电话:
+86 (0512) 65829739
传真:
+86 (010) 6788 5057
电子邮件:
orders@antibodies-online.cn

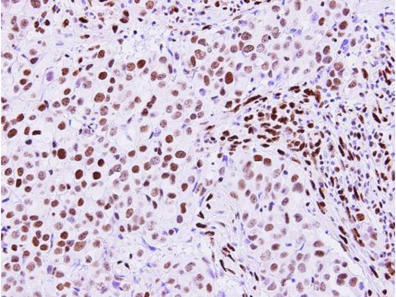
RecQ Protein-Like (DNA Helicase Q1-Like) (RECQL) (N-Term) 抗体

The 兔 多克隆 anti-RecQ Protein-Like (DNA Helicase Q1-Like) antibody (ABIN2857056) specifically detects RecQ Protein-Like (DNA Helicase Q1-Like) in WB, IF, IHC (p), IP 和 ICC. The antibody is reactive with 人 samples.
产品编号 ABIN2857056
发货至: 中国
Contact our Customer Service for availability and price in your country. Contact Info

Our Local Distributor

中国
北京 101111
No. 88 KeChuang 6th Street
Beijing Economic Technological Development Area
Room 801-803
4A Biotech Co.,Ltd.
Tel +86 (0512) 65829739 传真 +86 (010) 6788 5057

Quick Overview for RecQ Protein-Like (DNA Helicase Q1-Like) (RECQL) (N-Term) 抗体 (ABIN2857056)

抗原

See all RecQ Protein-Like (DNA Helicase Q1-Like) (RECQL) 抗体
RecQ Protein-Like (DNA Helicase Q1-Like) (RECQL)

适用

  • 15
  • 10
  • 2

宿主

  • 20
  • 5

克隆类型

  • 23
  • 2
多克隆

标记

  • 11
  • 1
  • 1
  • 1
  • 1
  • 1
  • 1
  • 1
  • 1
  • 1
  • 1
  • 1
  • 1
  • 1
  • 1
非结合性

应用范围

  • 13
  • 13
  • 10
  • 5
  • 4
  • 4
  • 3
  • 2
  • 1
  • 1
  • 1
Western Blotting (WB), Immunofluorescence (IF), Immunohistochemistry (Paraffin-embedded Sections) (IHC (p)), Immunoprecipitation (IP), Immunocytochemistry (ICC)
  • 抗原表位

    • 15
    • 4
    • 1
    • 1
    • 1
    • 1
    • 1
    N-Term

    交叉反应

    交叉反应 (详细)

    Bovine (86 %)

    产品特性

    Rabbit polyclonal antibody to RecQ1 (RecQ protein-like (DNA helicase Q1-like))
    RecQ1 antibody [N1N2], N-term

    纯化方法

    Purified by antigen-affinity chromatography.

    免疫原

    Recombinant protein encompassing a sequence within the N-terminus region of human RecQ1. The exact sequence is proprietary.

    亚型

    IgG
  • 应用备注

    Suggested dilution Reference ICC/IF 1:100-1:1000* IHC (Formalin-fixed paraffin-embedded sections) 1:100-1:1000* Immunoprecipitation 1:100-1:500* Western blot 1:500-1:3000* Not tested in other applications. *Optimal dilutions/concentrations should be determined by the researcher.Suggested dilutionReferenceICC/IF1:100-1:1000* IHC (Formalin-fixed paraffin-embedded sections)1:100-1:1000* Immunoprecipitation1:100-1:500* Western blot1:500-1:3000*

    说明

    Positive Control: A431 , HeLa , A375

    限制

    仅限研究用
  • 状态

    Liquid

    浓度

    1 mg/mL

    缓冲液

    1XPBS, 20 % Glycerol ( pH 7). 0.01 % Thimerosal was added as a preservative.

    储存液

    Thimerosal (Merthiolate)

    注意事项

    This product contains Thimerosal (Merthiolate): a POISONOUS AND HAZARDOUS SUBSTANCE which should be handled by trained staff only.

    储存条件

    -20 °C

    储存方法

    Keep as concentrated solution. Aliquot and store at -20°C or below. Avoid multiple freeze-thaw cycles.
  • 抗原

    RecQ Protein-Like (DNA Helicase Q1-Like) (RECQL)

    别名

    RecQ1

    背景

    The protein encoded by this gene is a member of the RecQ DNA helicase family. DNA helicases are enzymes involved in various types of DNA repair, including mismatch repair, nucleotide excision repair and direct repair. Some members of this family are associated with genetic disorders with predisposition to malignancy and chromosomal instability. The biological function of this helicase has not yet been determined. Two alternatively spliced transcripts, which encode the same isoform but differ in their 5' and 3' UTRs, have been described.

    Cellular Localization: Nucleus

    分子量

    73 kDa

    基因ID

    5965
You are here: