电话:
+86 (0512) 65829739
传真:
+86 (010) 6788 5057
电子邮件:
orders@antibodies-online.cn

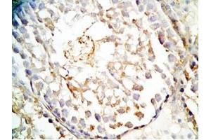
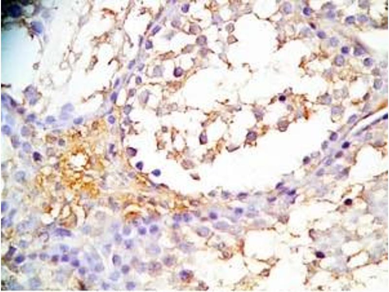
INSL6 抗体 (Preproprotein)

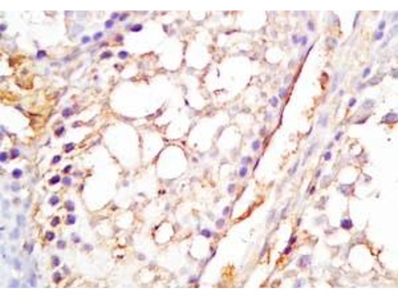
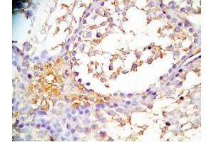
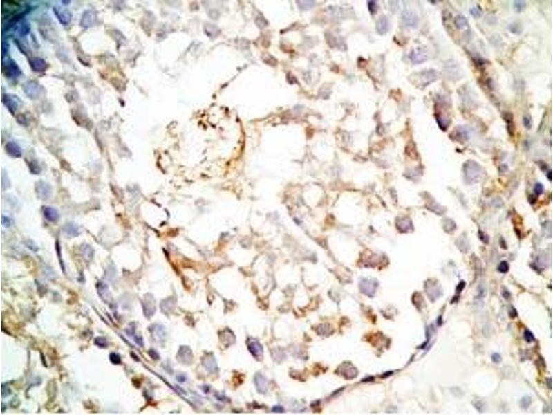
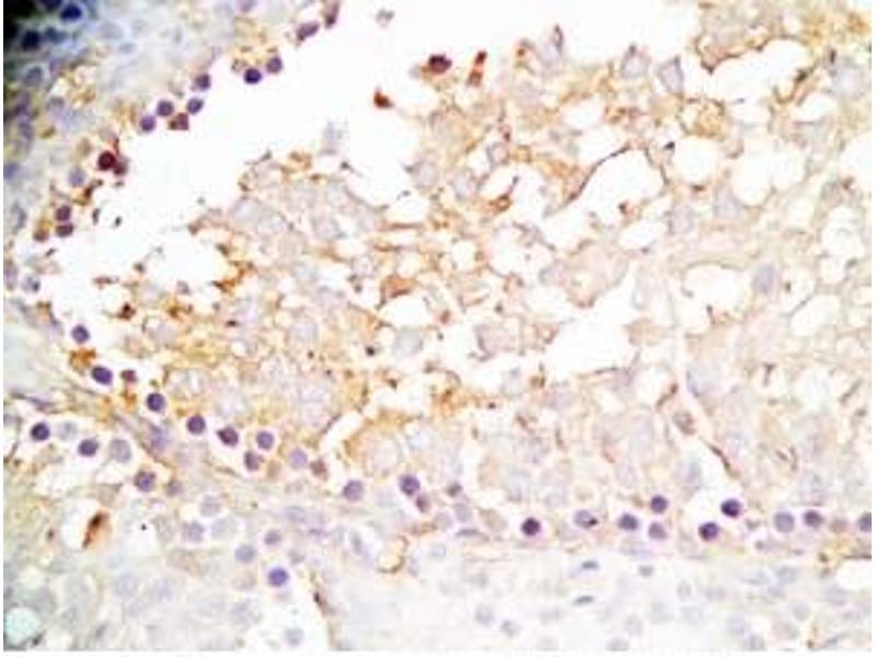
The 兔 多克隆 anti-INSL6 antibody (ABIN2873065) specifically detects INSL6 in IHC. The antibody is reactive with 人 samples.
产品编号 ABIN2873065
发货至: 中国
Contact our Customer Service for availability and price in your country. Contact Info

Our Local Distributor

中国
北京 101111
No. 88 KeChuang 6th Street
Beijing Economic Technological Development Area
Room 801-803
4A Biotech Co.,Ltd.
Tel +86 (0512) 65829739 传真 +86 (010) 6788 5057

Quick Overview for INSL6 抗体 (Preproprotein) (ABIN2873065)

抗原

See all INSL6 抗体
INSL6 (Insulin-Like 6 (INSL6))

适用

  • 9
  • 4
  • 3

宿主

  • 10

克隆类型

  • 9
多克隆

标记

  • 9
  • 1
This INSL6 antibody is un-conjugated

应用范围

  • 9
  • 7
  • 3
Immunohistochemistry (IHC)
  • 抗原表位

    • 1
    • 1
    • 1
    • 1
    • 1
    AA 55-118, Preproprotein

    纯化方法

    unpurified serum

    免疫原

    5-10 mg of > 70% pure peptide conjugated to KLH.
  • 应用备注

    Optimal working dilution should be determined by the investigator.

    限制

    仅限研究用
  • 状态

    Liquid

    储存条件

    4 °C,-20 °C

    储存方法

    Store antibodies at 2-4°C before and at -20°C after rehydration. The product is stable for approximately 3-6 weeks after rehydration at -20°C or below.
  • 抗原

    INSL6 (Insulin-Like 6 (INSL6))

    别名

    INSL 6

    途径

    Hormone Activity
You are here: