电话:
+86 (0512) 65829739
传真:
+86 (010) 6788 5057
电子邮件:
orders@antibodies-online.cn

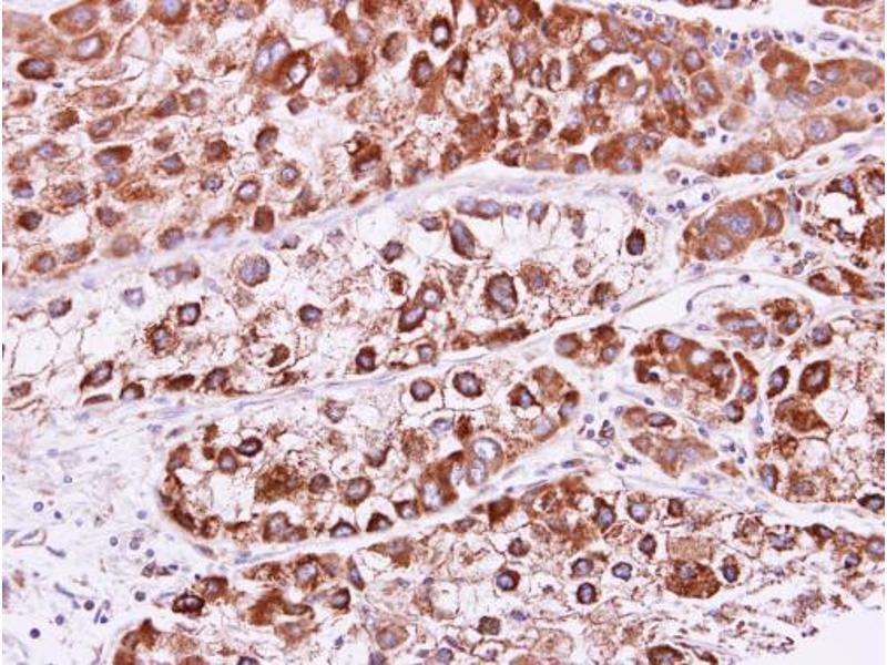
RAB2B 抗体

This 兔 多克隆 antibody specifically detects RAB2B in WB, ICC, IF 和 IHC (p). It exhibits reactivity toward 人.
产品编号 ABIN2856622
发货至: 中国
Contact our Customer Service for availability and price in your country. Contact Info

Our Local Distributor

中国
北京 101111
No. 88 KeChuang 6th Street
Beijing Economic Technological Development Area
Room 801-803
4A Biotech Co.,Ltd.
Tel +86 (0512) 65829739 传真 +86 (010) 6788 5057

Quick Overview for RAB2B 抗体 (ABIN2856622)

抗原

See all RAB2B 抗体
RAB2B (RAB2B, Member RAS Oncogene Family (RAB2B))

适用

  • 35
  • 10
  • 9
  • 5
  • 3
  • 3
  • 3
  • 3
  • 3
  • 3
  • 2
  • 2
  • 1
  • 1
  • 1
  • 1
  • 1
  • 1
  • 1

宿主

  • 32
  • 2
  • 1

克隆类型

  • 33
  • 2
多克隆

标记

  • 23
  • 2
  • 1
  • 1
  • 1
  • 1
  • 1
  • 1
  • 1
  • 1
  • 1
  • 1
This RAB2B antibody is un-conjugated

应用范围

  • 28
  • 15
  • 3
  • 3
  • 1
  • 1
  • 1
  • 1
  • 1
Western Blotting (WB), Immunocytochemistry (ICC), Immunofluorescence (IF), Immunohistochemistry (Paraffin-embedded Sections) (IHC (p))
  • 交叉反应

    人, 小鼠

    产品特性

    Rabbit Polyclonal antibody to RAB2B (RAB2B, member RAS oncogene family)
    RAB2B antibody

    纯化方法

    Purified by antigen-affinity chromatography.

    免疫原

    Full length human RAB2B Recombinant protein.

    亚型

    IgG
  • 应用备注

    WB: 1:500-1:3000. ICC/IF: 1:100-1:1000. IHC-P: 1:100-1:1000. Optimal dilutions/concentrations should be determined by the researcher. Not tested in other applications.

    说明

    Positive Control: HepG2

    限制

    仅限研究用
  • 状态

    Liquid

    浓度

    0.83 mg/mL

    缓冲液

    0.1M Tris-Glycine ( pH 7), 10 % Glycerol, 0.01 % Thimerosal

    储存液

    Thimerosal (Merthiolate)

    注意事项

    This product contains Thimerosal (Merthiolate): a POISONOUS AND HAZARDOUS SUBSTANCE which should be handled by trained staff only.

    储存条件

    4 °C,-20 °C

    储存方法

    Store as concentrated solution. Centrifuge briefly prior to opening vial. For short-term storage (1-2 weeks), store at 4°C. For long-term storage, aliquot and store at -20°C or below. Avoid multiple freeze-thaw cycles.
  • 抗原

    RAB2B (RAB2B, Member RAS Oncogene Family (RAB2B))

    别名

    RAB2B, member RAS oncogene family

    背景

    Members of the Rab protein family are nontransforming monomeric GTP-binding proteins of the Ras superfamily that contain 4 highly conserved regions involved in GTP binding and hydrolysis. Rab proteins are prenylated, membrane-bound proteins involved in vesicular fusion and trafficking, see MIM 179508.[supplied by OMIM]

    Cellular Localization: Cell membrane, Lipid-anchor, Cytoplasmic side (Potential) , Endoplasmic reticulum membrane (Potential) , Golgi apparatus membrane

    分子量

    24 kDa

    基因ID

    84932

    UniProt

    Q8WUD1
You are here: