电话:
+86 (0512) 65829739
传真:
+86 (010) 6788 5057
电子邮件:
orders@antibodies-online.cn

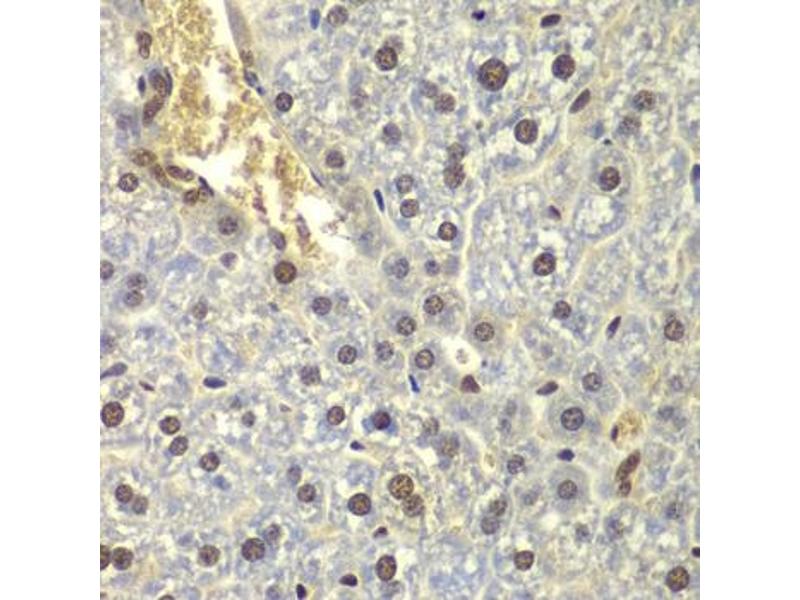
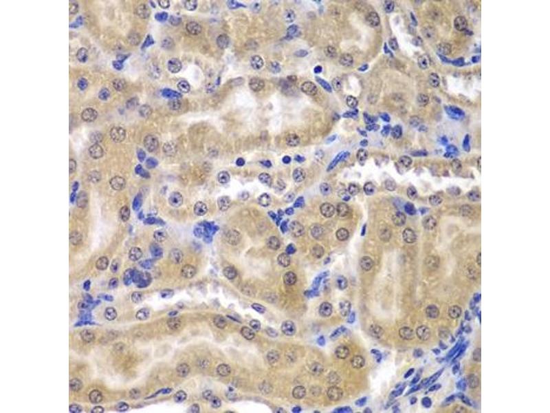
RPL5 抗体 (AA 1-95)

The 兔 多克隆 anti-RPL5 antibody (ABIN3015786) specifically detects RPL5 in WB 和 IHC. The antibody is reactive with 人 samples.
产品编号 ABIN3015786
发货至: 中国
Contact our Customer Service for availability and price in your country. Contact Info

Our Local Distributor

中国
北京 101111
No. 88 KeChuang 6th Street
Beijing Economic Technological Development Area
Room 801-803
4A Biotech Co.,Ltd.
Tel +86 (0512) 65829739 传真 +86 (010) 6788 5057

Quick Overview for RPL5 抗体 (AA 1-95) (ABIN3015786)

抗原

See all RPL5 抗体
RPL5 (Ribosomal Protein L5 (RPL5))

适用

  • 52
  • 20
  • 19
  • 5
  • 4
  • 4
  • 4
  • 4
  • 3
  • 3
  • 3
  • 2
  • 2
  • 2
  • 2
  • 1
  • 1

宿主

  • 52

克隆类型

  • 52
多克隆

标记

  • 23
  • 5
  • 5
  • 4
  • 2
  • 2
  • 2
  • 2
  • 2
  • 2
  • 2
  • 1
This RPL5 antibody is un-conjugated

应用范围

  • 35
  • 25
  • 23
  • 9
  • 3
  • 2
  • 1
  • 1
  • 1
  • 1
Western Blotting (WB), Immunohistochemistry (IHC)
  • 抗原表位

    • 8
    • 6
    • 5
    • 3
    • 2
    • 1
    • 1
    • 1
    • 1
    • 1
    • 1
    • 1
    • 1
    • 1
    AA 1-95

    序列

    MGFVKVVKNK AYFKRYQVKF RRRREGKTDY YARKRLVIQD KNKYNTPKYR MIVRVTNRDI ICQIAYARIE GDMIVCAAYA HELPKYGVKV GLTNY

    交叉反应

    人, 小鼠, 大鼠

    产品特性

    Polyclonal Antibodies

    免疫原

    Recombinant fusion protein containing a sequence corresponding to amino acids 1-95 of human RPL5 (NP_000960.2).

    亚型

    IgG
  • 应用备注

    WB,1:500 - 1:2000,IHC,1:50 - 1:200

    限制

    仅限研究用
  • 缓冲液

    PBS with 0.02 % sodium azide,50 % glycerol, pH 7.3.

    储存液

    Sodium azide

    注意事项

    This product contains Sodium azide: a POISONOUS AND HAZARDOUS SUBSTANCE which should be handled by trained staff only.

    储存条件

    -20 °C

    储存方法

    Store at -20°C. Avoid freeze / thaw cycles.
  • 抗原

    RPL5 (Ribosomal Protein L5 (RPL5))

    别名

    RPL5

    背景

    Ribosomes, the organelles that catalyze protein synthesis, consist of a small 40S subunit and a large 60S subunit. Together these subunits are composed of 4 RNA species and approximately 80 structurally distinct proteins. This gene encodes a ribosomal protein that is a component of the 60S subunit. The protein belongs to the L18P family of ribosomal proteins. It is located in the cytoplasm. The protein binds 5S rRNA to form a stable complex called the 5S ribonucleoprotein particle (RNP), which is necessary for the transport of nonribosome-associated cytoplasmic 5S rRNA to the nucleolus for assembly into ribosomes. The protein interacts specifically with the beta subunit of casein kinase II. Variable expression of this gene in colorectal cancers compared to adjacent normal tissues has been observed, although no correlation between the level of expression and the severity of the disease has been found. This gene is co-transcribed with the small nucleolar RNA gene U21, which is located in its fifth intron. As is typical for genes encoding ribosomal proteins, there are multiple processed pseudogenes of this gene dispersed through the genome.,RPL5,DBA6,L5,MSTP030,PPP1R135,Epigenetics & Nuclear Signaling,RNA Binding,Cancer,Tumor biomarkers,Neuroscience,Neurodegenerative Diseases,RPL5

    分子量

    34 kDa

    基因ID

    6125

    UniProt

    P46777
You are here: