电话:
+86 (0512) 65829739
传真:
+86 (010) 6788 5057
电子邮件:
orders@antibodies-online.cn

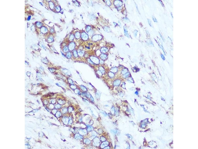
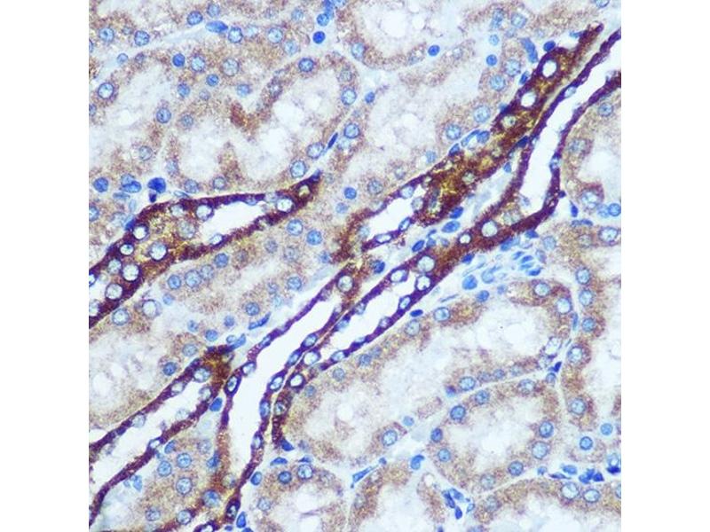
GSTT1 抗体 (AA 1-240)

The 兔 多克隆 anti-GSTT1 antibody is suitable to detect GSTT1 in samples from 人. It has been validated for WB, IHC 和 IF.
产品编号 ABIN3021871
发货至: 中国
Contact our Customer Service for availability and price in your country. Contact Info

Our Local Distributor

中国
北京 101111
No. 88 KeChuang 6th Street
Beijing Economic Technological Development Area
Room 801-803
4A Biotech Co.,Ltd.
Tel +86 (0512) 65829739 传真 +86 (010) 6788 5057

Quick Overview for GSTT1 抗体 (AA 1-240) (ABIN3021871)

抗原

See all GSTT1 抗体
GSTT1 (Glutathione S-Transferase theta 1 (GSTT1))

适用

  • 41
  • 12
  • 8
  • 2
  • 2
  • 2
  • 2
  • 1

宿主

  • 41
  • 6

克隆类型

  • 42
  • 5
多克隆

标记

  • 37
  • 4
  • 2
  • 2
  • 1
  • 1
This GSTT1 antibody is un-conjugated

应用范围

  • 39
  • 25
  • 15
  • 12
  • 7
  • 6
  • 4
  • 3
  • 2
  • 1
Western Blotting (WB), Immunohistochemistry (IHC), Immunofluorescence (IF)
  • 抗原表位

    • 9
    • 8
    • 7
    • 5
    • 3
    • 3
    • 2
    • 2
    • 2
    • 1
    • 1
    • 1
    • 1
    • 1
    AA 1-240

    序列

    MGLELYLDLL SQPCRAVYIF AKKNDIPFEL RIVDLIKGQH LSDAFAQVNP LKKVPALKDG DFTLTESVAI LLYLTRKYKV PDYWYPQDLQ ARARVDEYLA WQHTTLRRSC LRALWHKVMF PVFLGEPVSP QTLAATLAEL DVTLQLLEDK FLQNKAFLTG PHISLADLVA ITELMHPVGA GCQVFEGRPK LATWRQRVEA AVGEDLFQEA HEVILKAKDF PPADPTIKQK LMPWVLAMIR

    交叉反应

    人, 小鼠, 大鼠

    产品特性

    Polyclonal Antibodies

    纯化方法

    Affinity purification

    免疫原

    Recombinant fusion protein containing a sequence corresponding to amino acids 1-240 of human GSTT1 (NP_000844.2).

    亚型

    IgG
  • 应用备注

    WB,1:500 - 1:2000,IHC,1:50 - 1:200,IF,1:50 - 1:200

    限制

    仅限研究用
  • 状态

    Liquid

    缓冲液

    PBS with 0.02 % sodium azide,50 % glycerol, pH 7.3.

    储存液

    Sodium azide

    注意事项

    This product contains Sodium azide: a POISONOUS AND HAZARDOUS SUBSTANCE which should be handled by trained staff only.

    注意事项

    Avoid freeze / thaw cycles

    储存条件

    -20 °C

    储存方法

    Store at -20°C. Avoid freeze / thaw cycles.
  • 抗原

    GSTT1 (Glutathione S-Transferase theta 1 (GSTT1))

    别名

    GSTT1

    背景

    The protein encoded by this gene, glutathione S-transferase (GST) theta 1 (GSTT1), is a member of a superfamily of proteins that catalyze the conjugation of reduced glutathione to a variety of electrophilic and hydrophobic compounds. Human GSTs can be divided into five main classes: alpha, mu, pi, theta, and zeta. The theta class includes GSTT1, GSTT2, and GSTT2B. GSTT1 and GSTT2/GSTT2B share 55 % amino acid sequence identity and may play a role in human carcinogenesis. The GSTT1 gene is haplotype-specific and is absent from 38 % of the population. Alternative splicing of this gene results in multiple transcript variants.,GSTT1,Cell Biology & Developmental Biology,Endocrine & Metabolism,GSTT1

    分子量

    13 kDa/27 kDa

    基因ID

    2952

    UniProt

    P30711
You are here: