电话:
+86 (0512) 65829739
传真:
+86 (010) 6788 5057
电子邮件:
orders@antibodies-online.cn

Histone H3.3B 抗体 (full length)

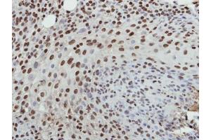
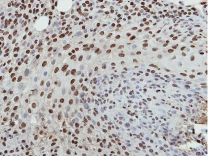
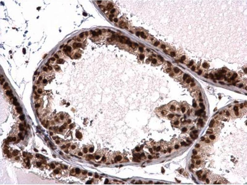
There is 1 publication for this product available. The 兔 多克隆 anti-Histone H3.3B antibody is suitable to detect Histone H3.3B in samples from 人, 小鼠 和 大鼠. It has been validated for WB, IF, ICC 和 IHC (p).
产品编号 ABIN2856998
发货至: 中国
Contact our Customer Service for availability and price in your country. Contact Info

Our Local Distributor

中国
北京 101111
No. 88 KeChuang 6th Street
Beijing Economic Technological Development Area
Room 801-803
4A Biotech Co.,Ltd.
Tel +86 (0512) 65829739 传真 +86 (010) 6788 5057

Quick Overview for Histone H3.3B 抗体 (full length) (ABIN2856998)

抗原

Histone H3.3B (HIS3.3B)

适用

人, 小鼠, 大鼠

宿主

  • 3

克隆类型

  • 3
多克隆

标记

  • 3
This Histone H3.3B antibody is un-conjugated

应用范围

  • 3
  • 2
  • 1
  • 1
  • 1
  • 1
  • 1
Western Blotting (WB), Immunofluorescence (IF), Immunocytochemistry (ICC), Immunohistochemistry (Paraffin-embedded Sections) (IHC (p))
  • 抗原表位

    • 1
    • 1
    full length

    产品特性

    Rabbit Polyclonal antibody to Histone H3.3B (H3 histone, family 3B (H3.3B))
    Histone H3.3B antibody

    纯化方法

    Purified by antigen-affinity chromatography.

    免疫原

    Full length human Histone H3.3B Recombinant protein.
  • 应用备注

    WB: 1:500-1:20000, IHC-P: 1:100-1:1000 [suggested antigen retrieval using heat mediated 10 mM Citrate buffer ( pH 6.0) or Tris-EDTA buffer ( pH 8.0)], ICC/IF: 1:100-1:1000.
    Not yet tested in other applications.
    Optimal working dilutions should be determined experimentally by the end user.

    限制

    仅限研究用
  • 状态

    Liquid

    浓度

    1 mg/mL

    缓冲液

    1XPBS, 20 % Glycerol ( pH 7).
    0.01 % Thimerosal was added as a preservative.

    储存液

    Thimerosal (Merthiolate)

    注意事项

    This product contains Thimerosal (Merthiolate): a POISONOUS AND HAZARDOUS SUBSTANCE which should be handled by trained staff only.

    储存条件

    -20 °C

    储存方法

    Keep as concentrated solution. Aliquot and store at -20°C or below.
    Avoid multiple freeze-thaw cycles.
  • Schroeder, Jakovcevski, Polacheck, Drori, Luoni, Röh, Zaugg, Ben-Dor, Albrecht, Chen: "Placental miR-340 mediates vulnerability to activity based anorexia in mice." in: Nature communications, Vol. 9, Issue 1, pp. 1596, (2018) (PubMed).

  • 抗原

    Histone H3.3B (HIS3.3B)

    别名

    Histone H3.3B

    基因ID

    3021
You are here: