电话:
+86 (0512) 65829739
传真:
+86 (010) 6788 5057
电子邮件:
orders@antibodies-online.cn

NMS 抗体 (Preproprotein)

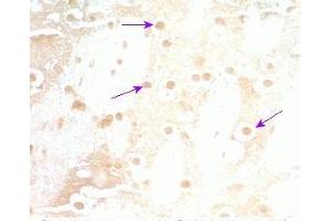
The 兔 多克隆 anti-NMS antibody is suitable to detect NMS in samples from 小鼠. It has been validated for IHC.
产品编号 ABIN2871511
发货至: 中国
Contact our Customer Service for availability and price in your country. Contact Info

Our Local Distributor

中国
北京 101111
No. 88 KeChuang 6th Street
Beijing Economic Technological Development Area
Room 801-803
4A Biotech Co.,Ltd.
Tel +86 (0512) 65829739 传真 +86 (010) 6788 5057

Quick Overview for NMS 抗体 (Preproprotein) (ABIN2871511)

抗原

See all NMS 抗体
NMS (Neuromedin S (NMS))

适用

  • 12
  • 6
  • 5
小鼠

宿主

  • 21
  • 1

克隆类型

  • 22
多克隆

标记

  • 9
  • 3
  • 2
  • 2
  • 1
  • 1
  • 1
  • 1
  • 1
  • 1
This NMS antibody is un-conjugated

应用范围

  • 12
  • 6
  • 3
  • 2
  • 2
  • 1
Immunohistochemistry (IHC)
You are here: