电话:
+86 (0512) 65829739
传真:
+86 (010) 6788 5057
电子邮件:
orders@antibodies-online.cn

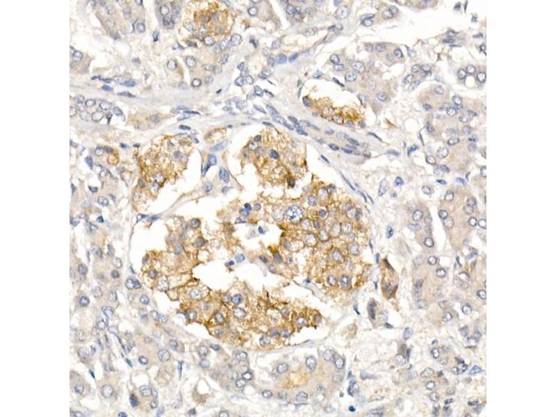
CD99 抗体 (AA 23-185)

The 兔 多克隆 anti-CD99 antibody is suitable to detect CD99 in samples from 人. It has been validated for IHC, WB 和 IF.
产品编号 ABIN3022731
发货至: 中国
Contact our Customer Service for availability and price in your country. Contact Info

Our Local Distributor

中国
北京 101111
No. 88 KeChuang 6th Street
Beijing Economic Technological Development Area
Room 801-803
4A Biotech Co.,Ltd.
Tel +86 (0512) 65829739 传真 +86 (010) 6788 5057

Quick Overview for CD99 抗体 (AA 23-185) (ABIN3022731)

抗原

See all CD99 抗体
CD99

适用

  • 150
  • 27
  • 9
  • 6
  • 1

宿主

  • 99
  • 71
  • 4

克隆类型

  • 109
  • 65
多克隆

标记

  • 65
  • 14
  • 11
  • 11
  • 5
  • 4
  • 4
  • 4
  • 4
  • 4
  • 4
  • 3
  • 3
  • 3
  • 3
  • 3
  • 3
  • 3
  • 2
  • 1
  • 1
  • 1
  • 1
  • 1
  • 1
  • 1
  • 1
  • 1
  • 1
  • 1
  • 1
  • 1
  • 1
  • 1
  • 1
  • 1
  • 1
  • 1
  • 1
  • 1
This CD99 antibody is un-conjugated

应用范围

  • 70
  • 68
  • 64
  • 45
  • 24
  • 19
  • 19
  • 18
  • 18
  • 14
  • 13
  • 12
  • 5
  • 4
  • 1
  • 1
Immunohistochemistry (IHC), Western Blotting (WB), Immunofluorescence (IF)
  • 抗原表位

    • 15
    • 6
    • 5
    • 4
    • 3
    • 2
    • 2
    • 2
    • 1
    • 1
    • 1
    • 1
    • 1
    • 1
    • 1
    • 1
    AA 23-185

    序列

    DGGFDLSDAL PDNENKKPTA IPKKPSAGDD FDLGDAVVDG ENDDPRPPNP PKPMPNPNPN HPSSSGSFSD ADLADGVSGG EGKGGSDGGG SHRKEGEEAD APGVIPGIVG AVVVAVAGAI SSFIAYQKKK LCFKENAEQG EVDMESHRNA NAEPAVQRTL LEK

    交叉反应

    产品特性

    Polyclonal Antibodies

    纯化方法

    Affinity purification

    免疫原

    Recombinant fusion protein containing a sequence corresponding to amino acids 23-185 of human CD99 (NP_002405.1).

    亚型

    IgG
  • 应用备注

    WB,1:500 - 1:2000,IHC,1:50 - 1:200,IF,1:50 - 1:200

    限制

    仅限研究用
  • 状态

    Liquid

    缓冲液

    PBS with 0.02 % sodium azide,50 % glycerol, pH 7.3.

    储存液

    Sodium azide

    注意事项

    This product contains Sodium azide: a POISONOUS AND HAZARDOUS SUBSTANCE which should be handled by trained staff only.

    注意事项

    Avoid freeze / thaw cycles

    储存条件

    -20 °C

    储存方法

    Store at -20°C. Avoid freeze / thaw cycles.
  • 抗原

    CD99

    别名

    CD99

    背景

    The protein encoded by this gene is a cell surface glycoprotein involved in leukocyte migration, T-cell adhesion, ganglioside GM1 and transmembrane protein transport, and T-cell death by a caspase-independent pathway. In addition, the encoded protein may have the ability to rearrange the actin cytoskeleton and may also act as an oncosuppressor in osteosarcoma. This gene is found in the pseudoautosomal region of chromosomes X and Y and escapes X-chromosome inactivation. There is a related pseudogene located immediately adjacent to this locus.,CD99,HBA71,MIC2,MIC2X,MIC2Y,MSK5X,Cancer,Invasion and Metastasis,Signal Transduction,Cell Biology & Developmental Biology,Cell Adhesion,Cytoskeleton,Immunology & Inflammation,CD markers,CD99

    分子量

    16 kDa/17 kDa/18 kDa

    基因ID

    4267

    UniProt

    P14209
You are here: