电话:
+86 (0512) 65829739
传真:
+86 (010) 6788 5057
电子邮件:
orders@antibodies-online.cn

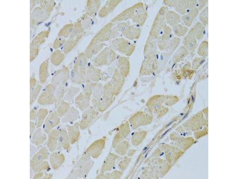
CA3 抗体 (AA 1-260)

The 兔 多克隆 anti-CA3 antibody is suitable to detect CA3 in samples from 人. It has been validated for WB 和 IHC.
产品编号 ABIN3021739
发货至: 中国
Contact our Customer Service for availability and price in your country. Contact Info

Our Local Distributor

中国
北京 101111
No. 88 KeChuang 6th Street
Beijing Economic Technological Development Area
Room 801-803
4A Biotech Co.,Ltd.
Tel +86 (0512) 65829739 传真 +86 (010) 6788 5057

Quick Overview for CA3 抗体 (AA 1-260) (ABIN3021739)

抗原

See all CA3 抗体
CA3 (Carbonic Anhydrase III (CA3))

适用

  • 58
  • 20
  • 18
  • 1
  • 1

宿主

  • 57
  • 9

克隆类型

  • 58
  • 8
多克隆

标记

  • 37
  • 7
  • 5
  • 2
  • 2
  • 2
  • 2
  • 2
  • 2
  • 2
  • 1
  • 1
  • 1
This CA3 antibody is un-conjugated

应用范围

  • 41
  • 24
  • 18
  • 12
  • 8
  • 7
  • 6
  • 4
  • 2
  • 2
  • 1
  • 1
  • 1
  • 1
  • 1
  • 1
Western Blotting (WB), Immunohistochemistry (IHC)
  • 抗原表位

    • 12
    • 10
    • 4
    • 3
    • 2
    • 2
    • 1
    • 1
    • 1
    • 1
    • 1
    • 1
    • 1
    • 1
    • 1
    • 1
    • 1
    • 1
    AA 1-260

    序列

    MAKEWGYASH NGPDHWHELF PNAKGENQSP VELHTKDIRH DPSLQPWSVS YDGGSAKTIL NNGKTCRVVF DDTYDRSMLR GGPLPGPYRL RQFHLHWGSS DDHGSEHTVD GVKYAAELHL VHWNPKYNTF KEALKQRDGI AVIGIFLKIG HENGEFQIFL DALDKIKTKG KEAPFTKFDP SCLFPACRDY WTYQGSFTTP PCEECIVWLL LKEPMTVSSD QMAKLRSLLS SAENEPPVPL VSNWRPPQPI NNRVVRASFK

    交叉反应

    小鼠, 大鼠

    产品特性

    Polyclonal Antibodies

    纯化方法

    Affinity purification

    免疫原

    Recombinant fusion protein containing a sequence corresponding to amino acids 1-260 of human CA3 (NP_005172.1).

    亚型

    IgG
  • 应用备注

    WB,1:500 - 1:2000,IHC,1:50 - 1:200

    限制

    仅限研究用
  • 状态

    Liquid

    缓冲液

    PBS with 0.02 % sodium azide,50 % glycerol, pH 7.3.

    储存液

    Sodium azide

    注意事项

    This product contains Sodium azide: a POISONOUS AND HAZARDOUS SUBSTANCE which should be handled by trained staff only.

    注意事项

    Avoid freeze / thaw cycles

    储存条件

    -20 °C

    储存方法

    Store at -20°C. Avoid freeze / thaw cycles.
  • 抗原

    CA3 (Carbonic Anhydrase III (CA3))

    别名

    CA3

    背景

    Carbonic anhydrase III (CAIII) is a member of a multigene family (at least six separate genes are known) that encodes carbonic anhydrase isozymes. These carbonic anhydrases are a class of metalloenzymes that catalyze the reversible hydration of carbon dioxide and are differentially expressed in a number of cell types. The expression of the CA3 gene is strictly tissue specific and present at high levels in skeletal muscle and much lower levels in cardiac and smooth muscle. A proportion of carriers of Duchenne muscle dystrophy have a higher CA3 level than normal. The gene spans 10.3 kb and contains seven exons and six introns.,CA3,CAIII,Car3,Cell Biology & Developmental Biology,Cardiovascular,Hypoxia,CA3

    分子量

    29 kDa

    基因ID

    761

    UniProt

    P07451
You are here: