电话:
+86 (0512) 65829739
传真:
+86 (010) 6788 5057
电子邮件:
orders@antibodies-online.cn

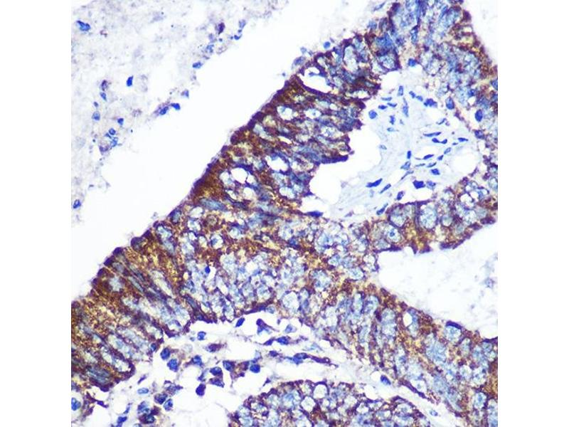
DOK4 抗体 (AA 240-326)

The 兔 多克隆 anti-DOK4 antibody (ABIN3020722) specifically detects DOK4 in WB, IHC 和 IF. The antibody is reactive with 人 samples.
产品编号 ABIN3020722
发货至: 中国
Contact our Customer Service for availability and price in your country. Contact Info

Our Local Distributor

中国
北京 101111
No. 88 KeChuang 6th Street
Beijing Economic Technological Development Area
Room 801-803
4A Biotech Co.,Ltd.
Tel +86 (0512) 65829739 传真 +86 (010) 6788 5057

Quick Overview for DOK4 抗体 (AA 240-326) (ABIN3020722)

抗原

See all DOK4 抗体
DOK4 (Docking Protein 4 (DOK4))

适用

  • 51
  • 19
  • 15
  • 4
  • 3
  • 3
  • 3
  • 3
  • 2
  • 2
  • 1
  • 1
  • 1

宿主

  • 51

克隆类型

  • 51
多克隆

标记

  • 20
  • 4
  • 3
  • 2
  • 2
  • 2
  • 1
  • 1
  • 1
  • 1
  • 1
  • 1
  • 1
  • 1
  • 1
  • 1
  • 1
  • 1
  • 1
  • 1
  • 1
  • 1
  • 1
  • 1
This DOK4 antibody is un-conjugated

应用范围

  • 36
  • 18
  • 17
  • 13
  • 13
  • 9
  • 6
  • 5
  • 4
  • 3
  • 3
  • 2
Western Blotting (WB), Immunohistochemistry (IHC), Immunofluorescence (IF)
  • 抗原表位

    • 15
    • 7
    • 6
    • 5
    • 5
    • 2
    • 1
    • 1
    AA 240-326

    序列

    EMEKNVRLLN KGTEHYSYPC TPTTMLPRSA YWHHITGSQN IAEASSYAGE GYGAAQASSE TDLLNRFILL KPKPSQGDSS EAKTPSQ

    交叉反应

    人, 小鼠, 大鼠

    产品特性

    Polyclonal Antibodies

    纯化方法

    Affinity purification

    免疫原

    Recombinant fusion protein containing a sequence corresponding to amino acids 240-326 of human DOK4 (NP_060580.2).

    亚型

    IgG
  • 应用备注

    WB,1:500 - 1:2000,IHC,1:50 - 1:200,IF,1:50 - 1:200

    限制

    仅限研究用
  • 状态

    Liquid

    缓冲液

    PBS with 0.02 % sodium azide,50 % glycerol, pH 7.3.

    储存液

    Sodium azide

    注意事项

    This product contains Sodium azide: a POISONOUS AND HAZARDOUS SUBSTANCE which should be handled by trained staff only.

    注意事项

    Avoid freeze / thaw cycles

    储存条件

    -20 °C

    储存方法

    Store at -20°C. Avoid freeze / thaw cycles.
  • 抗原

    DOK4 (Docking Protein 4 (DOK4))

    别名

    DOK4

    背景

    DOK proteins are enzymatically inert adaptor or scaffolding proteins. They provide a docking platform for the assembly of multimolecular signaling complexes. DOK4 functions in RET-mediated neurite outgrowth and plays a positive role in activation of the MAP kinase pathway (By similarity). Putative link with downstream effectors of RET in neuronal differentiation. May be involved in the regulation of the immune response induced by T-cells.,DOK4,IRS-5,IRS5,Signal Transduction,Kinase,Tyrosine kinases,Neuroscience,DOK4

    分子量

    37 kDa

    基因ID

    55715

    UniProt

    Q8TEW6
You are here: