电话:
+86 (0512) 65829739
传真:
+86 (010) 6788 5057
电子邮件:
orders@antibodies-online.cn

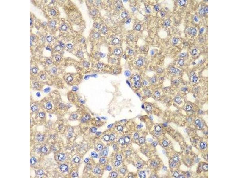
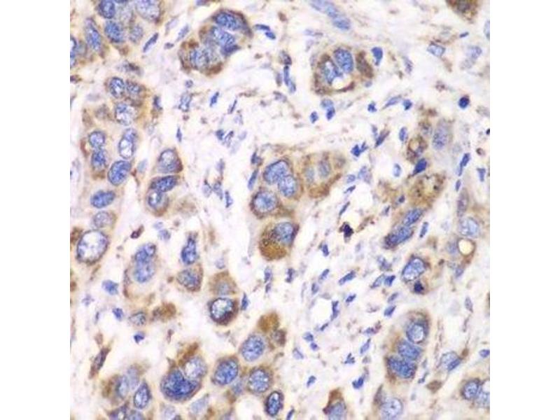
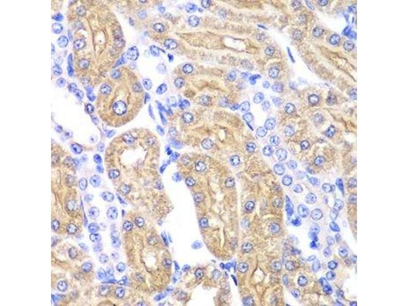
ALDH2 抗体 (AA 1-380)

There are 2+ publications for this product available. The 兔 多克隆 anti-ALDH2 antibody is suitable to detect ALDH2 in samples from 人. It has been validated for WB, IHC 和 IF.
产品编号 ABIN3021779
发货至: 中国
Contact our Customer Service for availability and price in your country. Contact Info

Our Local Distributor

中国
北京 101111
No. 88 KeChuang 6th Street
Beijing Economic Technological Development Area
Room 801-803
4A Biotech Co.,Ltd.
Tel +86 (0512) 65829739 传真 +86 (010) 6788 5057

Quick Overview for ALDH2 抗体 (AA 1-380) (ABIN3021779)

抗原

See all ALDH2 抗体
ALDH2 (Aldehyde Dehydrogenase 2 Family (Mitochondrial) (ALDH2))

适用

  • 88
  • 36
  • 34
  • 3
  • 2
  • 2
  • 1
  • 1
  • 1
  • 1
  • 1

宿主

  • 66
  • 20
  • 2

克隆类型

  • 55
  • 33
多克隆

标记

  • 47
  • 9
  • 3
  • 3
  • 3
  • 3
  • 3
  • 3
  • 3
  • 3
  • 3
  • 3
  • 1
  • 1
This ALDH2 antibody is un-conjugated

应用范围

  • 74
  • 42
  • 34
  • 22
  • 22
  • 22
  • 14
  • 13
  • 2
  • 2
Western Blotting (WB), Immunohistochemistry (IHC), Immunofluorescence (IF)
  • 抗原表位

    • 9
    • 8
    • 8
    • 3
    • 2
    • 2
    • 2
    • 2
    • 1
    • 1
    • 1
    • 1
    • 1
    • 1
    • 1
    • 1
    AA 1-380

    序列

    MLRAAARFGP RLGRRLLSAA ATQAVPAPNQ QPEVFCNQIF INNEWHDAVS RKTFPTVNPS TGEVICQVAE GDKEDVDKAV KAARAAFQLG SPWRRMDASH RGRLLNRLAD LIERDRTYLA ALETLDNGKP YVISYLVDLD MVLKCLRYYA GWADKYHGKT IPIDGDFFSY TRHEPVGVCG QIIPWNFPLL MQAWKLGPAL ATGNVVVMKV AEQTPLTALY VANLIKEAGF PPGVVNIVPG FGPTAGAAIA SHEDVDKVAF TGSTEIGRVI QVAAGSSNLK RVTLELGGKS PNIIMSDADM DWAVEQAHFA LFFNQGQCCC AGSRTFVQED IYDEFVERSV ARAKSRVVGN PFDSKTEQGP QVDETQFKKI LGYINTGKQE

    交叉反应

    人, 小鼠, 大鼠

    产品特性

    Polyclonal Antibodies

    纯化方法

    Affinity purification

    免疫原

    Recombinant fusion protein containing a sequence corresponding to amino acids 1-380 of human ALDH2 (NP_000681.2).

    亚型

    IgG
  • 应用备注

    WB,1:500 - 1:2000,IHC,1:50 - 1:200,IF,1:50 - 1:200

    限制

    仅限研究用
  • 状态

    Liquid

    缓冲液

    PBS with 0.02 % sodium azide,50 % glycerol, pH 7.3.

    储存液

    Sodium azide

    注意事项

    This product contains Sodium azide: a POISONOUS AND HAZARDOUS SUBSTANCE which should be handled by trained staff only.

    注意事项

    Avoid freeze / thaw cycles

    储存条件

    -20 °C

    储存方法

    Store at -20°C. Avoid freeze / thaw cycles.
  • Yan, Lestari, Long, Fan, Wang, Guo, Yu, Hu, Yang, Chen, Liu, Li, Purnomoadi, Achmadi, Yan: "Comparative Proteomics Analysis Reveals L-Arginine Activates Ethanol Degradation Pathways in HepG2 Cells." in: Scientific reports, Vol. 6, pp. 23340, (2017) (PubMed).

    Long, Muhamad, Yan, Yu, Fan, Wang, Li, Purnomoadi, Achmadi, Yan: "Quantitative proteomics analysis reveals glutamine deprivation activates fatty acid β-oxidation pathway in HepG2 cells." in: Amino acids, Vol. 48, Issue 5, pp. 1297-307, (2017) (PubMed).

  • 抗原

    ALDH2 (Aldehyde Dehydrogenase 2 Family (Mitochondrial) (ALDH2))

    别名

    ALDH2

    背景

    This protein belongs to the aldehyde dehydrogenase family of proteins. Aldehyde dehydrogenase is the second enzyme of the major oxidative pathway of alcohol metabolism. Two major liver isoforms of aldehyde dehydrogenase, cytosolic and mitochondrial, can be distinguished by their electrophoretic mobilities, kinetic properties, and subcellular localizations. Most Caucasians have two major isozymes, while approximately 50 % of East Asians have the cytosolic isozyme but not the mitochondrial isozyme. A remarkably higher frequency of acute alcohol intoxication among East Asians than among Caucasians could be related to the absence of a catalytically active form of the mitochondrial isozyme. The increased exposure to acetaldehyde in individuals with the catalytically inactive form may also confer greater susceptibility to many types of cancer. This gene encodes a mitochondrial isoform, which has a low Km for acetaldehydes, and is localized in mitochondrial matrix. Alternative splicing results in multiple transcript variants encoding distinct isoforms.,ALDH2,ALDH-E2,ALDHI,ALDM,Cancer,Signal Transduction,Endocrine & Metabolism,Mitochondrial metabolism,Mitochondrial markers,Cardiovascular,Heart,Cardiac metabolism,ALDH2

    分子量

    50 kDa/56 kDa

    基因ID

    217

    UniProt

    P05091
You are here: