电话:
+86 (0512) 65829739
传真:
+86 (010) 6788 5057
电子邮件:
orders@antibodies-online.cn

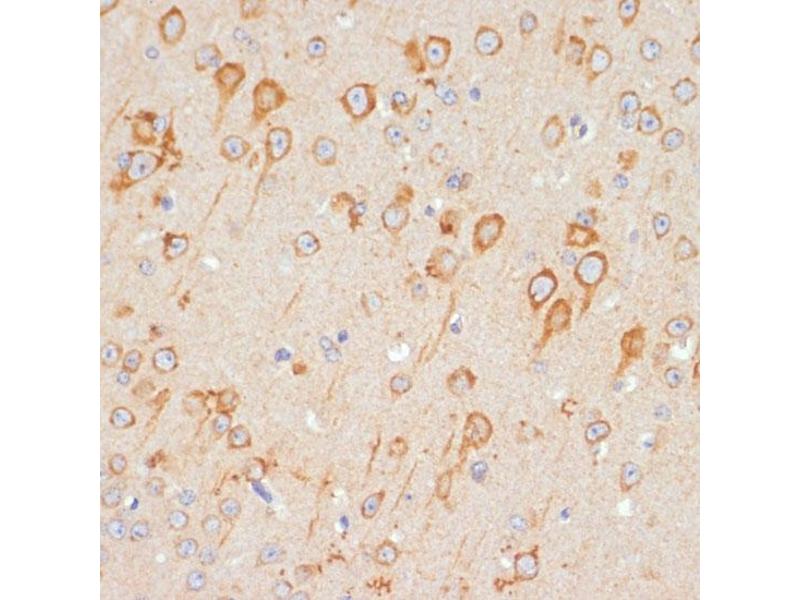
Glutamate Receptor 1 抗体 (AA 19-300)

This 兔 多克隆 antibody specifically detects Glutamate Receptor 1 in WB, IHC 和 IF. It exhibits reactivity toward 人.It has been mentioned in 1 publication
产品编号 ABIN3015589
发货至: 中国
Contact our Customer Service for availability and price in your country. Contact Info

Our Local Distributor

中国
北京 101111
No. 88 KeChuang 6th Street
Beijing Economic Technological Development Area
Room 801-803
4A Biotech Co.,Ltd.
Tel +86 (0512) 65829739 传真 +86 (010) 6788 5057

Quick Overview for Glutamate Receptor 1 抗体 (AA 19-300) (ABIN3015589)

抗原

See all Glutamate Receptor 1 (GLUR1) 抗体
Glutamate Receptor 1 (GLUR1)

适用

  • 145
  • 131
  • 117
  • 7
  • 6
  • 4
  • 4
  • 4
  • 3
  • 2
  • 2
  • 1
  • 1
  • 1

宿主

  • 144
  • 37
  • 6
  • 1
  • 1

克隆类型

  • 116
  • 61
  • 6
多克隆

标记

  • 83
  • 10
  • 5
  • 5
  • 5
  • 5
  • 5
  • 5
  • 5
  • 5
  • 3
  • 3
  • 3
  • 3
  • 3
  • 3
  • 3
  • 3
  • 3
  • 3
  • 3
  • 2
  • 2
  • 2
  • 2
  • 2
  • 1
  • 1
  • 1
  • 1
  • 1
  • 1
  • 1
This Glutamate Receptor 1 antibody is un-conjugated

应用范围

  • 119
  • 66
  • 44
  • 40
  • 40
  • 31
  • 28
  • 12
  • 12
  • 12
  • 4
  • 3
  • 2
  • 2
  • 1
  • 1
Western Blotting (WB), Immunohistochemistry (IHC), Immunofluorescence (IF)
  • 抗原表位

    • 25
    • 20
    • 20
    • 15
    • 15
    • 14
    • 14
    • 12
    • 10
    • 5
    • 5
    • 3
    • 3
    • 2
    • 2
    • 2
    • 2
    • 2
    • 2
    • 1
    • 1
    • 1
    • 1
    • 1
    • 1
    • 1
    • 1
    • 1
    • 1
    AA 19-300

    序列

    ANFPNNIQIG GLFPNQQSQE HAAFRFALSQ LTEPPKLLPQ IDIVNISDSF EMTYRFCSQF SKGVYAIFGF YERRTVNMLT SFCGALHVCF ITPSFPVDTS NQFVLQLRPE LQDALISIID HYKWQKFVYI YDADRGLSVL QKVLDTAAEK NWQVTAVNIL TTTEEGYRML FQDLEKKKER LVVVDCESER LNAILGQIIK LEKNGIGYHY ILANLGFMDI DLNKFKESGA NVTGFQLVNY TDTIPAKIMQ QWKNSDARDH TRVDWKRPKY TSALTYDGVK VM

    交叉反应

    人, 小鼠, 大鼠

    产品特性

    Polyclonal Antibodies

    纯化方法

    Affinity purification

    免疫原

    Recombinant fusion protein containing a sequence corresponding to amino acids 19-300 of human GluR1/GluR1/GRIA1 (NP_000818.2).

    亚型

    IgG
  • 应用备注

    WB,1:500 - 1:2000,IHC,1:50 - 1:200,IF,1:50 - 1:200

    限制

    仅限研究用
  • 缓冲液

    PBS with 0.02 % sodium azide,50 % glycerol, pH 7.3.

    储存液

    Sodium azide

    注意事项

    This product contains Sodium azide: a POISONOUS AND HAZARDOUS SUBSTANCE which should be handled by trained staff only.

    储存条件

    -20 °C

    储存方法

    Store at -20°C. Avoid freeze / thaw cycles.
  • Liu, Feng, Chen, Luo, Yan, Chen, Lin, Ding, Wen: "Dcf1 Triggers Dendritic Spine Formation and Facilitates Memory Acquisition." in: Molecular neurobiology, Vol. 55, Issue 1, pp. 763-775, (2018) (PubMed).

  • 抗原

    Glutamate Receptor 1 (GLUR1)

    别名

    GRIA1

    背景

    Glutamate receptors are the predominant excitatory neurotransmitter receptors in the mammalian brain and are activated in a variety of normal neurophysiologic processes. These receptors are heteromeric protein complexes with multiple subunits, each possessing transmembrane regions, and all arranged to form a ligand-gated ion channel. The classification of glutamate receptors is based on their activation by different pharmacologic agonists. This gene belongs to a family of alpha-amino-3-hydroxy-5-methyl-4-isoxazole propionate (AMPA) receptors. Alternatively spliced transcript variants encoding different isoforms have been found for this gene.,GRIA1,GLUH1,GLUR1,GLURA,GluA1,HBGR1,GluR1,Neuroscience,Neurodegenerative Diseases,Amyloid Plaque and Neurofibrillary Tangle Formation in Alzheimer's Disease,Dopamine Signaling in Parkinson's Disease,GRIA1

    分子量

    92 kDa/93 kDa/101 kDa/102 kDa

    基因ID

    2890

    UniProt

    P42261

    途径

    PI3K-Akt Signaling
You are here: