电话:
+86 (0512) 65829739
传真:
+86 (010) 6788 5057
电子邮件:
orders@antibodies-online.cn

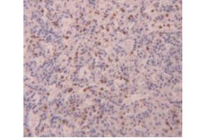
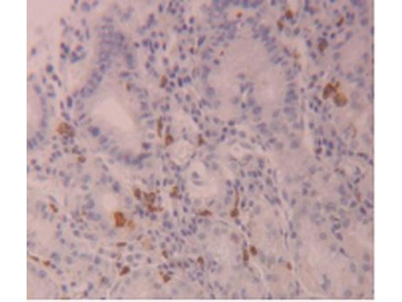
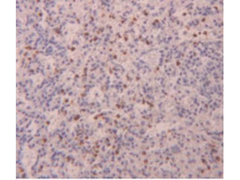
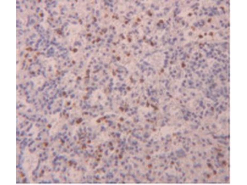
FLG2 抗体 (AA 1222-1368)

This 兔 多克隆 antibody specifically detects FLG2 in WB, IHC, IP 和 IF/ICC. It exhibits reactivity toward 人.
产品编号 ABIN2929373
发货至: 中国
Contact our Customer Service for availability and price in your country. Contact Info

Our Local Distributor

中国
北京 101111
No. 88 KeChuang 6th Street
Beijing Economic Technological Development Area
Room 801-803
4A Biotech Co.,Ltd.
Tel +86 (0512) 65829739 传真 +86 (010) 6788 5057

Quick Overview for FLG2 抗体 (AA 1222-1368) (ABIN2929373)

抗原

FLG2 (Filaggrin Family Member 2 (FLG2))

适用

  • 9
  • 1

宿主

  • 9

克隆类型

  • 9
多克隆

标记

  • 5
  • 3
  • 1
This FLG2 antibody is un-conjugated

应用范围

  • 9
  • 5
  • 3
  • 2
  • 1
  • 1
  • 1
Western Blotting (WB), Immunohistochemistry (IHC), Immunoprecipitation (IP), Immunofluorescence (fixed cells) (IF/ICC)
  • 抗原表位

    • 3
    • 1
    • 1
    • 1
    AA 1222-1368

    纯化方法

    Antigen-specific affinity chromatography followed by Protein A affinity chromatography

    免疫原

    FLG2 (Glu1222-Gln1368)
  • 应用备注

    Optimal working dilution should be determined by the investigator.

    说明

    The stability of the kit is determined by the rate of activity loss. The loss rate is less than 5% within the expiration date under appropriate storage conditions. To minimize performance fluctuations, operation procedures and lab conditions should be strictly controlled. It is also strongly suggested that the whole assay is performed by the same user throughout.

    限制

    仅限研究用
  • 状态

    Liquid

    浓度

    500 μg/mL

    缓冲液

    PBS,  pH 7.4, containing 0.02 % Sodium azide, 50 % glycerol.

    储存液

    Sodium azide

    注意事项

    This product contains Sodium azide: a POISONOUS AND HAZARDOUS SUBSTANCE which should be handled by trained staff only.

    储存条件

    4 °C,-20 °C

    储存方法

    Store at 4 °C for frequent use. Aliquot and store at -20 °C for one year. Avoid repeated freeze/thaw cycles.
  • 抗原

    FLG2 (Filaggrin Family Member 2 (FLG2))

    别名

    Filaggrin 2
You are here: