TACC2 抗体 (N-Term)
Our Local Distributor
北京 101111
Quick Overview for TACC2 抗体 (N-Term) (ABIN2856762)
抗原
See all TACC2 抗体适用
宿主
克隆类型
标记
应用范围
-
-
抗原表位
- N-Term
-
交叉反应
- 人
-
产品特性
-
Rabbit polyclonal antibody to TACC2 (transforming, acidic coiled-coil containing protein 2)
TACC2 antibody -
纯化方法
- Purified by antigen-affinity chromatography.
-
免疫原
- Carrier-protein conjugated synthetic peptide encompassing a sequence within the N-terminus region of human TACC2. The exact sequence is proprietary.
-
亚型
- IgG
-
-
-
-
应用备注
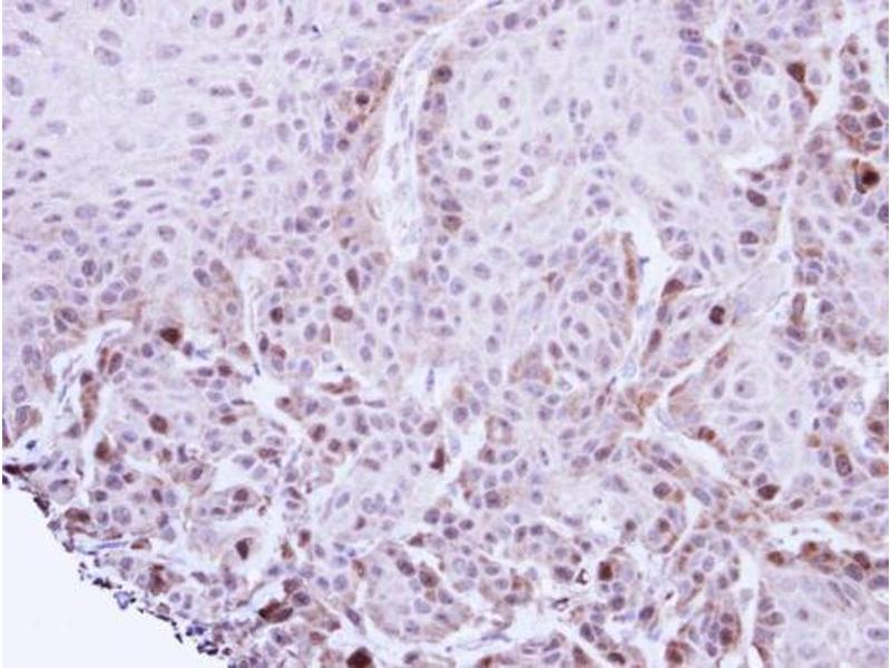
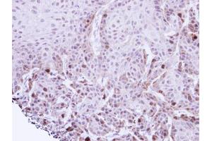
- WB: 1:500-1:3000. IHC-P: 1:100-1:1000. Optimal dilutions/concentrations should be determined by the researcher. Not tested in other applications.
-
说明
-
Positive Control: 293T , A431 , H1299 , HeLa , HepG2 , Molt-4 , Raji
-
限制
- 仅限研究用
-
-
-
状态
- Liquid
-
浓度
- 0.28 mg/mL
-
缓冲液
- 0.1M Tris-Glycine ( pH 7), 10 % Glycerol, 0.01 % Thimerosal
-
储存液
- Thimerosal (Merthiolate)
-
注意事项
- This product contains Thimerosal (Merthiolate): a POISONOUS AND HAZARDOUS SUBSTANCE which should be handled by trained staff only.
-
储存条件
- 4 °C,-20 °C
-
储存方法
- Store as concentrated solution. Centrifuge briefly prior to opening vial. For short-term storage (1-2 weeks), store at 4°C. For long-term storage, aliquot and store at -20°C or below. Avoid multiple freeze-thaw cycles.
-
-
- TACC2 (Transforming, Acidic Coiled-Coil Containing Protein 2 (TACC2))
-
别名
- transforming acidic coiled-coil containing protein 2
-
背景
-
Transforming acidic coiled-coil proteins are a conserved family of centrosome- and microtubule-interacting proteins that are implicated in cancer. This gene encodes a protein that concentrates at centrosomes throughout the cell cycle. This gene lies within a chromosomal region associated with tumorigenesis. Expression of this gene is induced by erythropoietin and is thought to affect the progression of breast tumors. Several transcript variants encoding different isoforms have been found for this gene.
Cellular Localization: Cytoplasm , Nucleus , Centrosome -
分子量
- 309 kDa
-
基因ID
- 10579
-
UniProt
- O95359
抗原
-