ABCC1 抗体
Our Local Distributor
北京 101111
Quick Overview for ABCC1 抗体 (ABIN3017211)
抗原
See all ABCC1 抗体适用
宿主
克隆类型
标记
应用范围
-
-
交叉反应
- 人, 小鼠, 大鼠
-
产品特性
- Polyclonal Antibodies
-
纯化方法
- Affinity purification
-
免疫原
- A synthetic peptide of human MRP1/ABCC1
-
亚型
- IgG
-
-
-
-
应用备注
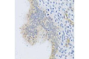
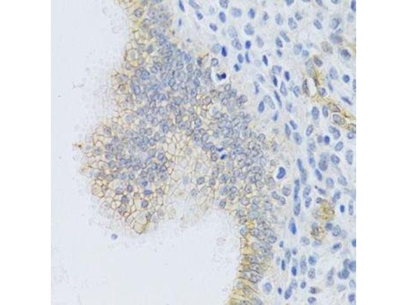
- WB,1:500 - 1:2000,IHC,1:50 - 1:200,IF,1:50 - 1:200
-
限制
- 仅限研究用
-
-
-
缓冲液
- PBS with 0.02 % sodium azide,50 % glycerol, pH 7.3.
-
储存液
- Sodium azide
-
注意事项
- This product contains Sodium azide: a POISONOUS AND HAZARDOUS SUBSTANCE which should be handled by trained staff only.
-
储存条件
- -20 °C
-
储存方法
- Store at -20°C. Avoid freeze / thaw cycles.
-
-
- ABCC1 (ATP-Binding Cassette, Sub-Family C (CFTR/MRP), Member 1 (ABCC1))
-
别名
- ABCC1
-
背景
- The protein encoded by this gene is a member of the superfamily of ATP-binding cassette (ABC) transporters. ABC proteins transport various molecules across extra-and intra-cellular membranes. ABC genes are divided into seven distinct subfamilies (ABC1, MDR/TAP, MRP, ALD, OABP, GCN20, White). This full transporter is a member of the MRP subfamily which is involved in multi-drug resistance. This protein functions as a multispecific organic anion transporter, with oxidized glutatione, cysteinyl leukotrienes, and activated aflatoxin B1 as substrates. This protein also transports glucuronides and sulfate conjugates of steroid hormones and bile salts. Alternatively spliced variants of this gene have been described but their full-length nature is unknown.,ABCC1,ABC29,ABCC,GS-X,MRP,MRP1,Cancer,Drug resistance,MRP-related proteins,Signal Transduction,Endocrine & Metabolism,Drug metabolism,Cardiovascular,Blood,Blood Pressure regulation,Heart,Cardiovascular diseases,Hypertension,Heart disease,ABCC1
-
分子量
- 151-172 kDa
-
基因ID
- 4363
-
UniProt
- P33527
-
途径
- SARS-CoV-2 Protein Interactome
抗原
-