电话:
+86 (0512) 65829739
传真:
+86 (010) 6788 5057
电子邮件:
orders@antibodies-online.cn

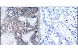
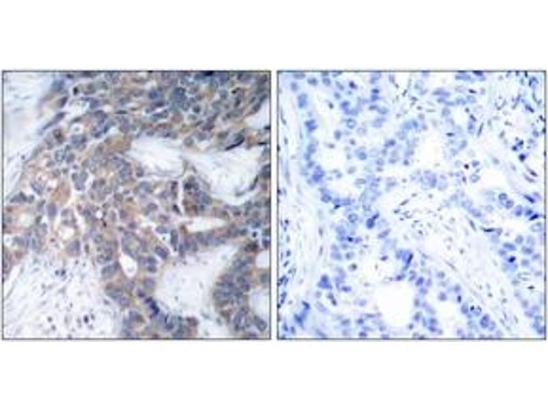
MEK1 + MEK2 抗体 (pSer217)

The 兔 多克隆 anti-MEK1 + MEK2 antibody is suitable to detect MEK1 + MEK2 in samples from 人, 小鼠 和 大鼠. It has been validated for WB, IHC, IHC (p) 和 ELISA.
产品编号 ABIN2888468
发货至: 中国
Contact our Customer Service for availability and price in your country. Contact Info

Our Local Distributor

中国
北京 101111
No. 88 KeChuang 6th Street
Beijing Economic Technological Development Area
Room 801-803
4A Biotech Co.,Ltd.
Tel +86 (0512) 65829739 传真 +86 (010) 6788 5057

Quick Overview for MEK1 + MEK2 抗体 (pSer217) (ABIN2888468)

抗原

MEK1 + MEK2

适用

  • 30
  • 22
  • 22
  • 4
  • 4
  • 3
  • 2
  • 1
  • 1
  • 1
  • 1
人, 小鼠, 大鼠

宿主

  • 29
  • 1

克隆类型

  • 28
  • 2
多克隆

标记

  • 23
  • 1
  • 1
  • 1
  • 1
  • 1
  • 1
  • 1
This MEK1 + MEK2 antibody is un-conjugated

应用范围

  • 22
  • 13
  • 9
  • 5
  • 4
  • 3
  • 2
  • 1
Western Blotting (WB), Immunohistochemistry (IHC), Immunohistochemistry (Paraffin-embedded Sections) (IHC (p)), ELISA
  • 抗原表位

    • 11
    • 10
    • 3
    • 3
    • 2
    • 2
    • 1
    • 1
    • 1
    • 1
    • 1
    • 1
    • 1
    • 1
    • 1
    • 1
    pSer217

    特异性

    MEK1/2 (Phospho-Ser217) Antibody detects endogenous levels of MEK1/2 only when phosphorylated at serine217.

    纯化方法

    Immunoaffinity purified

    免疫原

    Synthetic peptide from human MEK1/2 around the phosphorylation site of Ser217.

    Type of Immunogen: Synthetic peptide

    亚型

    IgG
  • 应用备注

    Approved: IHC, IHC-P (1:50 - 1:100), Peptide-ELISA (1:4000), WB (1:500 - 1:1000)

    说明

    Target Species of Antibody: Human

    限制

    仅限研究用
  • 状态

    Liquid

    浓度

    Lot specific

    缓冲液

    PBS (without Mg2+, Ca2+),  pH 7.4, 150 mM sodium chloride, 0.02 % sodium azide, 50 % glycerol

    储存液

    Sodium azide

    注意事项

    This product contains Sodium azide: a POISONOUS AND HAZARDOUS SUBSTANCE which should be handled by trained staff only.

    储存条件

    -20 °C

    储存方法

    Store at -20°C for up to 1 year.

    有效期

    12 months
  • 抗原

    MEK1 + MEK2

    别名

    MEK1 + MEK2

    背景

    This antibody detects: MEK1 + MEK2
You are here: