电话:
+86 (0512) 65829739
传真:
+86 (010) 6788 5057
电子邮件:
orders@antibodies-online.cn

CCL1 抗体 (C-Term)

The 兔 多克隆 anti-CCL1 antibody is suitable to detect CCL1 in samples from 人. It has been validated for WB 和 IHC (p).
产品编号 ABIN2856602
发货至: 中国
Contact our Customer Service for availability and price in your country. Contact Info

Our Local Distributor

中国
北京 101111
No. 88 KeChuang 6th Street
Beijing Economic Technological Development Area
Room 801-803
4A Biotech Co.,Ltd.
Tel +86 (0512) 65829739 传真 +86 (010) 6788 5057

Quick Overview for CCL1 抗体 (C-Term) (ABIN2856602)

抗原

See all CCL1 抗体
CCL1 (Chemokine (C-C Motif) Ligand 1 (CCL1))

适用

  • 52
  • 5
  • 4
  • 1

宿主

  • 44
  • 6
  • 5
  • 1
  • 1
  • 1

克隆类型

  • 47
  • 11
多克隆

标记

  • 32
  • 2
  • 2
  • 2
  • 1
  • 1
  • 1
  • 1
  • 1
  • 1
  • 1
  • 1
  • 1
  • 1
  • 1
  • 1
  • 1
  • 1
  • 1
  • 1
  • 1
  • 1
  • 1
  • 1
This CCL1 antibody is un-conjugated

应用范围

  • 42
  • 13
  • 13
  • 10
  • 9
  • 7
  • 6
  • 4
  • 3
  • 2
  • 2
  • 2
  • 1
  • 1
  • 1
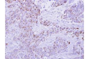
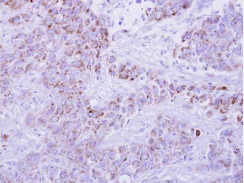
Western Blotting (WB), Immunohistochemistry (Paraffin-embedded Sections) (IHC (p))
  • 抗原表位

    • 15
    • 5
    • 3
    • 2
    • 2
    • 2
    • 1
    • 1
    • 1
    • 1
    • 1
    C-Term

    交叉反应

    产品特性

    Rabbit Polyclonal antibody to I-309 (chemokine (C-C motif) ligand 1)
    I-309 antibody

    纯化方法

    Purified by antigen-affinity chromatography.

    免疫原

    Carrier-protein conjugated synthetic peptide encompassing a sequence within the C-terminus region of human I-309. The exact sequence is proprietary.

    亚型

    IgG
  • 应用备注

    WB: 1:500-1:3000. IHC-P: 1:100-1:1000. Optimal dilutions/concentrations should be determined by the researcher. Not tested in other applications.

    说明

    Positive Control: Molt-4

    限制

    仅限研究用
  • 状态

    Liquid

    浓度

    0.55 mg/mL

    缓冲液

    0.1M Tris-Glycine ( pH 7), 10 % Glycerol, 0.01 % Thimerosal

    储存液

    Thimerosal (Merthiolate)

    注意事项

    This product contains Thimerosal (Merthiolate): a POISONOUS AND HAZARDOUS SUBSTANCE which should be handled by trained staff only.

    储存条件

    4 °C,-20 °C

    储存方法

    Store as concentrated solution. Centrifuge briefly prior to opening vial. For short-term storage (1-2 weeks), store at 4°C. For long-term storage, aliquot and store at -20°C or below. Avoid multiple freeze-thaw cycles.
  • 抗原

    CCL1 (Chemokine (C-C Motif) Ligand 1 (CCL1))

    别名

    C-C motif chemokine ligand 1

    背景

    This gene is one of several cytokine genes clustered on the q-arm of chromosome 17. Cytokines are a family of secreted proteins involved in immunoregulatory and inflammatory processes. The protein encoded by this gene is structurally related to the CXC subfamily of cytokines. Members of this subfamily are characterized by two cysteines separated by a single amino acid. This cytokine is secreted by activated T cells and displays chemotactic activity for monocytes but not for neutrophils. It binds to the chemokine receptor CCR8.

    Cellular Localization: Secreted

    分子量

    11 kDa

    基因ID

    6346

    UniProt

    P22362
You are here: