电话:
+86 (0512) 65829739
传真:
+86 (010) 6788 5057
电子邮件:
orders@antibodies-online.cn

RSRC1 抗体

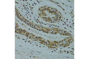
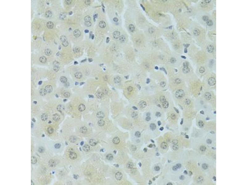
The 兔 多克隆 anti-RSRC1 antibody is suitable to detect RSRC1 in samples from 人, 小鼠 和 大鼠. It has been validated for WB, IHC 和 IF/ICC.
产品编号 ABIN2970637
发货至: 中国
Contact our Customer Service for availability and price in your country. Contact Info

Our Local Distributor

中国
北京 101111
No. 88 KeChuang 6th Street
Beijing Economic Technological Development Area
Room 801-803
4A Biotech Co.,Ltd.
Tel +86 (0512) 65829739 传真 +86 (010) 6788 5057

Quick Overview for RSRC1 抗体 (ABIN2970637)

抗原

See all RSRC1 抗体
RSRC1 (arginine/serine-Rich Coiled-Coil 1 (RSRC1))

适用

  • 7
  • 4
  • 4
  • 2
  • 1
  • 1
  • 1
人, 小鼠, 大鼠

宿主

  • 7

克隆类型

  • 7
多克隆

标记

  • 7
This RSRC1 antibody is un-conjugated

应用范围

  • 7
  • 2
  • 2
  • 2
  • 1
  • 1
Western Blotting (WB), Immunohistochemistry (IHC), Immunofluorescence (fixed cells) (IF/ICC)
  • 纯化方法

    Affinity purified

    免疫原

    Recombinant protein of human RSRC1.

    亚型

    IgG
  • 应用备注

    Optimal working dilution should be determined by the investigator.

    限制

    仅限研究用
  • 状态

    Liquid

    浓度

    Lot specific

    缓冲液

    PBS,  pH 7.3, 0.02 % sodium azide, 50 % glycerol.

    储存液

    Sodium azide

    注意事项

    This product contains Sodium azide: a POISONOUS AND HAZARDOUS SUBSTANCE which should be handled by trained staff only.

    储存条件

    -20 °C

    储存方法

    Aliquot and store at -20 °C. Avoid repeated freeze/thaw cycles.
  • 抗原

    RSRC1 (arginine/serine-Rich Coiled-Coil 1 (RSRC1))

    别名

    RSRC1

    分子量

    Calculated MW: 31 kDa/38 kDa
    Observed MW: 39 kDa

    基因ID

    51319

    UniProt

    Q96IZ7
You are here: