电话:
+86 (0512) 65829739
传真:
+86 (010) 6788 5057
电子邮件:
orders@antibodies-online.cn

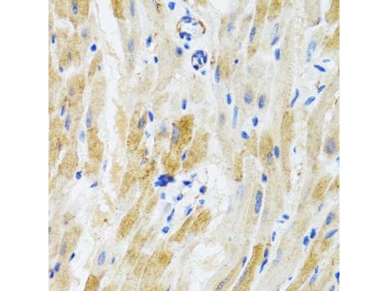
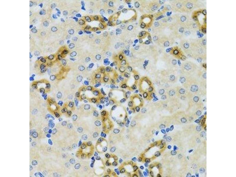
PHPT1 抗体 (AA 1-125)

The 兔 多克隆 anti-PHPT1 antibody is suitable to detect PHPT1 in samples from 人. It has been validated for WB 和 IHC.
产品编号 ABIN3021488
发货至: 中国
Contact our Customer Service for availability and price in your country. Contact Info

Our Local Distributor

中国
北京 101111
No. 88 KeChuang 6th Street
Beijing Economic Technological Development Area
Room 801-803
4A Biotech Co.,Ltd.
Tel +86 (0512) 65829739 传真 +86 (010) 6788 5057

Quick Overview for PHPT1 抗体 (AA 1-125) (ABIN3021488)

抗原

See all PHPT1 抗体
PHPT1 (phosphohistidine Phosphatase 1 (PHPT1))

适用

  • 62
  • 17
  • 7
  • 2
  • 2
  • 1
  • 1
  • 1
  • 1

宿主

  • 65
  • 4

克隆类型

  • 65
  • 4
多克隆

标记

  • 34
  • 10
  • 8
  • 4
  • 3
  • 3
  • 1
  • 1
  • 1
  • 1
  • 1
  • 1
  • 1
This PHPT1 antibody is un-conjugated

应用范围

  • 43
  • 38
  • 24
  • 9
  • 8
  • 8
  • 6
  • 4
  • 2
  • 2
  • 1
  • 1
Western Blotting (WB), Immunohistochemistry (IHC)
  • 抗原表位

    • 16
    • 7
    • 7
    • 4
    • 3
    • 2
    • 1
    • 1
    • 1
    AA 1-125

    序列

    MAVADLALIP DVDIDSDGVF KYVLIRVHSA PRSGAPAAES KEIVRGYKWA EYHADIYDKV SGDMQKQGCD CECLGGGRIS HQSQDKKIHV YGYSMAYGPA QHAISTEKIK AKYPDYEVTW ANDGY

    交叉反应

    人, 小鼠, 大鼠

    产品特性

    Polyclonal Antibodies

    免疫原

    Recombinant fusion protein containing a sequence corresponding to amino acids 1-125 of human PHPT1 (NP_054891.2).

    亚型

    IgG
  • 应用备注

    WB,1:500 - 1:2000,IHC,1:50 - 1:200

    限制

    仅限研究用
  • 状态

    Liquid

    缓冲液

    PBS with 0.02 % sodium azide,50 % glycerol, pH 7.3.

    储存液

    Sodium azide

    注意事项

    This product contains Sodium azide: a POISONOUS AND HAZARDOUS SUBSTANCE which should be handled by trained staff only.

    注意事项

    Avoid freeze / thaw cycles

    储存条件

    -20 °C

    储存方法

    Store at -20°C. Avoid freeze / thaw cycles.
  • 抗原

    PHPT1 (phosphohistidine Phosphatase 1 (PHPT1))

    别名

    PHPT1

    背景

    This gene encodes an enzyme that catalyzes the reversible dephosphorylation of histidine residues in proteins. It may be involved in the dephosphorylation of G-beta and ATP citrate lyase and in negatively regulating CD4 T lymphocytes by dephosphorylation and inhibition of KCa3.1 channels. Alternative splicing results in multiple transcript variants.,PHPT1,CGI-202,HEL-S-132P,HSPC141,PHP,PHP14,PHPT1

    分子量

    13 kDa

    基因ID

    29085

    UniProt

    Q9NRX4

    途径

    Positive Regulation of Peptide Hormone Secretion
You are here: