FMO2 抗体
Our Local Distributor
北京 101111
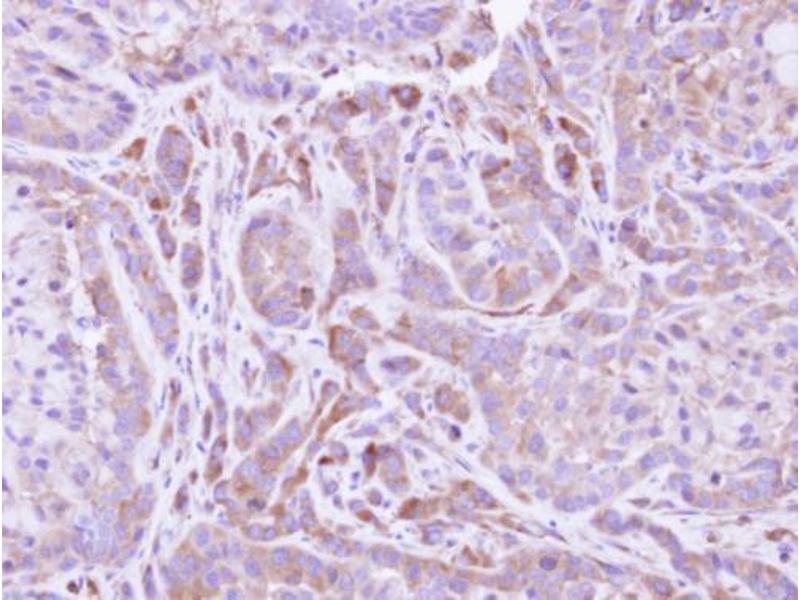
Quick Overview for FMO2 抗体 (ABIN2856714)
抗原
See all FMO2 抗体适用
宿主
克隆类型
标记
应用范围
-
-
交叉反应
- 人
-
产品特性
-
Rabbit polyclonal antibody to FMO2 (flavin containing monooxygenase 2 (non-functional))
FMO2 antibody [N1C2] -
纯化方法
- Purified by antigen-affinity chromatography.
-
免疫原
- Recombinant protein encompassing a sequence within the center region of human FMO2. The exact sequence is proprietary.
-
亚型
- IgG
-
-
-
-
应用备注
- WB: 1:500-1:3000. IHC-P: 1:100-1:1000. Optimal dilutions/concentrations should be determined by the researcher. Not tested in other applications.
-
说明
-
Positive Control: HepG2
-
限制
- 仅限研究用
-
-
-
状态
- Liquid
-
浓度
- 1 mg/mL
-
缓冲液
- 0.1M Tris-Glycine ( pH 7), 10 % Glycerol, 0.01 % Thimerosal
-
储存液
- Thimerosal (Merthiolate)
-
注意事项
- This product contains Thimerosal (Merthiolate): a POISONOUS AND HAZARDOUS SUBSTANCE which should be handled by trained staff only.
-
储存条件
- 4 °C,-20 °C
-
储存方法
- Store as concentrated solution. Centrifuge briefly prior to opening vial. For short-term storage (1-2 weeks), store at 4°C. For long-term storage, aliquot and store at -20°C or below. Avoid multiple freeze-thaw cycles.
-
-
- FMO2 (Flavin Containing Monooxygenase 2 (Non-Functional) (FMO2))
-
别名
- flavin containing monooxygenase 2
-
背景
-
The flavin-containing monooxygenases are NADPH-dependent enzymes that catalyze the oxidation of many drugs and xenobiotics. In most mammals, there is a flavin-containing monooxygenase that catalyzes the N-oxidation of some primary alkylamines through an N-hydroxylamine intermediate. However, in humans, this enzyme is truncated and is probably rapidly degraded. The protein encoded by this gene represents the truncated form and apparently has no catalytic activity. A functional allele found in African Americans has been reported, but no sequence evidence has been deposited to support the finding. This gene is found in a cluster with the FMO1, FMO3, and FMO4 genes on chromosome 1.
Cellular Localization: Microsome membrane , Endoplasmic reticulum membrane -
分子量
- 54 kDa
-
基因ID
- 2327
-
UniProt
- Q99518
抗原
-