电话:
+86 (0512) 65829739
传真:
+86 (010) 6788 5057
电子邮件:
orders@antibodies-online.cn

Intestinal Alkaline Phosphatase 抗体

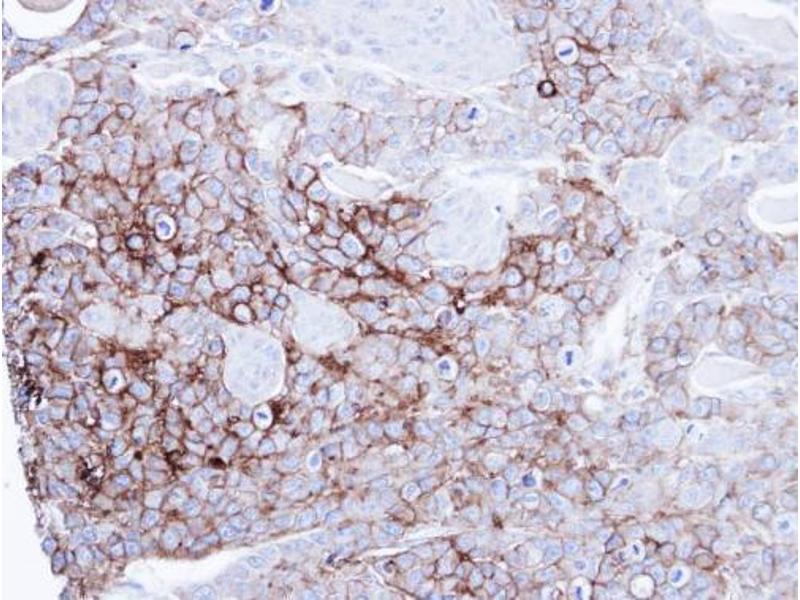
Cited in 1 publication. The 兔 多克隆 anti-Intestinal Alkaline Phosphatase antibody (ABIN2856846) specifically detects Intestinal Alkaline Phosphatase in WB, ELISA, IHC (p) 和 IHC (fro). The antibody is reactive with 人 samples.
产品编号 ABIN2856846
发货至: 中国
Contact our Customer Service for availability and price in your country. Contact Info

Our Local Distributor

中国
北京 101111
No. 88 KeChuang 6th Street
Beijing Economic Technological Development Area
Room 801-803
4A Biotech Co.,Ltd.
Tel +86 (0512) 65829739 传真 +86 (010) 6788 5057

Quick Overview for Intestinal Alkaline Phosphatase 抗体 (ABIN2856846)

抗原

See all Intestinal Alkaline Phosphatase (ALPI) 抗体
Intestinal Alkaline Phosphatase (ALPI)

适用

  • 43
  • 19
  • 3
  • 2
  • 1

宿主

  • 42
  • 12
  • 5
  • 5

克隆类型

  • 51
  • 13
多克隆

标记

  • 37
  • 9
  • 6
  • 4
  • 1
  • 1
  • 1
  • 1
  • 1
  • 1
  • 1
  • 1
This Intestinal Alkaline Phosphatase antibody is un-conjugated

应用范围

  • 49
  • 33
  • 22
  • 10
  • 7
  • 5
  • 5
  • 5
  • 3
  • 3
  • 1
  • 1
  • 1
  • 1
Western Blotting (WB), ELISA, Immunohistochemistry (Paraffin-embedded Sections) (IHC (p)), Immunohistochemistry (Frozen Sections) (IHC (fro))
  • 交叉反应

    人, 小鼠

    产品特性

    Rabbit polyclonal antibody to alkaline phosphatase(intestinal) (alkaline phosphatase, intestinal)
    alkaline phosphatase (intestinal) antibody

    纯化方法

    Purified by antigen-affinity chromatography.

    免疫原

    Recombinant protein encompassing a sequence within the center region of human alkaline phosphatase (intestinal). The exact sequence is proprietary.

    亚型

    IgG
  • 应用备注

    WB: 1:500-1:3000. IHC-P: 1:100-1:1000. Optimal dilutions/concentrations should be determined by the researcher. Not tested in other applications.

    说明

    Validation: Orthogonal

    限制

    仅限研究用
  • 状态

    Liquid

    浓度

    0.3 mg/mL

    缓冲液

    1XPBS ( pH 7), 1 % BSA, 20 % Glycerol, 0.025 % ProClin 300

    储存液

    ProClin

    注意事项

    This product contains ProClin: a POISONOUS AND HAZARDOUS SUBSTANCE which should be handled by trained staff only.

    储存条件

    4 °C,-20 °C

    储存方法

    Store as concentrated solution. Centrifuge briefly prior to opening vial. For short-term storage (1-2 weeks), store at 4°C. For long-term storage, aliquot and store at -20°C or below. Avoid multiple freeze-thaw cycles.
  • Chandrarathna, Liyanage, Edirisinghe, Dananjaya, Thulshan, Nikapitiya, Oh, Kang, De Zoysa: "Marine Microalgae, Spirulina maxima-Derived Modified Pectin and Modified Pectin Nanoparticles Modulate the Gut Microbiota and Trigger Immune Responses in Mice." in: Marine drugs, Vol. 18, Issue 3, (2020) (PubMed).

  • 抗原

    Intestinal Alkaline Phosphatase (ALPI)

    别名

    alkaline phosphatase, intestinal

    分子量

    57 kDa

    基因ID

    248

    UniProt

    P09923
You are here: