电话:
+86 (0512) 65829739
传真:
+86 (010) 6788 5057
电子邮件:
orders@antibodies-online.cn

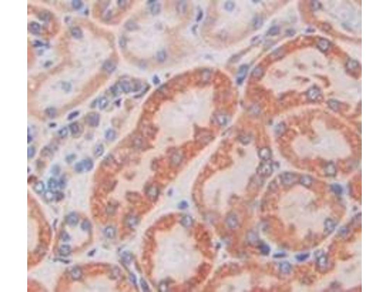
M6PR 抗体 (AA 27-185)

The 兔 多克隆 anti-M6PR antibody (ABIN2938378) specifically detects M6PR in WB, IHC, IP 和 IF/ICC. The antibody is reactive with 人 samples.
产品编号 ABIN2938378
发货至: 中国
Contact our Customer Service for availability and price in your country. Contact Info

Our Local Distributor

中国
北京 101111
No. 88 KeChuang 6th Street
Beijing Economic Technological Development Area
Room 801-803
4A Biotech Co.,Ltd.
Tel +86 (0512) 65829739 传真 +86 (010) 6788 5057

Quick Overview for M6PR 抗体 (AA 27-185) (ABIN2938378)

抗原

See all M6PR 抗体
M6PR (Mannose-6-Phosphate Receptor (Cation Dependent) (M6PR))

适用

  • 62
  • 36
  • 33
  • 2
  • 2
  • 2
  • 2
  • 1
  • 1

宿主

  • 55
  • 7
  • 1
  • 1

克隆类型

  • 32
  • 32
多克隆

标记

  • 24
  • 6
  • 4
  • 4
  • 4
  • 4
  • 4
  • 4
  • 3
  • 3
  • 2
  • 2
This M6PR antibody is un-conjugated

应用范围

  • 40
  • 26
  • 24
  • 23
  • 19
  • 18
  • 12
  • 2
  • 2
  • 1
Western Blotting (WB), Immunohistochemistry (IHC), Immunoprecipitation (IP), Immunofluorescence (fixed cells) (IF/ICC)
You are here: