电话:
+86 (0512) 65829739
传真:
+86 (010) 6788 5057
电子邮件:
orders@antibodies-online.cn

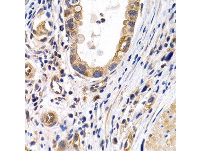
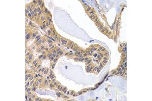
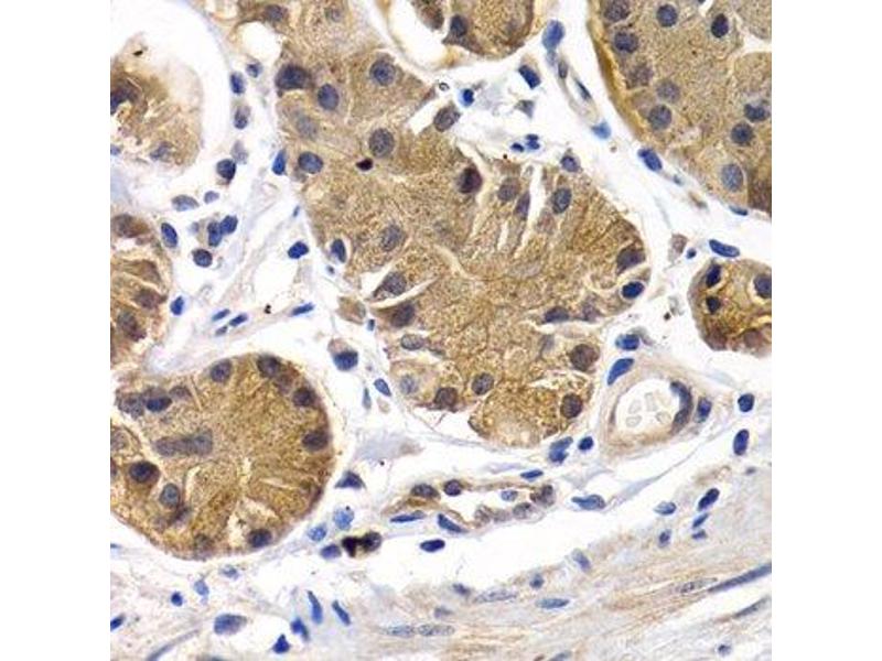
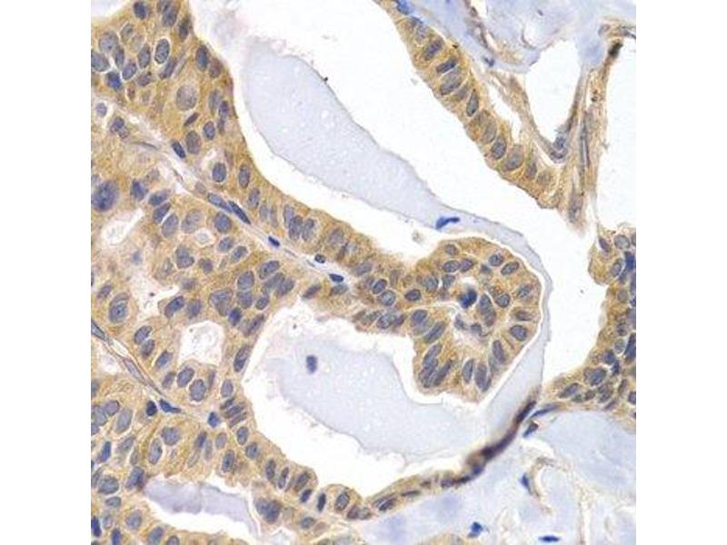
Prostacyclin Receptor 抗体 (AA 207-386)

The 兔 多克隆 anti-Prostacyclin Receptor antibody (ABIN3015619) specifically detects Prostacyclin Receptor in WB 和 IHC. The antibody is reactive with 人 samples.
产品编号 ABIN3015619
发货至: 中国
Contact our Customer Service for availability and price in your country. Contact Info

Our Local Distributor

中国
北京 101111
No. 88 KeChuang 6th Street
Beijing Economic Technological Development Area
Room 801-803
4A Biotech Co.,Ltd.
Tel +86 (0512) 65829739 传真 +86 (010) 6788 5057

Quick Overview for Prostacyclin Receptor 抗体 (AA 207-386) (ABIN3015619)

抗原

See all Prostacyclin Receptor (PTGIR) 抗体
Prostacyclin Receptor (PTGIR)

适用

  • 41
  • 12
  • 5
  • 2
  • 2

宿主

  • 44
  • 3

克隆类型

  • 44
  • 3
多克隆

标记

  • 20
  • 3
  • 3
  • 2
  • 1
  • 1
  • 1
  • 1
  • 1
  • 1
  • 1
  • 1
  • 1
  • 1
  • 1
  • 1
  • 1
  • 1
  • 1
  • 1
  • 1
  • 1
  • 1
This Prostacyclin Receptor antibody is un-conjugated

应用范围

  • 22
  • 16
  • 13
  • 13
  • 12
  • 7
  • 4
  • 3
  • 2
  • 2
  • 1
Western Blotting (WB), Immunohistochemistry (IHC)
  • 抗原表位

    • 15
    • 7
    • 2
    • 2
    • 2
    • 2
    • 2
    • 1
    • 1
    • 1
    • 1
    • 1
    • 1
    • 1
    • 1
    AA 207-386

    序列

    TLSLCRMYRQ QKRHQGSLGP RPRTGEDEVD HLILLALMTV VMAVCSLPLT IRCFTQAVAP DSSSEMGDLL AFRFYAFNPI LDPWVFILFR KAVFQRLKLW VCCLCLGPAH GDSQTPLSQL ASGRRDPRAP SAPVGKEGSC VPLSAWGEGQ VEPLPPTQQS SGSAVGTSSK AEASVACSLC

    交叉反应

    人, 小鼠, 大鼠

    产品特性

    Polyclonal Antibodies

    免疫原

    Recombinant fusion protein containing a sequence corresponding to amino acids 207-386 of human PTGIR (NP_000951.1).

    亚型

    IgG
  • 应用备注

    WB,1:500 - 1:2000,IHC,1:50 - 1:200

    限制

    仅限研究用
  • 缓冲液

    PBS with 0.02 % sodium azide,50 % glycerol, pH 7.3.

    储存液

    Sodium azide

    注意事项

    This product contains Sodium azide: a POISONOUS AND HAZARDOUS SUBSTANCE which should be handled by trained staff only.

    储存条件

    -20 °C

    储存方法

    Store at -20°C. Avoid freeze / thaw cycles.
  • 抗原

    Prostacyclin Receptor (PTGIR)

    别名

    PTGIR

    背景

    The protein encoded by this gene is a member of the G-protein coupled receptor family 1 and has been shown to be a receptor for prostacyclin. Prostacyclin, the major product of cyclooxygenase in macrovascular endothelium, elicits a potent vasodilation and inhibition of platelet aggregation through binding to this receptor.,PTGIR,IP,PRIPR,Signal Transduction,G protein signaling,G-Protein-Coupled Receptors(GPCR),Cardiovascular,PTGIR

    分子量

    40 kDa

    基因ID

    5739

    UniProt

    P43119

    途径

    cAMP Metabolic Process, Platelet-derived growth Factor Receptor Signaling, Thromboxane A2 Receptor Signaling
You are here: