电话:
+86 (0512) 65829739
传真:
+86 (010) 6788 5057
电子邮件:
orders@antibodies-online.cn

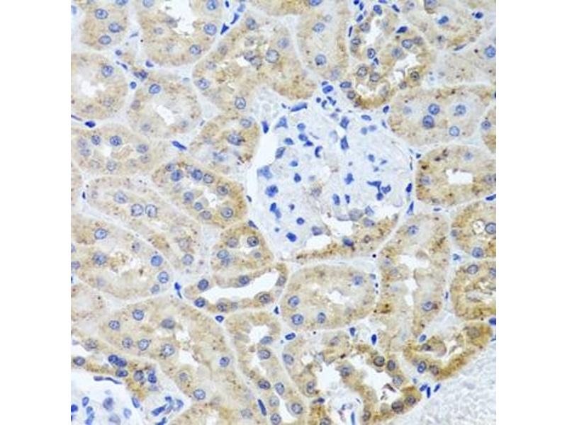
HDAC6 抗体 (AA 1-200)

The 兔 多克隆 anti-HDAC6 antibody (ABIN3022457) specifically detects HDAC6 in WB 和 IHC. The antibody is reactive with 人 samples.
产品编号 ABIN3022457
发货至: 中国
Contact our Customer Service for availability and price in your country. Contact Info

Our Local Distributor

中国
北京 101111
No. 88 KeChuang 6th Street
Beijing Economic Technological Development Area
Room 801-803
4A Biotech Co.,Ltd.
Tel +86 (0512) 65829739 传真 +86 (010) 6788 5057

Quick Overview for HDAC6 抗体 (AA 1-200) (ABIN3022457)

抗原

See all HDAC6 抗体
HDAC6 (Histone Deacetylase 6 (HDAC6))

适用

  • 137
  • 45
  • 32
  • 8
  • 5
  • 5
  • 4
  • 3
  • 3
  • 2
  • 1
  • 1
  • 1

宿主

  • 123
  • 20
  • 1

克隆类型

  • 106
  • 38
多克隆

标记

  • 79
  • 9
  • 4
  • 4
  • 4
  • 4
  • 4
  • 4
  • 4
  • 2
  • 2
  • 2
  • 2
  • 2
  • 2
  • 2
  • 2
  • 2
  • 2
  • 2
  • 2
  • 1
  • 1
  • 1
  • 1
This HDAC6 antibody is un-conjugated

应用范围

  • 113
  • 53
  • 38
  • 37
  • 29
  • 27
  • 26
  • 24
  • 18
  • 12
  • 6
  • 6
  • 2
  • 2
  • 1
  • 1
Western Blotting (WB), Immunohistochemistry (IHC)
  • 抗原表位

    • 27
    • 15
    • 11
    • 9
    • 6
    • 3
    • 2
    • 2
    • 2
    • 2
    • 2
    • 1
    • 1
    • 1
    • 1
    • 1
    • 1
    • 1
    • 1
    • 1
    • 1
    • 1
    • 1
    • 1
    • 1
    • 1
    • 1
    • 1
    AA 1-200

    序列

    MTSTGQDSTT TRQRRSRQNP QSPPQDSSVT SKRNIKKGAV PRSIPNLAEV KKKGKMKKLG QAMEEDLIVG LQGMDLNLEA EALAGTGLVL DEQLNEFHCL WDDSFPEGPE RLHAIKEQLI QEGLLDRCVS FQARFAEKEE LMLVHSLEYI DLMETTQYMN EGELRVLADT YDSVYLHPNS YSCACLASGS VLRLVDAVLG

    交叉反应

    人, 小鼠, 大鼠

    产品特性

    Polyclonal Antibodies

    纯化方法

    Affinity purification

    免疫原

    Recombinant fusion protein containing a sequence corresponding to amino acids 1-200 of human HDAC6 (NP_006035.2).

    亚型

    IgG
  • 应用备注

    WB,1:500 - 1:2000,IHC,1:50 - 1:200

    限制

    仅限研究用
  • 状态

    Liquid

    缓冲液

    PBS with 0.02 % sodium azide,50 % glycerol, pH 7.3.

    储存液

    Sodium azide

    注意事项

    This product contains Sodium azide: a POISONOUS AND HAZARDOUS SUBSTANCE which should be handled by trained staff only.

    注意事项

    Avoid freeze / thaw cycles

    储存条件

    -20 °C

    储存方法

    Store at -20°C. Avoid freeze / thaw cycles.
  • 抗原

    HDAC6 (Histone Deacetylase 6 (HDAC6))

    别名

    HDAC6

    背景

    Histones play a critical role in transcriptional regulation, cell cycle progression, and developmental events. Histone acetylation/deacetylation alters chromosome structure and affects transcription factor access to DNA. The protein encoded by this gene belongs to class II of the histone deacetylase/acuc/apha family. It contains an internal duplication of two catalytic domains which appear to function independently of each other. This protein possesses histone deacetylase activity and represses transcription.,HDAC6,CPBHM,HD6,JM21,PPP1R90,Epigenetics & Nuclear Signaling,Signal Transduction,Cell Biology & Developmental Biology,Autophagy,Cell Cycle,G1/S Checkpoint,Notch Signaling Pathway,Wnt/β-Catenin Signaling Pathway,Immunology & Inflammation,NF-kB Signaling Pathway,Stem Cells,HDAC6

    分子量

    114 kDa/131 kDa

    基因ID

    10013

    UniProt

    Q9UBN7

    途径

    Intracellular Steroid Hormone Receptor Signaling Pathway, Regulation of Intracellular Steroid Hormone Receptor Signaling
You are here: