0512) 65829739 传真 +86 (010) 6788 5057

Quick Overview for CD33 抗体 (AA 49-259) (ABIN3022816)

抗原

See all CD33 抗体
CD33

适用

  • 234
  • 36
  • 16
  • 13
  • 7
  • 6
  • 3
  • 1
  • 1

宿主

  • 115
  • 112
  • 15
  • 1

克隆类型

  • 149
  • 93
  • 1
多克隆

标记

  • 89
  • 20
  • 16
  • 16
  • 13
  • 9
  • 5
  • 5
  • 4
  • 4
  • 4
  • 3
  • 2
  • 2
  • 2
  • 2
  • 2
  • 2
  • 2
  • 2
  • 2
  • 2
  • 2
  • 2
  • 2
  • 2
  • 2
  • 2
  • 1
  • 1
  • 1
  • 1
  • 1
  • 1
  • 1
  • 1
  • 1
  • 1
  • 1
  • 1
  • 1
  • 1
  • 1
  • 1
  • 1
  • 1
  • 1
  • 1
  • 1
  • 1
  • 1
This CD33 antibody is un-conjugated

应用范围

  • 142
  • 116
  • 43
  • 43
  • 36
  • 33
  • 26
  • 26
  • 17
  • 16
  • 10
  • 8
  • 6
  • 5
  • 4
  • 2
  • 2
  • 2
  • 1
  • 1
  • 1
  • 1
  • 1
  • 1
Western Blotting (WB), Immunofluorescence (IF), Immunohistochemistry (IHC)
  • 抗原表位

    • 16
    • 16
    • 13
    • 9
    • 8
    • 5
    • 4
    • 2
    • 2
    • 2
    • 2
    • 2
    • 1
    • 1
    • 1
    • 1
    • 1
    • 1
    • 1
    • 1
    • 1
    • 1
    • 1
    • 1
    • 1
    • 1
    AA 49-259

    序列

    YYDKNSPVHG YWFREGAIIS RDSPVATNKL DQEVQEETQG RFRLLGDPSR NNCSLSIVDA RRRDNGSYFF RMERGSTKYS YKSPQLSVHV TDLTHRPKIL IPGTLEPGHS KNLTCSVSWA CEQGTPPIFS WLSAAPTSLG PRTTHSSVLI ITPRPQDHGT NLTCQVKFAG AGVTTERTIQ LNVTYVPQNP TTGIFPGDGS GKQETRAGVV H

    交叉反应

    人, 小鼠, 大鼠

    产品特性

    Polyclonal Antibodies

    纯化方法

    Affinity purification

    免疫原

    Recombinant fusion protein containing a sequence corresponding to amino acids 49-259 of human SIGLEC3/CD33 (NP_001763.3).

    亚型

    IgG
  • 应用备注

    WB,1:500 - 1:2000,IHC,1:50 - 1:200,IF,1:50 - 1:200

    限制

    仅限研究用
  • 状态

    Liquid

    缓冲液

    PBS with 0.02 % sodium azide,50 % glycerol, pH 7.3.

    储存液

    Sodium azide

    注意事项

    This product contains Sodium azide: a POISONOUS AND HAZARDOUS SUBSTANCE which should be handled by trained staff only.

    注意事项

    Avoid freeze / thaw cycles

    储存条件

    -20 °C

    储存方法

    Store at -20°C. Avoid freeze / thaw cycles.
  • 抗原

    CD33

    别名

    CD33

    背景

    Myeloid cell surface antigen CD33 also known as Sialic acid binding Ig-like lectin 3, CD33 antigen or Siglec-3, is a member of the immunoglobulin superfamily and SIGLEC (sialic acid binding Ig-like lectin) family. This Single-pass type I membrane protein contains 1 Ig-like C2-type (immunoglobulin-like) domain and 1 Ig-like V-type (immunoglobulin-like) domain. CD33/Siglec-3 induces apoptosis in acute myeloid leukemia (in vitro). CD33/Siglec-3 can function as a sialic acid-dependent cell adhesion molecule and that binding can be modulated by endogenous sialoglycoconjugates when CD33 is expressed in a plasma membrane.,CD33,SIGLEC-3,SIGLEC3,p67,Immunology & Inflammation,CD markers,Stem Cells,Hematopoietic Progenitors,CD33

    分子量

    25 kDa/33 kDa/39 kDa

    基因ID

    945

    UniProt

    P20138
You are here: