电话:
+86 (0512) 65829739
传真:
+86 (010) 6788 5057
电子邮件:
orders@antibodies-online.cn

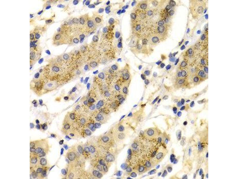
PRG2 抗体 (AA 17-222)

The 兔 多克隆 anti-PRG2 antibody (ABIN3016204) specifically detects PRG2 in WB, IHC 和 IF. The antibody is reactive with 人 samples.
产品编号 ABIN3016204
发货至: 中国
Contact our Customer Service for availability and price in your country. Contact Info

Our Local Distributor

中国
北京 101111
No. 88 KeChuang 6th Street
Beijing Economic Technological Development Area
Room 801-803
4A Biotech Co.,Ltd.
Tel +86 (0512) 65829739 传真 +86 (010) 6788 5057

Quick Overview for PRG2 抗体 (AA 17-222) (ABIN3016204)

抗原

See all PRG2 抗体
PRG2 (Bone Marrow Proteoglycan (PRG2))

适用

  • 46
  • 5
  • 5
  • 2
  • 1

宿主

  • 43
  • 9

克隆类型

  • 45
  • 7
多克隆

标记

  • 15
  • 10
  • 6
  • 3
  • 1
  • 1
  • 1
  • 1
  • 1
  • 1
  • 1
  • 1
  • 1
  • 1
  • 1
  • 1
  • 1
  • 1
  • 1
  • 1
  • 1
  • 1
This PRG2 antibody is un-conjugated

应用范围

  • 38
  • 18
  • 13
  • 13
  • 9
  • 9
  • 7
  • 3
  • 2
  • 1
  • 1
Western Blotting (WB), Immunohistochemistry (IHC), Immunofluorescence (IF)
  • 抗原表位

    • 15
    • 4
    • 4
    • 3
    • 3
    • 3
    • 3
    • 2
    • 2
    • 2
    • 1
    • 1
    • 1
    AA 17-222

    序列

    LHLRSETSTF ETPLGAKTLP EDEETPEQEM EETPCRELEE EEEWGSGSED ASKKDGAVES ISVPDMVDKN LTCPEEEDTV KVVGIPGCQT CRYLLVRSLQ TFSQAWFTCR RCYRGNLVSI HNFNINYRIQ CSVSALNQGQ VWIGGRITGS GRCRRFQWVD GSRWNFAYWA AHQPWSRGGH CVALCTRGGH WRRAHCLRRL PFICSY

    交叉反应

    人, 小鼠, 大鼠

    产品特性

    Polyclonal Antibodies

    免疫原

    Recombinant fusion protein containing a sequence corresponding to amino acids 17-222 of human PRG2 (NP_002719.3).

    亚型

    IgG
  • 应用备注

    WB,1:500 - 1:2000,IHC,1:50 - 1:200,IF,1:50 - 1:200

    限制

    仅限研究用
  • 缓冲液

    PBS with 0.02 % sodium azide,50 % glycerol, pH 7.3.

    储存液

    Sodium azide

    注意事项

    This product contains Sodium azide: a POISONOUS AND HAZARDOUS SUBSTANCE which should be handled by trained staff only.

    储存条件

    -20 °C

    储存方法

    Store at -20°C. Avoid freeze / thaw cycles.
  • 抗原

    PRG2 (Bone Marrow Proteoglycan (PRG2))

    别名

    PRG2

    背景

    The protein encoded by this gene is the predominant constituent of the crystalline core of the eosinophil granule. High levels of the proform of this protein are also present in placenta and pregnancy serum, where it exists as a complex with several other proteins including pregnancy-associated plasma protein A (PAPPA), angiotensinogen (AGT), and C3dg. This protein may be involved in antiparasitic defense mechanisms as a cytotoxin and helminthotoxin, and in immune hypersensitivity reactions. The encoded protein contains a peptide that displays potent antimicrobial activity against Gram-positive bacteria, Gram-negative bacteria, and fungi. It is directly implicated in epithelial cell damage, exfoliation, and bronchospasm in allergic diseases. Alternatively spliced transcript variants encoding different isoforms have been found for this gene.,PRG2,BMPG,MBP,MBP1,proMBP,PRG2

    分子量

    23 kDa/25 kDa

    基因ID

    5553

    UniProt

    P13727
You are here: