电话:
+86 (0512) 65829739
传真:
+86 (010) 6788 5057
电子邮件:
orders@antibodies-online.cn

Cytokeratin 5 抗体

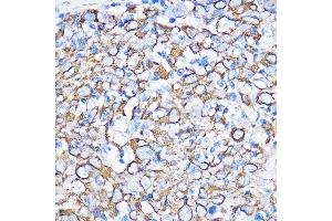
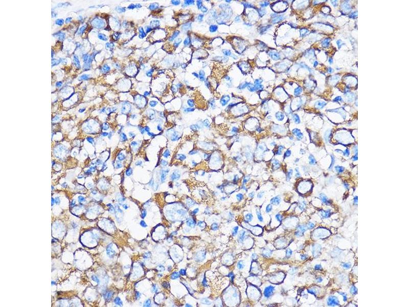
The 兔 多克隆 anti-Cytokeratin 5 antibody is suitable to detect Cytokeratin 5 in samples from 人. It has been validated for WB, IHC, IF 和 IP.
产品编号 ABIN3016405
发货至: 中国
Contact our Customer Service for availability and price in your country. Contact Info

Our Local Distributor

中国
北京 101111
No. 88 KeChuang 6th Street
Beijing Economic Technological Development Area
Room 801-803
4A Biotech Co.,Ltd.
Tel +86 (0512) 65829739 传真 +86 (010) 6788 5057

Quick Overview for Cytokeratin 5 抗体 (ABIN3016405)

抗原

See all Cytokeratin 5 (KRT5) 抗体
Cytokeratin 5 (KRT5) (Keratin 5 (KRT5))

适用

  • 202
  • 103
  • 62
  • 13
  • 11
  • 10
  • 3
  • 3
  • 3
  • 3
  • 3
  • 3
  • 3
  • 2
  • 2
  • 2
  • 2
  • 1
  • 1

宿主

  • 137
  • 74
  • 2

克隆类型

  • 125
  • 88
多克隆

标记

  • 110
  • 17
  • 9
  • 6
  • 6
  • 6
  • 6
  • 6
  • 6
  • 3
  • 3
  • 2
  • 2
  • 2
  • 2
  • 2
  • 2
  • 2
  • 2
  • 2
  • 2
  • 2
  • 2
  • 2
  • 1
  • 1
  • 1
  • 1
  • 1
  • 1
  • 1
  • 1
  • 1
This Cytokeratin 5 antibody is un-conjugated

应用范围

  • 130
  • 120
  • 54
  • 48
  • 39
  • 34
  • 19
  • 14
  • 13
  • 10
  • 9
  • 7
  • 6
  • 5
  • 2
  • 1
  • 1
  • 1
  • 1
Western Blotting (WB), Immunohistochemistry (IHC), Immunofluorescence (IF), Immunoprecipitation (IP)
  • 交叉反应

    人, 小鼠

    产品特性

    Polyclonal Antibodies

    免疫原

    Recombinant protein of human Cytokeratin 5 (Cytokeratin 5 (KRT5))

    亚型

    IgG
  • 应用备注

    WB,1:500 - 1:2000,IHC,1:50 - 1:200,IF,1:50 - 1:200,IP,1:50 - 1:200

    限制

    仅限研究用
  • 缓冲液

    PBS with 0.02 % sodium azide,50 % glycerol, pH 7.3.

    储存液

    Sodium azide

    注意事项

    This product contains Sodium azide: a POISONOUS AND HAZARDOUS SUBSTANCE which should be handled by trained staff only.

    储存条件

    -20 °C

    储存方法

    Store at -20°C. Avoid freeze / thaw cycles.
  • 抗原

    Cytokeratin 5 (KRT5) (Keratin 5 (KRT5))

    别名

    KRT5

    背景

    The protein encoded by this gene is a member of the keratin gene family. The type II cytokeratins consist of basic or neutral proteins which are arranged in pairs of heterotypic keratin chains coexpressed during differentiation of simple and stratified epithelial tissues. This type II cytokeratin is specifically expressed in the basal layer of the epidermis with family member KRT14. Mutations in these genes have been associated with a complex of diseases termed epidermolysis bullosa simplex. The type II cytokeratins are clustered in a region of chromosome 12q12-q13.,KRT5,CK5,DDD,DDD1,EBS2,K5,KRT5A,keratin 5,Signal Transduction,Cell Biology & Developmental Biology,Cytoskeleton,Intermediate Filaments,Extracellular Matrix,Cytokeratin,Keratin,KRT5

    分子量

    62 kDa

    基因ID

    3852

    UniProt

    P13647
You are here: