电话:
+86 (0512) 65829739
传真:
+86 (010) 6788 5057
电子邮件:
orders@antibodies-online.cn

ZNF259 抗体 (Center)

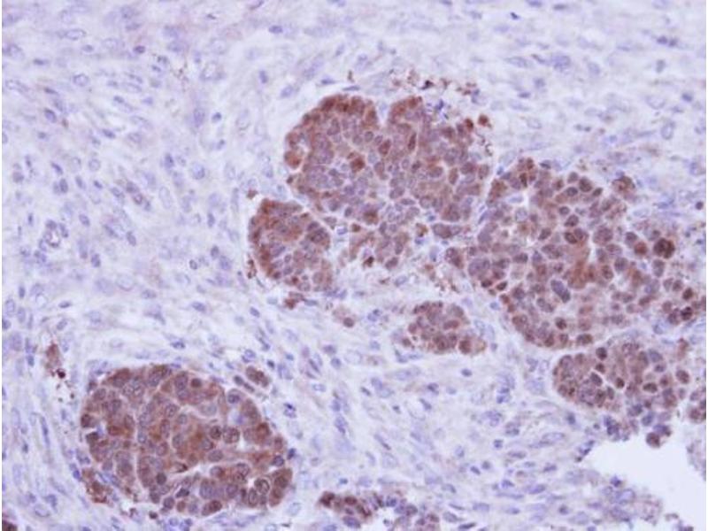
The 兔 多克隆 anti-ZNF259 antibody (ABIN2856672) specifically detects ZNF259 in WB, IF, IHC (p) 和 ICC. The antibody is reactive with 人 samples.
产品编号 ABIN2856672
发货至: 中国
Contact our Customer Service for availability and price in your country. Contact Info

Our Local Distributor

中国
北京 101111
No. 88 KeChuang 6th Street
Beijing Economic Technological Development Area
Room 801-803
4A Biotech Co.,Ltd.
Tel +86 (0512) 65829739 传真 +86 (010) 6788 5057

Quick Overview for ZNF259 抗体 (Center) (ABIN2856672)

抗原

See all ZNF259 (znf259) 抗体
ZNF259 (znf259) (Zinc Finger Protein 259 (znf259))

适用

  • 48
  • 27
  • 17
  • 5
  • 4
  • 4
  • 4
  • 4
  • 4
  • 2
  • 2
  • 1
  • 1
  • 1
  • 1

宿主

  • 44
  • 4

克隆类型

  • 33
  • 15
多克隆

标记

  • 27
  • 3
  • 2
  • 2
  • 2
  • 2
  • 2
  • 2
  • 1
  • 1
  • 1
  • 1
  • 1
  • 1
This ZNF259 antibody is un-conjugated

应用范围

  • 41
  • 17
  • 12
  • 3
  • 3
  • 1
  • 1
  • 1
  • 1
  • 1
Western Blotting (WB), Immunofluorescence (IF), Immunohistochemistry (Paraffin-embedded Sections) (IHC (p)), Immunocytochemistry (ICC)
  • 抗原表位

    • 8
    • 5
    • 4
    • 2
    • 2
    • 2
    • 1
    • 1
    • 1
    • 1
    Center

    交叉反应

    兔, 牛

    交叉反应 (详细)

    Rabbit (91 %), Bovine (93 %)

    产品特性

    Rabbit polyclonal antibody to ZNF259 (zinc finger protein 259)
    ZNF259 antibody [N3C3]

    纯化方法

    Purified by antigen-affinity chromatography.

    免疫原

    Recombinant protein encompassing a sequence within the center region of human ZNF259. The exact sequence is proprietary.

    亚型

    IgG
  • 应用备注

    Suggested dilution Reference ICC/IF 1:100-1:1000* IHC (Formalin-fixed paraffin-embedded sections) 1:100-1:1000* Western blot 1:500-1:3000* Not tested in other applications. *Optimal dilutions/concentrations should be determined by the researcher.Suggested dilutionReferenceICC/IF1:100-1:1000* IHC (Formalin-fixed paraffin-embedded sections)1:100-1:1000* Western blot1:500-1:3000*

    说明

    Positive Control: 293T , A431 , H1299 , HeLa , HepG2 , Molt-4 , Raji

    限制

    仅限研究用
  • 状态

    Liquid

    浓度

    0.96 mg/mL

    缓冲液

    0.1M Tris, 0.1M Glycine, 10 % Glycerol ( pH 7). 0.01 % Thimerosal was added as a preservative.

    储存液

    Thimerosal (Merthiolate)

    注意事项

    This product contains Thimerosal (Merthiolate): a POISONOUS AND HAZARDOUS SUBSTANCE which should be handled by trained staff only.

    储存条件

    -20 °C

    储存方法

    Keep as concentrated solution. Aliquot and store at -20°C or below. Avoid multiple freeze-thaw cycles.
  • 抗原

    ZNF259 (znf259) (Zinc Finger Protein 259 (znf259))

    别名

    ZNF259

    背景

    May be a signaling molecule that communicates mitogenic signals from the cytoplasm to the nucleus.

    Cellular Localization: Cytoplasm , Nucleus

    分子量

    51 kDa

    基因ID

    8882
You are here: