电话:
+86 (0512) 65829739
传真:
+86 (010) 6788 5057
电子邮件:
orders@antibodies-online.cn

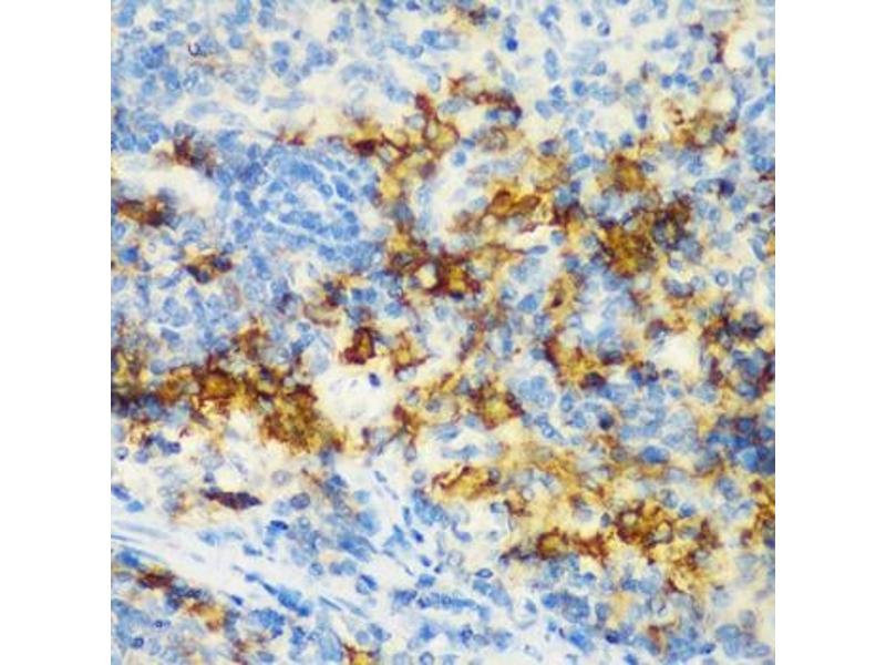
CD3D 抗体 (AA 22-105)

The 兔 多克隆 anti-CD3D antibody (ABIN3021814) specifically detects CD3D in WB, IHC 和 IF. The antibody is reactive with 人 samples.
产品编号 ABIN3021814
发货至: 中国
Contact our Customer Service for availability and price in your country. Contact Info

Our Local Distributor

中国
北京 101111
No. 88 KeChuang 6th Street
Beijing Economic Technological Development Area
Room 801-803
4A Biotech Co.,Ltd.
Tel +86 (0512) 65829739 传真 +86 (010) 6788 5057

Quick Overview for CD3D 抗体 (AA 22-105) (ABIN3021814)

抗原

See all CD3D 抗体
CD3D (CD3d Molecule, delta (CD3-TCR Complex) (CD3D))

适用

  • 68
  • 26
  • 18
  • 5
  • 4
  • 2
  • 2
  • 2

宿主

  • 83
  • 27
  • 2
  • 1

克隆类型

  • 65
  • 48
多克隆

标记

  • 62
  • 18
  • 9
  • 3
  • 3
  • 3
  • 3
  • 3
  • 3
  • 2
  • 2
  • 1
  • 1
This CD3D antibody is un-conjugated

应用范围

  • 84
  • 53
  • 34
  • 29
  • 28
  • 22
  • 18
  • 6
  • 4
  • 2
  • 1
  • 1
  • 1
  • 1
Western Blotting (WB), Immunohistochemistry (IHC), Immunofluorescence (IF)
  • 抗原表位

    • 12
    • 7
    • 6
    • 5
    • 4
    • 3
    • 2
    • 2
    • 2
    • 2
    • 2
    • 2
    • 2
    • 1
    • 1
    • 1
    • 1
    • 1
    • 1
    AA 22-105

    序列

    FKIPIEELED RVFVNCNTSI TWVEGTVGTL LSDITRLDLG KRILDPRGIY RCNGTDIYKD KESTVQVHYR MCQSCVELDP ATVA

    交叉反应

    人, 大鼠

    产品特性

    Polyclonal Antibodies

    纯化方法

    Affinity purification

    免疫原

    Recombinant fusion protein containing a sequence corresponding to amino acids 22-105 of human CD3D (NP_000723.1).

    亚型

    IgG
  • 应用备注

    WB,1:500 - 1:2000,IHC,1:50 - 1:100,IF,1:50 - 1:100

    限制

    仅限研究用
  • 状态

    Liquid

    缓冲液

    PBS with 0.02 % sodium azide,50 % glycerol, pH 7.3.

    储存液

    Sodium azide

    注意事项

    This product contains Sodium azide: a POISONOUS AND HAZARDOUS SUBSTANCE which should be handled by trained staff only.

    注意事项

    Avoid freeze / thaw cycles

    储存条件

    -20 °C

    储存方法

    Store at -20°C. Avoid freeze / thaw cycles.
  • 抗原

    CD3D (CD3d Molecule, delta (CD3-TCR Complex) (CD3D))

    别名

    CD3D

    背景

    The protein encoded by this gene is part of the T-cell receptor/CD3 complex (TCR/CD3 complex) and is involved in T-cell development and signal transduction. The encoded membrane protein represents the delta subunit of the CD3 complex, and along with four other CD3 subunits, binds either TCR alpha/beta or TCR gamma/delta to form the TCR/CD3 complex on the surface of T-cells. Defects in this gene are a cause of severe combined immunodeficiency autosomal recessive T-cell-negative/B-cell-positive/NK-cell-positive (SCIDBNK). Two transcript variants encoding different isoforms have been found for this gene. Other variants may also exist, but the full-length natures of their transcripts has yet to be defined.,CD3D,CD3-DELTA,IMD19,T3D,Cancer,Tumor immunology,Tumor-associated antigens,Immunology & Inflammation,CD markers,T Cell Receptor Signaling Pathway,Stem Cells,Hematopoietic Progenitors,CD3D

    分子量

    14 kDa/18 kDa

    基因ID

    915

    UniProt

    P04234

    途径

    TCR Signaling, CXCR4-mediated Signaling Events
You are here: