电话:
+86 (0512) 65829739
传真:
+86 (010) 6788 5057
电子邮件:
orders@antibodies-online.cn

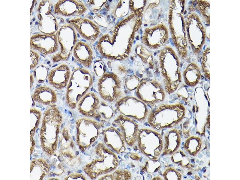
Ataxin 3 抗体 (AA 1-364)

The 兔 多克隆 anti-Ataxin 3 antibody (ABIN3021829) specifically detects Ataxin 3 in WB, IHC 和 IF. The antibody is reactive with 人 samples.
产品编号 ABIN3021829
发货至: 中国
Contact our Customer Service for availability and price in your country. Contact Info

Our Local Distributor

中国
北京 101111
No. 88 KeChuang 6th Street
Beijing Economic Technological Development Area
Room 801-803
4A Biotech Co.,Ltd.
Tel +86 (0512) 65829739 传真 +86 (010) 6788 5057

Quick Overview for Ataxin 3 抗体 (AA 1-364) (ABIN3021829)

抗原

See all Ataxin 3 (ATXN3) 抗体
Ataxin 3 (ATXN3)

适用

  • 59
  • 33
  • 32
  • 4
  • 4
  • 4
  • 3
  • 3
  • 3
  • 3
  • 3
  • 2
  • 2
  • 2
  • 2
  • 2
  • 1
  • 1

宿主

  • 56
  • 2
  • 1

克隆类型

  • 57
  • 2
多克隆

标记

  • 27
  • 5
  • 4
  • 3
  • 2
  • 1
  • 1
  • 1
  • 1
  • 1
  • 1
  • 1
  • 1
  • 1
  • 1
  • 1
  • 1
  • 1
  • 1
  • 1
  • 1
  • 1
  • 1
This Ataxin 3 antibody is un-conjugated

应用范围

  • 45
  • 21
  • 20
  • 13
  • 13
  • 11
  • 7
  • 4
  • 3
  • 3
  • 3
  • 2
  • 1
  • 1
Western Blotting (WB), Immunohistochemistry (IHC), Immunofluorescence (IF)
  • 抗原表位

    • 15
    • 8
    • 7
    • 6
    • 4
    • 3
    • 2
    • 2
    • 2
    • 2
    • 1
    • 1
    • 1
    • 1
    • 1
    • 1
    AA 1-364

    序列

    MESIFHEKQE GSLCAQHCLN NLLQGEYFSP VELSSIAHQL DEEERMRMAE GGVTSEDYRT FLQQPSGNMD DSGFFSIQVI SNALKVWGLE LILFNSPEYQ RLRIDPINER SFICNYKEHW FTVRKLGKQW FNLNSLLTGP ELISDTYLAL FLAQLQQEGY SIFVVKGDLP DCEADQLLQM IRVQQMHRPK LIGEELAQLK EQRVHKTDLE RVLEANDGSG MLDEDEEDLQ RALALSRQEI DMEDEEADLR RAIQLSMQGS SRNISQDMTQ TSGTNLTSEE LRKRREAYFE KQQQKQQQQQ QQQQQGDLSG QSSHPCERPA TSSGALGSDL GDAMSEEDML QAAVTMSLET VRNDLKTEGK K

    交叉反应

    人, 小鼠, 大鼠

    产品特性

    Polyclonal Antibodies

    纯化方法

    Affinity purification

    免疫原

    Recombinant fusion protein containing a sequence corresponding to amino acids 1-364 of human Ataxin 3 (NP_004984.2).

    亚型

    IgG
  • 应用备注

    WB,1:500 - 1:2000,IHC,1:50 - 1:200,IF,1:50 - 1:200

    限制

    仅限研究用
  • 状态

    Liquid

    缓冲液

    PBS with 0.02 % sodium azide,50 % glycerol, pH 7.3.

    储存液

    Sodium azide

    注意事项

    This product contains Sodium azide: a POISONOUS AND HAZARDOUS SUBSTANCE which should be handled by trained staff only.

    注意事项

    Avoid freeze / thaw cycles

    储存条件

    -20 °C

    储存方法

    Store at -20°C. Avoid freeze / thaw cycles.
  • 抗原

    Ataxin 3 (ATXN3)

    别名

    ATXN3

    背景

    Machado-Joseph disease, also known as spinocerebellar ataxia-3, is an autosomal dominant neurologic disorder. The protein encoded by this gene contains (CAG)n repeats in the coding region, and the expansion of these repeats from the normal 12-44 to 52-86 is one cause of Machado-Joseph disease. There is a negative correlation between the age of onset and CAG repeat numbers. Alternatively spliced transcript variants encoding different isoforms have been described for this gene.,ATXN3,AT3,ATX3,JOS,MJD,MJD1,SCA3,ataxin-3,Ataxin 3,Epigenetics & Nuclear Signaling,Cell Biology & Developmental Biology,Ubiquitin,Neuroscience,Neurodegenerative Diseases,ATXN3

    分子量

    20 kDa/35 kDa/39 kDa/41 kDa

    基因ID

    4287

    UniProt

    P54252
You are here: