电话:
+86 (0512) 65829739
传真:
+86 (010) 6788 5057
电子邮件:
orders@antibodies-online.cn

GIP 抗体

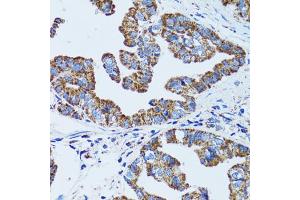
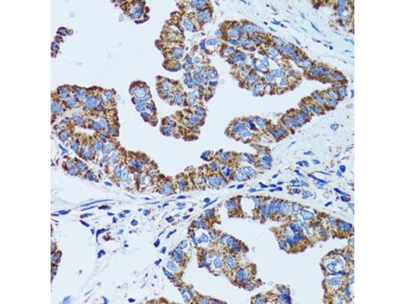
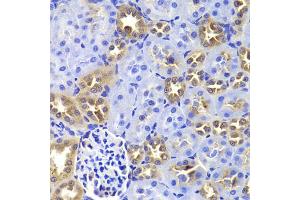
The 兔 多克隆 anti-GIP antibody is suitable to detect GIP in samples from 人, 大鼠 和 小鼠. It has been validated for WB, IHC 和 IF/ICC.
产品编号 ABIN2968802
发货至: 中国
Contact our Customer Service for availability and price in your country. Contact Info

Our Local Distributor

中国
北京 101111
No. 88 KeChuang 6th Street
Beijing Economic Technological Development Area
Room 801-803
4A Biotech Co.,Ltd.
Tel +86 (0512) 65829739 传真 +86 (010) 6788 5057

Quick Overview for GIP 抗体 (ABIN2968802)

抗原

See all GIP 抗体
GIP (Gastric Inhibitory Polypeptide (GIP))

适用

  • 38
  • 29
  • 25
  • 3
  • 3
  • 1
  • 1
  • 1
  • 1
  • 1
人, 大鼠, 小鼠

宿主

  • 53
  • 11

克隆类型

  • 53
  • 11
多克隆

标记

  • 33
  • 4
  • 2
  • 2
  • 2
  • 2
  • 2
  • 2
  • 2
  • 2
  • 1
  • 1
  • 1
  • 1
  • 1
  • 1
  • 1
  • 1
  • 1
  • 1
  • 1
This GIP antibody is un-conjugated

应用范围

  • 37
  • 24
  • 15
  • 13
  • 13
  • 11
  • 10
  • 5
  • 3
  • 2
  • 2
  • 1
  • 1
  • 1
  • 1
  • 1
  • 1
  • 1
Western Blotting (WB), Immunohistochemistry (IHC), Immunofluorescence (fixed cells) (IF/ICC)
You are here: