电话:
+86 (0512) 65829739
传真:
+86 (010) 6788 5057
电子邮件:
orders@antibodies-online.cn

BNP-45 抗体 (AA 51-95)

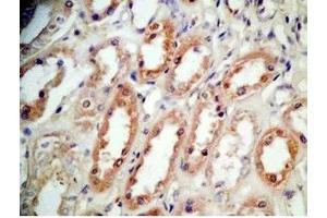
The 兔 多克隆 anti-BNP-45 antibody is suitable to detect BNP-45 in samples from 小鼠. It has been validated for IHC.
产品编号 ABIN2871697
发货至: 中国
Contact our Customer Service for availability and price in your country. Contact Info

Our Local Distributor

中国
北京 101111
No. 88 KeChuang 6th Street
Beijing Economic Technological Development Area
Room 801-803
4A Biotech Co.,Ltd.
Tel +86 (0512) 65829739 传真 +86 (010) 6788 5057

Quick Overview for BNP-45 抗体 (AA 51-95) (ABIN2871697)

抗原

See all BNP-45 抗体
BNP-45 (Brain Natriuretic Peptide 45 (BNP-45))

适用

  • 2
  • 1
小鼠

宿主

  • 3

克隆类型

  • 3
多克隆

标记

  • 2
  • 1
This BNP-45 antibody is un-conjugated

应用范围

  • 2
  • 2
  • 1
Immunohistochemistry (IHC)
  • 抗原表位

    AA 51-95

    纯化方法

    unpurified serum

    免疫原

    5-10 mg of > 70% pure peptide conjugated to KLH.
  • 应用备注

    Optimal working dilution should be determined by the investigator.

    限制

    仅限研究用
  • 状态

    Liquid

    储存条件

    4 °C,-20 °C

    储存方法

    Store antibodies at 2-4°C before and at -20°C after rehydration. The product is stable for approximately 3-6 weeks after rehydration at -20°C or below.
  • 抗原

    BNP-45 (Brain Natriuretic Peptide 45 (BNP-45))

    别名

    Brain Natriuretic Peptide-45 (BNP-45) / BNP
You are here: