电话:
+86 (0512) 65829739
传真:
+86 (010) 6788 5057
电子邮件:
orders@antibodies-online.cn

NAT5 抗体

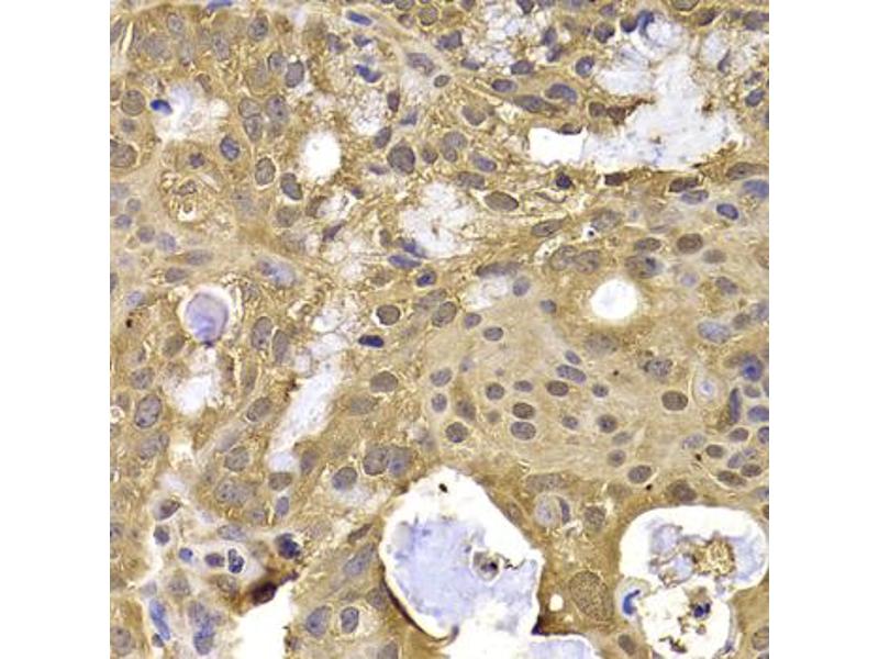
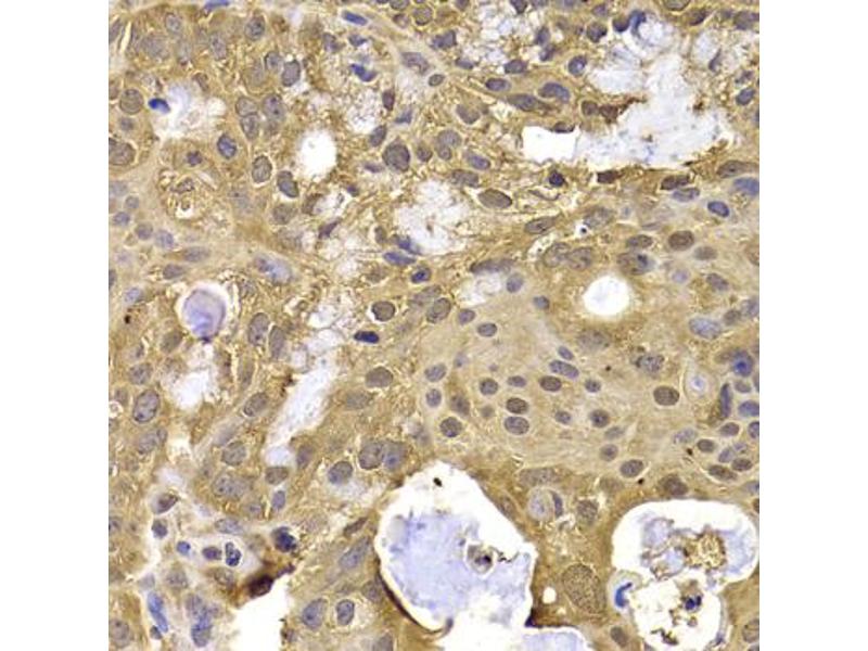
The 兔 多克隆 anti-NAT5 antibody is suitable to detect NAT5 in samples from 人, 大鼠 和 小鼠. It has been validated for WB, IP, IHC 和 IF/ICC.
产品编号 ABIN2970444
发货至: 中国
Contact our Customer Service for availability and price in your country. Contact Info

Our Local Distributor

中国
北京 101111
No. 88 KeChuang 6th Street
Beijing Economic Technological Development Area
Room 801-803
4A Biotech Co.,Ltd.
Tel +86 (0512) 65829739 传真 +86 (010) 6788 5057

Quick Overview for NAT5 抗体 (ABIN2970444)

抗原

See all NAT5 抗体
NAT5 (N-Acetyltransferase 5 (NAT5))

适用

人, 大鼠, 小鼠

宿主

  • 17
  • 2

克隆类型

  • 17
  • 2
多克隆

标记

  • 14
  • 1
  • 1
  • 1
  • 1
  • 1
This NAT5 antibody is un-conjugated

应用范围

  • 19
  • 12
  • 5
  • 3
  • 1
  • 1
Western Blotting (WB), Immunoprecipitation (IP), Immunohistochemistry (IHC), Immunofluorescence (fixed cells) (IF/ICC)
You are here: