电话:
+86 (0512) 65829739
传真:
+86 (010) 6788 5057
电子邮件:
orders@antibodies-online.cn

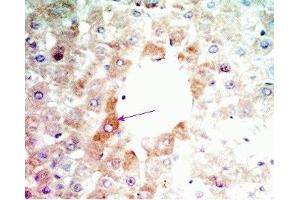
ANGPTL6 抗体 (AA 215-230)

The 兔 多克隆 anti-ANGPTL6 antibody (ABIN2872669) specifically detects ANGPTL6 in IHC. The antibody is reactive with 小鼠 samples.
产品编号 ABIN2872669
发货至: 中国
Contact our Customer Service for availability and price in your country. Contact Info

Our Local Distributor

中国
北京 101111
No. 88 KeChuang 6th Street
Beijing Economic Technological Development Area
Room 801-803
4A Biotech Co.,Ltd.
Tel +86 (0512) 65829739 传真 +86 (010) 6788 5057

Quick Overview for ANGPTL6 抗体 (AA 215-230) (ABIN2872669)

抗原

See all ANGPTL6 抗体
ANGPTL6 (Angiopoietin-Like 6 (ANGPTL6))

适用

  • 55
  • 40
  • 39
  • 2
  • 2
  • 2
  • 1
  • 1
  • 1
  • 1
  • 1
  • 1
  • 1
小鼠

宿主

  • 57
  • 4
  • 2

克隆类型

  • 39
  • 24
多克隆

标记

  • 27
  • 3
  • 3
  • 3
  • 3
  • 3
  • 3
  • 3
  • 1
  • 1
  • 1
  • 1
  • 1
  • 1
  • 1
  • 1
  • 1
  • 1
  • 1
  • 1
  • 1
  • 1
  • 1
This ANGPTL6 antibody is un-conjugated

应用范围

  • 34
  • 17
  • 16
  • 13
  • 13
  • 13
  • 11
  • 11
  • 6
  • 4
  • 2
  • 1
Immunohistochemistry (IHC)
You are here: