电话:
+86 (0512) 65829739
传真:
+86 (010) 6788 5057
电子邮件:
orders@antibodies-online.cn

DNASE1 抗体 (AA 22-282)

This 兔 多克隆 antibody specifically detects DNASE1 in WB. It exhibits reactivity toward 人.
产品编号 ABIN3016215
发货至: 中国
Contact our Customer Service for availability and price in your country. Contact Info

Our Local Distributor

中国
北京 101111
No. 88 KeChuang 6th Street
Beijing Economic Technological Development Area
Room 801-803
4A Biotech Co.,Ltd.
Tel +86 (0512) 65829739 传真 +86 (010) 6788 5057

Quick Overview for DNASE1 抗体 (AA 22-282) (ABIN3016215)

抗原

See all DNASE1 抗体
DNASE1 (Deoxyribonuclease I (DNASE1))

适用

  • 57
  • 26
  • 13
  • 12

宿主

  • 57
  • 10
  • 1

克隆类型

  • 60
  • 8
多克隆

标记

  • 31
  • 10
  • 6
  • 4
  • 1
  • 1
  • 1
  • 1
  • 1
  • 1
  • 1
  • 1
  • 1
  • 1
  • 1
  • 1
  • 1
  • 1
  • 1
  • 1
  • 1
This DNASE1 antibody is un-conjugated

应用范围

  • 55
  • 21
  • 15
  • 13
  • 13
  • 8
  • 7
  • 6
  • 5
  • 3
  • 3
  • 2
  • 1
  • 1
  • 1
  • 1
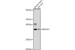
Western Blotting (WB)
  • 抗原表位

    • 15
    • 8
    • 6
    • 4
    • 3
    • 2
    • 2
    • 1
    • 1
    AA 22-282

    序列

    SLKIAAFNIQ TFGETKMSNA TLVSYIVQIL SRYDIALVQE VRDSHLTAVG KLLDNLNQDA PDTYHYVVSE PLGRNSYKER YLFVYRPDQV SAVDSYYYDD GCEPCGNDTF NREPAIVRFF SRFTEVREFA IVPLHAAPGD AVAEIDALYD VYLDVQEKWG LEDVMLMGDF NAGCSYVRPS QWSSIRLWTS PTFQWLIPDS ADTTATPTHC AYDRIVVAGM LLRGAVVPDS ALPFNFQAAY GLSDQLAQAI SDHYPVEVML K

    交叉反应

    人, 小鼠, 大鼠

    产品特性

    Polyclonal Antibodies

    纯化方法

    Affinity purification

    免疫原

    Recombinant fusion protein containing a sequence corresponding to amino acids 22-282 of human DNASE1 (NP_005214.2).

    亚型

    IgG
  • 应用备注

    WB,1:500 - 1:2000

    限制

    仅限研究用
  • 缓冲液

    PBS with 0.02 % sodium azide,50 % glycerol, pH 7.3.

    储存液

    Sodium azide

    注意事项

    This product contains Sodium azide: a POISONOUS AND HAZARDOUS SUBSTANCE which should be handled by trained staff only.

    储存条件

    -20 °C

    储存方法

    Store at -20°C. Avoid freeze / thaw cycles.
  • 抗原

    DNASE1 (Deoxyribonuclease I (DNASE1))

    别名

    DNASE1

    背景

    This gene encodes a member of the DNase family. This protein is stored in the zymogen granules of the nuclear envelope and functions by cleaving DNA in an endonucleolytic manner. At least six autosomal codominant alleles have been characterized, DNASE1*1 through DNASE1*6, and the sequence of DNASE1*2 represented in this record. Mutations in this gene have been associated with systemic lupus erythematosus (SLE), an autoimmune disease. A recombinant form of this protein is used to treat the one of the symptoms of cystic fibrosis by hydrolyzing the extracellular DNA in sputum and reducing its viscosity. Alternate transcriptional splice variants of this gene have been observed but have not been thoroughly characterized.,DNASE1,DNL1,DRNI,Epigenetics & Nuclear Signaling,Cell Biology & Developmental Biology,Apoptosis,Cell Cycle,Endocrine & Metabolism,DNASE1

    分子量

    19 kDa/31 kDa

    基因ID

    1773

    UniProt

    P24855
You are here: