电话:
+86 (0512) 65829739
传真:
+86 (010) 6788 5057
电子邮件:
orders@antibodies-online.cn

PGC 抗体 (AA 100-200)

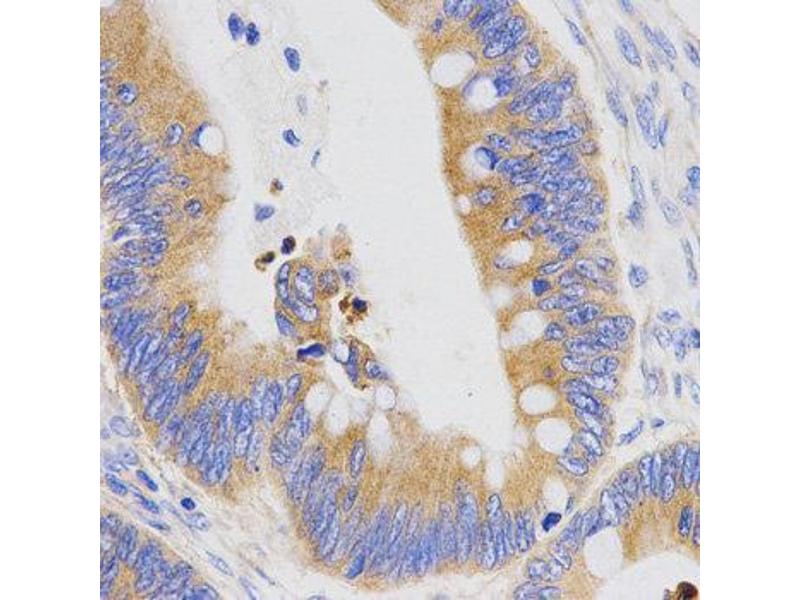
This 兔 多克隆 antibody specifically detects PGC in WB 和 IHC. It exhibits reactivity toward 人.
产品编号 ABIN3016695
发货至: 中国
Contact our Customer Service for availability and price in your country. Contact Info

Our Local Distributor

中国
北京 101111
No. 88 KeChuang 6th Street
Beijing Economic Technological Development Area
Room 801-803
4A Biotech Co.,Ltd.
Tel +86 (0512) 65829739 传真 +86 (010) 6788 5057

Quick Overview for PGC 抗体 (AA 100-200) (ABIN3016695)

抗原

See all PGC 抗体
PGC (Pepsinogen C (PGC))

适用

  • 79
  • 20
  • 13
  • 4
  • 3
  • 3
  • 3
  • 3
  • 3
  • 3
  • 3
  • 3
  • 3
  • 3
  • 3
  • 3
  • 3
  • 3
  • 2
  • 1
  • 1

宿主

  • 69
  • 26
  • 2

克隆类型

  • 73
  • 24
多克隆

标记

  • 38
  • 14
  • 8
  • 7
  • 3
  • 3
  • 3
  • 3
  • 3
  • 3
  • 1
  • 1
  • 1
  • 1
  • 1
  • 1
  • 1
  • 1
  • 1
  • 1
  • 1
  • 1
This PGC antibody is un-conjugated

应用范围

  • 52
  • 28
  • 27
  • 14
  • 13
  • 13
  • 10
  • 6
  • 5
  • 3
  • 3
  • 2
  • 2
  • 2
  • 1
  • 1
Western Blotting (WB), Immunohistochemistry (IHC)
  • 抗原表位

    • 15
    • 6
    • 6
    • 5
    • 5
    • 2
    • 2
    • 1
    • 1
    • 1
    • 1
    • 1
    AA 100-200

    序列

    PSVYCQSQAC TSHSRFNPSE SSTYSTNGQT FSLQYGSGSL TGFFGYDTLT VQSIQVPNQE FGLSENEPGT NFVYAQFDGI MGLAYPALSV DEATTAMQGM V

    交叉反应

    人, 小鼠, 大鼠

    产品特性

    Polyclonal Antibodies

    免疫原

    A synthetic peptide corresponding to a sequence within amino acids 100-200 of human Pepsinogen II (NP_001159896.1).

    亚型

    IgG
  • 应用备注

    WB,1:500 - 1:2000,IHC,1:100 - 1:200

    限制

    仅限研究用
  • 缓冲液

    PBS with 0.02 % sodium azide,50 % glycerol, pH 7.3.

    储存液

    Sodium azide

    注意事项

    This product contains Sodium azide: a POISONOUS AND HAZARDOUS SUBSTANCE which should be handled by trained staff only.

    储存条件

    -20 °C

    储存方法

    Store at -20°C. Avoid freeze / thaw cycles.
  • 抗原

    PGC (Pepsinogen C (PGC))

    别名

    PGC

    背景

    This gene encodes an aspartic proteinase that belongs to the peptidase family A1. The encoded protein is a digestive enzyme that is produced in the stomach and constitutes a major component of the gastric mucosa. This protein is also secreted into the serum. This protein is synthesized as an inactive zymogen that includes a highly basic prosegment. This enzyme is converted into its active mature form at low pH by sequential cleavage of the prosegment that is carried out by the enzyme itself. Polymorphisms in this gene are associated with susceptibility to gastric cancers. Serum levels of this enzyme are used as a biomarker for certain gastric diseases including Helicobacter pylori related gastritis. Alternate splicing results in multiple transcript variants. A pseudogene of this gene is found on chromosome 1.,PGC,PEPC,PGII,gastricsin,Cancer,Tumor biomarkers,Signal Transduction,Endocrine & Metabolism,Amino acid metabolism,PGC

    分子量

    34 kDa/42 kDa

    基因ID

    5225

    UniProt

    P20142
You are here: