电话:
+86 (0512) 65829739
传真:
+86 (010) 6788 5057
电子邮件:
orders@antibodies-online.cn

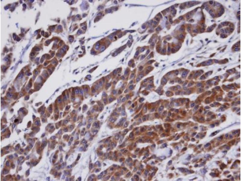
OSBPL1A 抗体 (C-Term)

The 兔 多克隆 anti-OSBPL1A antibody is suitable to detect OSBPL1A in samples from 人. It has been validated for WB, ICC, IF 和 IHC (p).
产品编号 ABIN2856530
发货至: 中国
Contact our Customer Service for availability and price in your country. Contact Info

Our Local Distributor

中国
北京 101111
No. 88 KeChuang 6th Street
Beijing Economic Technological Development Area
Room 801-803
4A Biotech Co.,Ltd.
Tel +86 (0512) 65829739 传真 +86 (010) 6788 5057

Quick Overview for OSBPL1A 抗体 (C-Term) (ABIN2856530)

抗原

See all OSBPL1A 抗体
OSBPL1A (Oxysterol Binding Protein-Like 1A (OSBPL1A))

适用

  • 41
  • 41
  • 40
  • 2
  • 2
  • 2
  • 2
  • 2
  • 1
  • 1
  • 1
  • 1

宿主

  • 54
  • 1

克隆类型

  • 31
  • 24
多克隆

标记

  • 18
  • 4
  • 2
  • 2
  • 2
  • 2
  • 2
  • 2
  • 2
  • 2
  • 2
  • 2
  • 1
  • 1
  • 1
  • 1
  • 1
  • 1
  • 1
  • 1
  • 1
  • 1
  • 1
  • 1
  • 1
This OSBPL1A antibody is un-conjugated

应用范围

  • 55
  • 23
  • 22
  • 14
  • 13
  • 12
  • 12
  • 11
  • 4
  • 3
  • 2
  • 1
Western Blotting (WB), Immunocytochemistry (ICC), Immunofluorescence (IF), Immunohistochemistry (Paraffin-embedded Sections) (IHC (p))
  • 抗原表位

    • 15
    • 8
    • 4
    • 1
    • 1
    • 1
    • 1
    • 1
    • 1
    C-Term

    交叉反应

    人, 小鼠

    产品特性

    Rabbit Polyclonal antibody to ORP1 (oxysterol binding protein-like 1A)
    ORP1 antibody [C3], C-term

    纯化方法

    Purified by antigen-affinity chromatography.

    免疫原

    Carrier-protein conjugated synthetic peptide encompassing a sequence within the C-terminus region of human ORP1. The exact sequence is proprietary.

    亚型

    IgG
  • 应用备注

    WB: 1:500-1:3000. ICC/IF: 1:100-1:1000. IHC-P: 1:100-1:1000. Optimal dilutions/concentrations should be determined by the researcher. Not tested in other applications.

    说明

    Positive Control: H1299

    限制

    仅限研究用
  • 状态

    Liquid

    浓度

    1 mg/mL

    缓冲液

    0.1M Tris-Glycine ( pH 7), 10 % Glycerol, 0.01 % Thimerosal

    储存液

    Thimerosal (Merthiolate)

    注意事项

    This product contains Thimerosal (Merthiolate): a POISONOUS AND HAZARDOUS SUBSTANCE which should be handled by trained staff only.

    储存条件

    4 °C,-20 °C

    储存方法

    Store as concentrated solution. Centrifuge briefly prior to opening vial. For short-term storage (1-2 weeks), store at 4°C. For long-term storage, aliquot and store at -20°C or below. Avoid multiple freeze-thaw cycles.
  • 抗原

    OSBPL1A (Oxysterol Binding Protein-Like 1A (OSBPL1A))

    别名

    oxysterol binding protein like 1A

    背景

    This gene encodes a member of the oxysterol-binding protein (OSBP) family, a group of intracellular lipid receptors. Most members contain an N-terminal pleckstrin homology domain and a highly conserved C-terminal OSBP-like sterol-binding domain, although some members contain only the sterol-binding domain. Transcript variants derived from alternative promoter usage and/or alternative splicing exist, they encode different isoforms.

    分子量

    108 kDa

    基因ID

    114876

    UniProt

    Q9BXW6
You are here: