电话:
+86 (0512) 65829739
传真:
+86 (010) 6788 5057
电子邮件:
orders@antibodies-online.cn

Hemagglutinin 抗体 (AA 128-143)

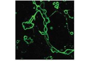
The 兔 多克隆 anti-Hemagglutinin antibody (ABIN292416) specifically detects Hemagglutinin in WB 和 ICC. The antibody is reactive with Influenza A Virus samples.
产品编号 ABIN292416
发货至: 中国
Contact our Customer Service for availability and price in your country. Contact Info

Our Local Distributor

中国
北京 101111
No. 88 KeChuang 6th Street
Beijing Economic Technological Development Area
Room 801-803
4A Biotech Co.,Ltd.
Tel +86 (0512) 65829739 传真 +86 (010) 6788 5057

Quick Overview for Hemagglutinin 抗体 (AA 128-143) (ABIN292416)

抗原

See all Hemagglutinin (HA) 抗体
Hemagglutinin (HA)

适用

  • 80
  • 65
  • 61
  • 60
  • 26
  • 24
  • 16
  • 15
  • 13
  • 8
  • 7
  • 6
  • 5
  • 5
  • 4
  • 3
  • 3
  • 3
  • 3
  • 3
  • 3
  • 2
  • 2
  • 2
  • 1
  • 1
  • 1
  • 1
  • 1
  • 1
Influenza A Virus

宿主

  • 206
  • 156
  • 9
  • 5
  • 3

克隆类型

  • 211
  • 163
  • 2
多克隆

标记

  • 287
  • 13
  • 12
  • 10
  • 4
  • 4
  • 4
  • 4
  • 4
  • 4
  • 4
  • 4
  • 4
  • 4
  • 4
  • 4
  • 2
  • 2
  • 2
  • 1
  • 1
  • 1
This Hemagglutinin antibody is un-conjugated

应用范围

  • 273
  • 224
  • 124
  • 123
  • 54
  • 53
  • 51
  • 29
  • 15
  • 14
  • 12
  • 12
  • 11
  • 10
  • 9
  • 6
  • 4
  • 3
  • 3
  • 2
  • 2
  • 2
  • 1
  • 1
  • 1
  • 1
  • 1
  • 1
Western Blotting (WB), Immunocytochemistry (ICC)
You are here: