电话:
+86 (0512) 65829739
传真:
+86 (010) 6788 5057
电子邮件:
orders@antibodies-online.cn

Leukotriene B4 Receptor/BLT 抗体

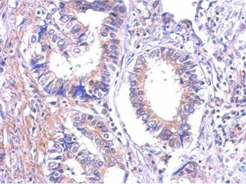
The 兔 多克隆 anti-Leukotriene B4 Receptor/BLT antibody is suitable to detect Leukotriene B4 Receptor/BLT in samples from 人. It has been validated for WB 和 IHC (p).
产品编号 ABIN2857016
发货至: 中国
Contact our Customer Service for availability and price in your country. Contact Info

Our Local Distributor

中国
北京 101111
No. 88 KeChuang 6th Street
Beijing Economic Technological Development Area
Room 801-803
4A Biotech Co.,Ltd.
Tel +86 (0512) 65829739 传真 +86 (010) 6788 5057

Quick Overview for Leukotriene B4 Receptor/BLT 抗体 (ABIN2857016)

抗原

See all Leukotriene B4 Receptor/BLT (LTB4R) 抗体
Leukotriene B4 Receptor/BLT (LTB4R) (Leukotriene B4 Receptor (LTB4R))

适用

  • 53
  • 27
  • 27
  • 2
  • 1
  • 1
  • 1

宿主

  • 48
  • 6

克隆类型

  • 37
  • 17
多克隆

标记

  • 20
  • 3
  • 2
  • 2
  • 2
  • 2
  • 2
  • 2
  • 2
  • 2
  • 1
  • 1
  • 1
  • 1
  • 1
  • 1
  • 1
  • 1
  • 1
  • 1
  • 1
  • 1
  • 1
  • 1
  • 1
This Leukotriene B4 Receptor/BLT antibody is un-conjugated

应用范围

  • 22
  • 19
  • 15
  • 13
  • 9
  • 9
  • 5
  • 2
  • 2
  • 1
Western Blotting (WB), Immunohistochemistry (Paraffin-embedded Sections) (IHC (p))
  • 交叉反应

    产品特性

    Rabbit Polyclonal antibody to P2Y7 (leukotriene B4 receptor)
    P2Y7 antibody [N3C2], Internal

    纯化方法

    Affinity purified by Protein A.

    免疫原

    Carrier-protein conjugated synthetic peptide encompassing a sequence within the center region of human Leukotriene B4 Receptor. The exact sequence is proprietary.

    亚型

    IgG
  • 应用备注

    WB: 1:500-1:3000. IHC-P: 1:100-1:1000. Optimal dilutions/concentrations should be determined by the researcher. Not tested in other applications.

    说明

    Positive Control: HeLaS3

    限制

    仅限研究用
  • 状态

    Liquid

    浓度

    1 mg/mL

    缓冲液

    1XPBS ( pH 7), 20 % Glycerol, 0.01 % Thimerosal

    储存液

    Thimerosal (Merthiolate)

    注意事项

    This product contains Thimerosal (Merthiolate): a POISONOUS AND HAZARDOUS SUBSTANCE which should be handled by trained staff only.

    储存条件

    4 °C,-20 °C

    储存方法

    Store as concentrated solution. Centrifuge briefly prior to opening vial. For short-term storage (1-2 weeks), store at 4°C. For long-term storage, aliquot and store at -20°C or below. Avoid multiple freeze-thaw cycles.
  • 抗原

    Leukotriene B4 Receptor/BLT (LTB4R) (Leukotriene B4 Receptor (LTB4R))

    别名

    leukotriene B4 receptor

    背景

    Receptor for extracellular ATP > UTP and ADP. The activity of this receptor is mediated by G proteins which activate a phosphatidylinositol-calcium second messenger system. May be the cardiac P2Y receptor involved in the regulation of cardiac muscle contraction through modulation of L-type calcium currents. Is a receptor for leukotriene B4, a potent chemoattractant involved in inflammation and immune response.

    Cellular Localization: Cell membrane, Multi-pass membrane protein

    分子量

    38 kDa

    基因ID

    1241

    UniProt

    Q15722
You are here: