CGB 抗体 (AA 101-150)
Our Local Distributor
北京 101111
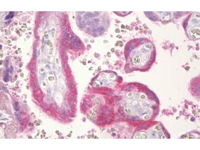
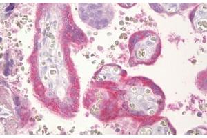
Quick Overview for CGB 抗体 (AA 101-150) (ABIN2878899)
抗原
See all CGB 抗体适用
宿主
克隆类型
标记
应用范围
-
-
抗原表位
- AA 101-150
-
特异性
- HCG beta Antibody detects endogenous levels of total hCG beta protein.
-
纯化方法
- Immunoaffinity purified
-
免疫原
-
Synthetic peptide from human hCG beta (aa101-150).
Type of Immunogen: Synthetic peptide -
亚型
- IgG
-
-
-
-
应用备注
- Approved: IHC, IHC-P (1:100), Peptide-ELISA (1:10000), WB (1:500 - 1:1000)
-
说明
-
Target Species of Antibody: Human
-
限制
- 仅限研究用
-
-
-
状态
- Liquid
-
浓度
- Lot specific
-
缓冲液
- PBS (without Mg2+, Ca2+), pH 7.4, 150 mM sodium chloride, 0.02 % sodium azide, 50 % glycerol
-
储存液
- Sodium azide
-
注意事项
- This product contains Sodium azide: a POISONOUS AND HAZARDOUS SUBSTANCE which should be handled by trained staff only.
-
注意事项
- avoid freeze thaw cycles.
-
储存条件
- 4 °C,-20 °C
-
储存方法
- Short term 4°C, long term aliquot and store at -20°C, avoid freeze-thaw cycles.
-
-
- CGB (Chorionic Gonadotropin, beta Polypeptide (CGB))
-
别名
- CGB / hCG beta
-
背景
-
Name/Gene ID: CGB
Synonyms: CGB, CGB3, CG-beta, Choriogonadotropin beta chain, HCGB, hCG Beta -
基因ID
- 1082
-
UniProt
- Q6NT52
抗原
-