电话:
+86 (0512) 65829739
传真:
+86 (010) 6788 5057
电子邮件:
orders@antibodies-online.cn

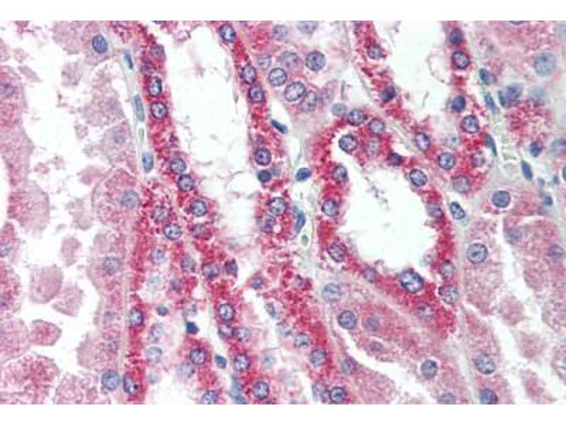
SIK2 抗体 (AA 100-150)

The 兔 多克隆 anti-SIK2 antibody (ABIN297633) specifically detects SIK2 in WB, IHC 和 IHC (p). The antibody is reactive with 人, 小鼠, 大鼠, Cow 和 犬 samples.
产品编号 ABIN297633
发货至: 中国
Contact our Customer Service for availability and price in your country. Contact Info

Our Local Distributor

中国
北京 101111
No. 88 KeChuang 6th Street
Beijing Economic Technological Development Area
Room 801-803
4A Biotech Co.,Ltd.
Tel +86 (0512) 65829739 传真 +86 (010) 6788 5057

Quick Overview for SIK2 抗体 (AA 100-150) (ABIN297633)

抗原

See all SIK2 抗体
SIK2 (Salt-Inducible Kinase 2 (SIK2))

适用

  • 30
  • 17
  • 6
  • 2
  • 2
  • 2
  • 1
  • 1
  • 1
人, 小鼠, 大鼠, Cow, 犬

宿主

  • 31
  • 7
  • 2

克隆类型

  • 34
  • 6
多克隆

标记

  • 30
  • 2
  • 2
  • 2
  • 2
  • 2
This SIK2 antibody is un-conjugated

应用范围

  • 39
  • 22
  • 8
  • 7
  • 6
  • 5
  • 2
  • 2
  • 1
  • 1
  • 1
  • 1
Western Blotting (WB), Immunohistochemistry (IHC), Immunohistochemistry (Paraffin-embedded Sections) (IHC (p))
  • 抗原表位

    • 7
    • 7
    • 3
    • 2
    • 2
    • 2
    • 2
    • 2
    • 1
    • 1
    • 1
    • 1
    • 1
    • 1
    • 1
    • 1
    • 1
    • 1
    • 1
    • 1
    AA 100-150

    特异性

    Human SIK2 is a 926 amino acid protein. The approximately 120 kD band is higher than the theoretical expected size, but this band, as well as the approximately 25 kD lower band, are blocked by immunizing peptide.

    纯化方法

    Protein G purified

    免疫原

    A portion of amino acids 100-150 of human SIK2.

    Type of Immunogen: Protein fragment
  • 应用备注

    Approved: IHC, IHC-P (10 μg/mL), WB (1 - 3 μg/mL)

    Usage: Immunohistochemistry: This antibody was validated for use in immunohistochemistry on a panel of 21 formalin-fixed, paraffin-embedded (FFPE) human tissues after heat induced antigen retrieval in  pH 6.0 citrate buffer. After incubation with the primary antibody, slides were incubated with biotinylated secondary antibody, followed by alkaline phosphatase-streptavidin and chromogen. The stained slides were evaluated by a pathologist to confirm staining specificity. The optimal working concentration for this antibody was determined to be 10 μg/mL.

    说明

    Target Species of Antibody: Human

    限制

    仅限研究用
  • 状态

    Liquid

    浓度

    Lot specific

    缓冲液

    PBS, 0.05 % BSA, 0.05 % sodium azide

    储存液

    Sodium azide

    注意事项

    This product contains Sodium azide: a POISONOUS AND HAZARDOUS SUBSTANCE which should be handled by trained staff only.

    注意事项

    avoid freeze thaw cycles.

    储存条件

    4 °C,-20 °C

    储存方法

    Short term 4°C, long term aliquot and store at -20°C, avoid freeze-thaw cycles.
  • 抗原

    SIK2 (Salt-Inducible Kinase 2 (SIK2))

    别名

    SIK2 / SNF1LK2

    背景

    Name/Gene ID: SIK2
    Subfamily: CAMKL
    Family: Protein Kinase

    Synonyms: SIK2, KIAA0781, LOH11CR1I, SNF1LK2, QIK, Qin-induced kinase, Salt-inducible kinase 2, SIK-2, SNF1-like kinase 2

    基因ID

    23235

    UniProt

    Q9H0K1
You are here: