电话:
+86 (0512) 65829739
传真:
+86 (010) 6788 5057
电子邮件:
orders@antibodies-online.cn

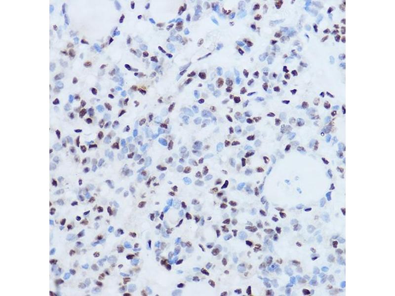
SSB 抗体 (AA 166-408)

This 兔 多克隆 antibody specifically detects SSB in WB, IHC, IF 和 IP. It exhibits reactivity toward 人.
产品编号 ABIN3015265
发货至: 中国
Contact our Customer Service for availability and price in your country. Contact Info

Our Local Distributor

中国
北京 101111
No. 88 KeChuang 6th Street
Beijing Economic Technological Development Area
Room 801-803
4A Biotech Co.,Ltd.
Tel +86 (0512) 65829739 传真 +86 (010) 6788 5057

Quick Overview for SSB 抗体 (AA 166-408) (ABIN3015265)

抗原

See all SSB 抗体
SSB (Sjogren Syndrome Antigen B (SSB))

适用

  • 84
  • 20
  • 17
  • 11
  • 5
  • 5
  • 5
  • 4
  • 4
  • 4
  • 4
  • 2
  • 1
  • 1
  • 1

宿主

  • 73
  • 16
  • 5

克隆类型

  • 80
  • 14
多克隆

标记

  • 54
  • 6
  • 6
  • 5
  • 2
  • 2
  • 2
  • 2
  • 2
  • 2
  • 1
  • 1
  • 1
  • 1
  • 1
  • 1
  • 1
  • 1
  • 1
  • 1
  • 1
This SSB antibody is un-conjugated

应用范围

  • 46
  • 33
  • 23
  • 14
  • 13
  • 13
  • 13
  • 9
  • 9
  • 5
  • 3
  • 2
  • 2
  • 2
  • 1
  • 1
Western Blotting (WB), Immunohistochemistry (IHC), Immunofluorescence (IF), Immunoprecipitation (IP)
  • 抗原表位

    • 15
    • 9
    • 9
    • 3
    • 3
    • 2
    • 2
    • 2
    • 2
    • 1
    • 1
    • 1
    • 1
    • 1
    • 1
    • 1
    • 1
    • 1
    • 1
    AA 166-408

    序列

    KFVETPGQKY KETDLLILFK DDYFAKKNEE RKQNKVEAKL RAKQEQEAKQ KLEEDAEMKS LEEKIGCLLK FSGDLDDQTC REDLHILFSN HGEIKWIDFV RGAKEGIILF KEKAKEALGK AKDANNGNLQ LRNKEVTWEV LEGEVEKEAL KKIIEDQQES LNKWKSKGRR FKGKGKGNKA AQPGSGKGKV QFQGKKTKFA SDDEHDEHDE NGATGPVKRA REETDKEEPA SKQQKTENGA GDQ

    交叉反应

    产品特性

    Polyclonal Antibodies

    纯化方法

    Affinity purification

    免疫原

    Recombinant fusion protein containing a sequence corresponding to amino acids 166-408 of human SSB (NP_003133.1).

    亚型

    IgG
  • 应用备注

    WB,1:500 - 1:1000,IHC,1:50 - 1:200,IF,1:50 - 1:200,IP,1:50 - 1:200

    限制

    仅限研究用
  • 缓冲液

    PBS with 0.02 % sodium azide,50 % glycerol, pH 7.3.

    储存液

    Sodium azide

    注意事项

    This product contains Sodium azide: a POISONOUS AND HAZARDOUS SUBSTANCE which should be handled by trained staff only.

    储存条件

    -20 °C

    储存方法

    Store at -20°C. Avoid freeze / thaw cycles.
  • 抗原

    SSB (Sjogren Syndrome Antigen B (SSB))

    别名

    SSB

    背景

    The protein encoded by this gene is involved in diverse aspects of RNA metabolism, including binding and protecting poly(U) termini of nascent RNA polymerase III transcripts from exonuclease digestion, processing 5' and 3' ends of pre-tRNA precursors, acting as an RNA chaperone, and binding viral RNAs associated with hepatitis C virus. Autoantibodies reacting with this protein are found in the sera of patients with Sjogren syndrome and systemic lupus erythematosus. Alternative promoter usage results in two different transcript variants which encode the same protein.,SSB,LARP3,La,La/SSB,Epigenetics & Nuclear Signaling,RNA Binding,Immunology & Inflammation,SSB

    分子量

    46 kDa

    基因ID

    6741

    UniProt

    P05455
You are here: