电话:
+86 (0512) 65829739
传真:
+86 (010) 6788 5057
电子邮件:
orders@antibodies-online.cn

ENPP2 抗体 (AA 369-391)

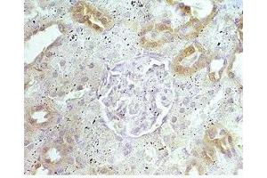
The 兔 多克隆 anti-ENPP2 antibody is suitable to detect ENPP2 in samples from 人 和 小鼠. It has been validated for IHC.
产品编号 ABIN2872524
发货至: 中国
Contact our Customer Service for availability and price in your country. Contact Info

Our Local Distributor

中国
北京 101111
No. 88 KeChuang 6th Street
Beijing Economic Technological Development Area
Room 801-803
4A Biotech Co.,Ltd.
Tel +86 (0512) 65829739 传真 +86 (010) 6788 5057

Quick Overview for ENPP2 抗体 (AA 369-391) (ABIN2872524)

抗原

See all ENPP2 抗体
ENPP2 (Ectonucleotide Pyrophosphatase / phosphodiesterase 2 (ENPP2))

适用

  • 50
  • 35
  • 16
  • 4
  • 2
  • 2
  • 2
  • 2
  • 1
  • 1
  • 1
人, 小鼠

宿主

  • 63
  • 6
  • 1

克隆类型

  • 65
  • 5
多克隆

标记

  • 39
  • 4
  • 3
  • 2
  • 2
  • 2
  • 1
  • 1
  • 1
  • 1
  • 1
  • 1
  • 1
  • 1
  • 1
  • 1
  • 1
  • 1
  • 1
  • 1
  • 1
  • 1
  • 1
  • 1
This ENPP2 antibody is un-conjugated

应用范围

  • 40
  • 24
  • 14
  • 14
  • 13
  • 11
  • 9
  • 7
  • 6
  • 4
  • 3
  • 1
  • 1
Immunohistochemistry (IHC)
You are here: